万千商家帮你免费找货
0 人在求购买到急需产品
- 详细信息
- 文献和实验
- 技术资料
- 供应商:
上海联祖
- 库存:
26
- 生长状态:
贴壁生长
- 是否是肿瘤细胞:
否
- 规格:
T25培养瓶
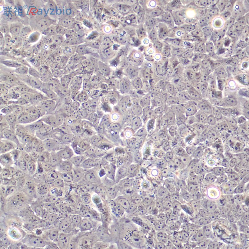
| 细胞名称 | 兔破骨细胞 |
| 货号 | LZ-YX10426 |
| 规格 | T25培养瓶 |
| 培养条件 | 温度:37℃ |
| 种属 | 兔原代细胞 |
| 运输 | 常温 |
公司正在出售的产品:
| 腺病毒转化的人胚肾细胞;AAV-293 人肾足突细胞完全培养基 100mL | 叙利亚仓鼠细胞系;Syrian Hamster AV12 |
| 正常小鼠Leydig细胞;TM3 | vaspin(Human Visceral adipose-specific serine protease inhibitor) ELISA Kit 人内脏脂肪特异性丝酸蛋白酶抑制剂 96T |
| IFNW1 Protein Human 重组人 IFN omega 1 / IFNW1 蛋白 (His 标签) | Rhesus antibody Rh TIMP-1(CT) 金属蛋白酶组织抑制因子-1抗体(C端) 规格 0.1ml |
| CPE Others Human 人 CPE 人细胞裂解液 (阳性对照) | Anti-TSHB 促甲状腺素单克隆抗体Multi-class antibodies规格: 0.2ml |
| SERPINB8 Others Mouse 小鼠 SerpinB8 杆状病毒-昆虫细胞裂解液 (阳性对照) | Anti-MYL1/MYL2 /FITC 荧光素标记肌球蛋白轻链1/2抗体IgGMulti-class antibodies规格: 0.2ml |
| HL60细胞,人原髓细胞白血病细胞 大鼠骨髓瘤细胞,IR983F细胞 角质细胞培养基KM | CK-MB(Human Creatine Kinase MB isoenzyme) ELISA Kit 人肌酸激酶同工酶MBMulti-class antibodies规格: 48T |
| HBEpC Pellet 人支气管上皮细胞团块 > 1 mio.cells 人肺动脉成纤维细胞cDNAHPAF cDNA | HRH2: 组胺受体H2抗体 0.1ml |
| S100A2 Others Human 人 S100A2 人细胞裂解液 (阳性对照) | Rhesus antibody Rh IgG/APC APC标记的驴抗人IgG 规格 0.1ml |
| BC-019(人癌细胞) 5×106cells/瓶×2 小鼠淋巴瘤细胞;P388D1(IL-1) | SPECC1L: 细胞质和纺锤体机化蛋白A抗体 0.2ml |
| HDMEC-c 人真皮微血管内皮细胞(HDMEC)来自少年者 500,000cells 肺微血管内皮细胞Many types of cells包装:5 × 105次方(1ml) | CA8: 酶相关蛋白8抗体 0.2ml |
| EGFR Others Mouse 小鼠 EGFR / HER1 / ErbB1 人细胞裂解液 (阳性对照) | Rhesus antibody Rh CC16/CCSP 克拉拉细胞蛋白抗体 规格 0.1ml |
| T-108A胶原酶(含10mL酶解缓冲液)1mL | VCAM-1/CD106 ELISA kit 大鼠血管内皮细胞粘附分子Multi-class antibodies规格: 48T |
| 兔破骨细胞CD40 Others Mouse 小鼠 CD40 / TNFRSF5 人细胞裂解液 (阳性对照) | FBXO28: FBXO28蛋白抗体 0.2ml |
| 人卵巢腺癌细胞;SK-OV-3 | OTP: 螺旋转录因子OTP抗体 0.2ml |
| IFNA4 Others Cynomolgus 食蟹猴 IFNA4 / IFNα4 / Ierferon alpha-4 人细胞裂解液 (阳性对照) | Anti-P-selectin/CD62p /FITC 荧光素标记P选择素抗体IgGMulti-class antibodies规格: 0.2ml |
注意事项:
1.收到细胞后,若发现干冰已挥发干净、冻存管瓶盖脱落、破损及细胞有污染,请立即与我们系。
2.收到细胞先不开瓶盖,瓶身擦拭酒精后放在培养箱静置2-4小时(视细胞密度而定)稳定细胞状态。接着在倒置显微镜下观察细胞生长情况,并对细胞进行不同倍数拍照(建议收细胞时就整体外观拍一张照片,观察培养基的颜色和是否有漏液情况,随后在显微镜下拍下细胞状态,100*,200*各一张),观察记录细胞在运输过程中是否有污染情况。作为我方进行销售依据。
3.由于细胞状态受环境、操作和运输等多方面因素影响,故本公司只保证客户收到细胞后一周内的细胞状态,故客户需要售后时需出示收到细胞的时间证明及客户提供收货时间和发现问题后客服人员沟通的时间证明,期间间隔时间不能大于7天。
4.所有动物细胞均视为有潜在的生物危害性,必须在二级生物安全台内操作,并请注意防护,所有废液及接触过此细胞的器皿需要灭菌后方能丢弃。
5.客户在细胞培养过程中任何问题可联系我们在线客服,我们随时给予解答。
风险提示:丁香通仅作为第三方平台,为商家信息发布提供平台空间。用户咨询产品时请注意保护个人信息及财产安全,合理判断,谨慎选购商品,商家和用户对交易行为负责。对于医疗器械类产品,请先查证核实企业经营资质和医疗器械产品注册证情况。
文献和实验兔颈总动脉球囊损伤术后狭窄模型,可模拟经皮腔内冠状动脉血管成形术(PTCA)术后再狭窄的发生发展。高脂饲料加球囊损伤术:目前广泛应用于腹、髂主动脉粥样硬化及颈动脉狭窄模型的建立, 球囊损伤程度的大小成为影响造模成功的关键之一。 切开颈部,分离组织颈动脉血管,颈动脉插入球囊,球囊内注入空气,球囊扩张来回抽动3次,动物模型的成熟完善建立为展开动脉粥硬化、干细胞研究、转基因技术、内皮功能等多方面的研究提供了一个切实可行的方法。最后缝合皮肤,压力泵压力能够维持,表示造模成功,术后可以通过HE验证检测。
亦称溶骨细胞。为多核的大形细胞,具有破坏吸收骨组织的功能。骨化时靠它进行从海绵骨质向致密骨质转变,以及髓腔的形成和骨外形的调整等。结果是它参与钙和磷的贮存与释放,因破骨细胞可被甲状旁腺激素活化,从而促进了骨基质的吸收,使血中钙和磷的含量增加。相反,鳃后腺( ultimobranchialgland)的降钙素( calcitonin)则可抑制其功能。此种细胞来源于骨髓的网状细胞,但也有认为是由造骨细胞一时性愈合而产生的。
中国白兔中国白兔是世界上较为古老的品种之一,主要特征,头型清秀,嘴较尖,毛色全白眼睛红色。成兔体重约2.0-2.5公斤,每年生产5-6胎,每胎约6-8只小兔,最高可达15只以上。新西兰兔新西兰兔是著名的优良肉用兔品种,原产于美国。我国已引入多年,具有早期生长速度快,产肉力高,肉质肥嫩的特点。同时,毛皮质地也很好。新西兰兔被毛有纯白色和橘红色两种类型。白色新西兰兔,眼色粉红;橘红色新西兰兔,眼淡褐色,眼周围有很小或不明显的白环;头粗重,嘴钝圆,耳较短小;体躯中等长,体宽,腰和肋部丰满,臀圆,四
技术资料暂无技术资料 索取技术资料










