万千商家帮你免费找货
0 人在求购买到急需产品
- 详细信息
- 技术资料
- 供应商:
上海联祖
- 库存:
27
- 生长状态:
贴壁生长
- 是否是肿瘤细胞:
否
- 规格:
T25培养瓶
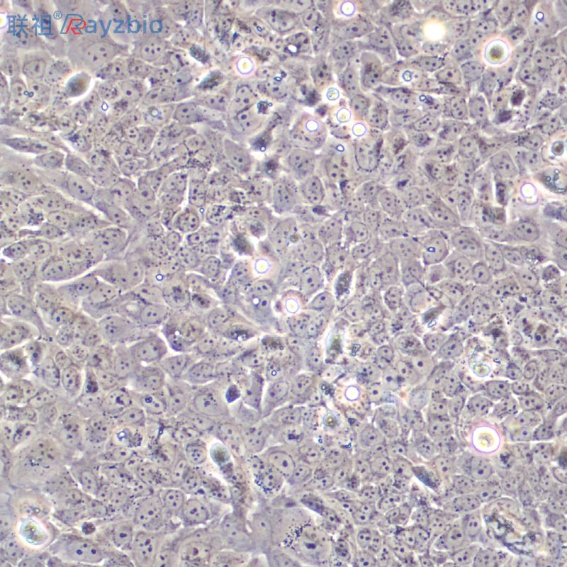
猪胸腺基质细胞
| 细胞名称 | 猪胸腺基质细胞 |
| 货号 | LZ-YX10544 |
| 规格 | T25培养瓶 |
| 培养条件 | 温度:37℃ |
| 种属 | 猪原代细胞 |
| 运输 | 常温 |
公司正在出售的产品:
| CCC-HPE-2细胞,人胚胎胰腺组织来源细胞 人舌癌细胞系,Tca8113-P160细胞 tTA基因修饰的小鼠畸胎瘤细胞(B类);P19-CAG-tTA-3C3 | 原代心肌细胞特制基础无血清培养基Many types of cells包装:500/100ml |
| 人虹膜色素上皮细胞RNAHIPEpiC miRNA5 μg | C1orf187: 1号染色体开放阅读框187抗体 0.2ml |
| 小鼠黑色素瘤细胞;B16 | Rhesus antibody Rh c-fos c-fos抗体 规格 0.1ml |
| SKOV3/Taxol-25, 人卵巢癌紫杉醇耐药细胞株 单核细胞型淋巴瘤细胞,THP 1细胞 FaDu(人咽鳞癌细胞) | GR- Beta ELISA Kit 大鼠糖皮质激素受体βMulti-class antibodies规格: 48T |
| ECV-304(人脐静脉内皮细胞) 5×106cells/瓶×2 肺成纤维细胞Many types of cells包装:5 × 105次方(1ml) | Phospho-Gab1 (Tyr659): 0酸化接头蛋白Gab 1抗体 0.1ml |
| STATH Others Human 人 Statherin / STATH 人细胞裂解液 (阳性对照) | PGC1 alpha + beta: 过氧化物酶体增殖物激活受体γ辅激活子1α+β抗体 0.1ml |
| Ovary细胞,人卵巢癌细胞 兔成骨C细胞,IF细胞 胎盘滋养层细胞Many types of cells包装:5 × 105次方(1ml) | Anti-CD329/SIGLEC9/FITC 荧光素标记唾液酸结合性免疫球蛋白样凝集素9抗体IgGMulti-class antibodies规格: 0.2ml |
| HUtSMC-c 人类子宫平滑肌细胞(HUtSMC) 500,000cells 原代心肌细胞特制基础培养基Many types of cells包装:500/250/100ml | T3 状腺原酸(T3) 96T |
| MMP8 Others Human 人 MMP-8 / CLG1 人细胞裂解液 (阳性对照) | Rhesus antibody Rh phospho-IRS1(Tyr1222) 0酸化胰岛素受体底物-1抗体 规格 0.1ml |
| NCI-H1299(人非小细胞肺癌细胞) 5×106cells/瓶×2 甲型流感 H1N1 (A/USSR/90/1977) 血凝素 (Hemagglutinin / HA) 杆状病毒-昆虫细胞裂解液 (阳性对照) | Rhesus antibody Rh KLHL8 Kelch样蛋白8抗体 规格 0.2ml |
| HA Others H7N9 甲型流感 H7N9 (A/Anhui/1/2013) 血凝素HA1 (Hemagglutinin) 人细胞裂解液 (阳性对照) | glypican 1 0脂酰基醇蛋白聚糖-1抗原 0.5mg |
| 草鱼肾细胞;GIK | Phospho-MAP3K8 (Thr290): 0酸化原活化蛋白激酶激酶8抗体 0.1ml |
| 猪胸腺基质细胞HA Others H7N9 甲型流感 H7N9 (A/Hangzhou/1/2013) 血凝素 (Hemagglutinin / HA) 人细胞裂解液 (阳性对照) | IgM/FITC 荧光素标记兔抗小鼠IgMMulti-class antibodies规格: 0.3ml |
| 人胚肺成纤维细胞;CCC-HPF-1 | Anti-Resistin (human, dog) 抵抗素抗体(人,犬)Multi-class antibodies规格: 0.1ml |
| EDAR Others Rat 大鼠 EDAR 人细胞裂解液 (阳性对照) | Anti-phospho-IKK alpha (Tyr463) /FITC 荧光素标记0酸化核因子κB激酶alpha抑制剂抗体IgGMulti-class antibodies规格: 0.2ml |
注意事项:
1.收到细胞后,若发现干冰已挥发干净、冻存管瓶盖脱落、破损及细胞有污染,请立即与我们系。
2.收到细胞先不开瓶盖,瓶身擦拭酒精后放在培养箱静置2-4小时(视细胞密度而定)稳定细胞状态。接着在倒置显微镜下观察细胞生长情况,并对细胞进行不同倍数拍照(建议收细胞时就整体外观拍一张照片,观察培养基的颜色和是否有漏液情况,随后在显微镜下拍下细胞状态,100*,200*各一张),观察记录细胞在运输过程中是否有污染情况。作为我方进行销售依据。
3.由于细胞状态受环境、操作和运输等多方面因素影响,故本公司只保证客户收到细胞后一周内的细胞状态,故客户需要售后时需出示收到细胞的时间证明及客户提供收货时间和发现问题后客服人员沟通的时间证明,期间间隔时间不能大于7天。
4.所有动物细胞均视为有潜在的生物危害性,必须在二级生物安全台内操作,并请注意防护,所有废液及接触过此细胞的器皿需要灭菌后方能丢弃。
5.客户在细胞培养过程中任何问题可联系我们在线客服,我们随时给予解答。
风险提示:丁香通仅作为第三方平台,为商家信息发布提供平台空间。用户咨询产品时请注意保护个人信息及财产安全,合理判断,谨慎选购商品,商家和用户对交易行为负责。对于医疗器械类产品,请先查证核实企业经营资质和医疗器械产品注册证情况。
技术资料暂无技术资料 索取技术资料
猪胸腺基质细胞
¥3000 - 6900









