万千商家帮你免费找货
0 人在求购买到急需产品
- 详细信息
- 技术资料
- 供应商:
上海联祖
- 库存:
48
- 生长状态:
贴壁生长
- 是否是肿瘤细胞:
否
- 规格:
T25培养瓶
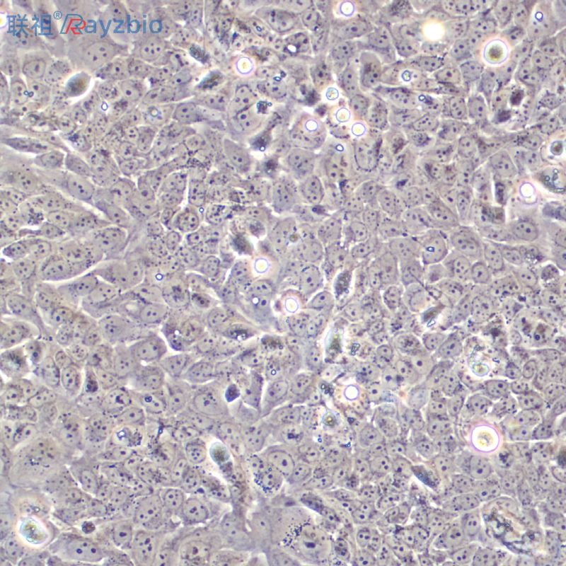
兔脊髓成纤维细
| 细胞名称 | 兔脊髓成纤维细胞 |
| 货号 | LZ-YX10487 |
| 规格 | T25培养瓶 |
| 培养条件 | 温度:37℃ |
| 种属 | 兔原代细胞 |
| 运输 | 常温 |
公司正在出售的产品:
| 人前列腺癌高转移细胞株;PC-3M IE8 | MOLT-4 人急性淋巴母细胞白血病细胞 MOLT-4 human acute lymphoblastic leukemia cells RPMI-1640(GIBCO)+10%FBS |
| 5-8F, 人高转移鼻咽癌细胞系 淋巴瘤,EL4IL-2细胞 PC-12(大鼠肾上腺嗜铬细胞瘤) | RNF43: 环指蛋白43抗体 0.2ml |
| 大鼠心肌细胞(RCM)(1×106) Ca Ski, 人细胞 Human | Anti-Hck/FITC 荧光素标记造血细胞激酶抗体IgGMulti-class antibodies规格: 0.2ml |
| 大鼠胰岛细胞瘤细胞;INS-1 | NKB(Human Neurokinins B) ELISA Kit 人神经激肽B 96T |
| EB病毒转化的人B淋巴细胞(傣族);KM9405 | Rhesus antibody Rh RAB5 ras癌基因家族Rab5蛋白抗体 规格 0.1ml |
| 人肺腺癌细胞;Calu-3 | C18orf1: 18号染色体开放阅读框1抗体 0.2ml |
| CL-0055Caov-3(人乳突状卵巢腺癌细胞)5×106cells/瓶×2 | Rhesus antibody Rh BRRN1/CAPH 染色体相关蛋白H抗体 规格 0.2ml |
| 大鼠肾成纤维细胞完全培养基 100mL | HO-1(Mouse heme oxygenase 1) ELISA Kit 小鼠血红素氧合酶1Multi-class antibodies规格: 48T |
| 人角膜上皮细胞完全培养基 100mL | EXTL3: 多发性外生骨疣样蛋白3抗体 0.2ml |
| 大鼠卵巢上皮细胞完全培养基 100mL | Anti-lamin A 核纤层蛋白A抗体Multi-class antibodies规格: 0.2ml |
| WISP1 Protein Human 重组人 CCN4 / WISP1 蛋白 (His 标签) | Anti-CT/FITC 荧光素标记降钙素抗体IgGMulti-class antibodies规格: 0.2ml |
| AE-2杂交瘤细胞抗AChE AE-2 hybridoma cells against AChE DMEM+10% Hyclone 灭活血清 | phospho-AKT1 (Ser246): 0酸化蛋白激酶AKT1抗体 0.1ml |
| 兔脊髓成纤维细胞EFNB2 Protein Human 重组人 Ephrin-B2 / EFNB2 蛋白 (His & Fc 标签) | 抗子宫内膜抗体 anti-EMAb 0.2ml |
| HPT-8细胞,小鼠饲养层上皮细胞 293(转染腺病毒E1A基因的人肾上皮细胞) 长白山猪胚胎皮肤成纤维样细胞;201184 | Rhesus antibody Rh GTPBP4/CRFG GTP结合蛋白4抗体(慢性肾功能衰竭蛋白) 规格 0.2ml |
| NOV Protein Cynomolgus 重组食蟹猴 / 恒河猴 CCN3 / NOV 蛋白 (His 标签) | Rabbit Anti-IgG/Cy5 Cy5标记的兔抗猪IgG 0.1ml |
注意事项:
1.收到细胞后,若发现干冰已挥发干净、冻存管瓶盖脱落、破损及细胞有污染,请立即与我们系。
2.收到细胞先不开瓶盖,瓶身擦拭酒精后放在培养箱静置2-4小时(视细胞密度而定)稳定细胞状态。接着在倒置显微镜下观察细胞生长情况,并对细胞进行不同倍数拍照(建议收细胞时就整体外观拍一张照片,观察培养基的颜色和是否有漏液情况,随后在显微镜下拍下细胞状态,100*,200*各一张),观察记录细胞在运输过程中是否有污染情况。作为我方进行销售依据。
3.由于细胞状态受环境、操作和运输等多方面因素影响,故本公司只保证客户收到细胞后一周内的细胞状态,故客户需要售后时需出示收到细胞的时间证明及客户提供收货时间和发现问题后客服人员沟通的时间证明,期间间隔时间不能大于7天。
4.所有动物细胞均视为有潜在的生物危害性,必须在二级生物安全台内操作,并请注意防护,所有废液及接触过此细胞的器皿需要灭菌后方能丢弃。
5.客户在细胞培养过程中任何问题可联系我们在线客服,我们随时给予解答。
风险提示:丁香通仅作为第三方平台,为商家信息发布提供平台空间。用户咨询产品时请注意保护个人信息及财产安全,合理判断,谨慎选购商品,商家和用户对交易行为负责。对于医疗器械类产品,请先查证核实企业经营资质和医疗器械产品注册证情况。
技术资料暂无技术资料 索取技术资料
兔脊髓成纤维细胞
¥3000 - 6900









