万千商家帮你免费找货
0 人在求购买到急需产品
- 详细信息
- 技术资料
- 供应商:
上海联祖
- 库存:
32
- 生长状态:
贴壁生长
- 是否是肿瘤细胞:
否
- 规格:
T25培养瓶
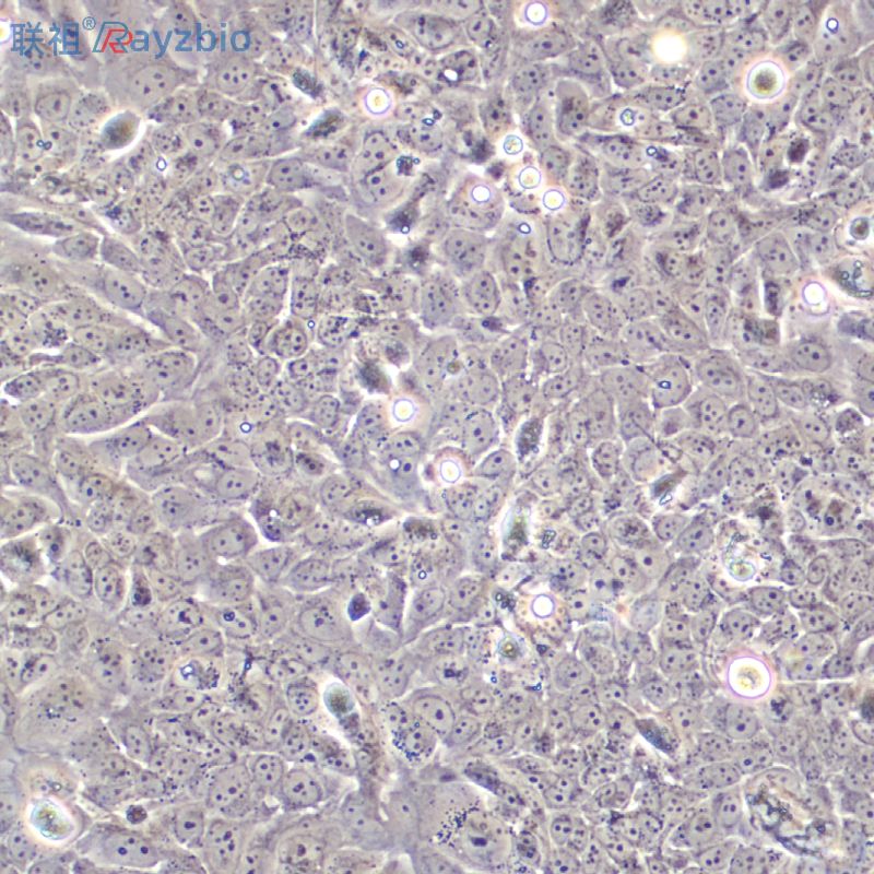
兔股动脉内皮细胞
| 细胞名称 | 兔股动脉内皮细胞 |
| 货号 | LZ-YX10315 |
| 规格 | T25培养瓶 |
| 培养条件 | 温度:37℃ |
| 种属 | 兔原代细胞 |
| 运输 | 常温 |
公司正在出售的产品:
| HIT-T15 叙利亚仓鼠胰岛β细胞 | HEC-1A, 人子宫内膜癌细胞系 肝细胞,BRL细胞 TE 115.T(人软组织纤维瘤细胞) |
| 人干细胞因子单克隆抗体细胞株;AMS2(SCF3) 人子宫颈上皮细胞完全培养基 100mL | SP-A(Human Surfactant Protein A) ELISA Kit 人表面活性蛋白AMulti-class antibodies规格: 48T |
| HA Others H5N1 甲型流感 H5N1 (A/common magpie/Hong Kong/5052/2007) 血凝素HA1 (Hemagglutinin) 人细胞裂解液 (阳性对照) | Integrin alpha 4/CD49d/Integrin α4: 整合素α4抗体 0.1ml |
| 胃黏膜上皮Many types of cells包装:5 × 105次方(1ml) | Rhesus antibody Rh GDPD2/GDE3 促进成骨细胞分化因子抗体 规格 0.2ml |
| 中国仓鼠卵巢细胞K1(亚系克隆);CHO-K1 | IgG/Alexa Fluor 488 Alexa Fluor 488标记的小鼠抗IgG 0.1ml |
| CM-H085人脐动脉平滑肌细胞完全培养基100mL | BP180-Ab(Human anti-Bullous Pemphigoid 180 antibody) ELISA Kit 人抗BP180抗体 96T |
| 人毛细胞裂解物HHDPCL | Rhesus antibody Rh Ret/HSCR1 原癌基因酪氨酸蛋白激酶受体RET/多发性内分泌腺瘤和甲状腺髓样癌蛋白抗体 规格 0.1ml |
| 人黑色素瘤细胞;A875 | Anti-CDC42/FITC 荧光素标记细胞分化周期CDC42蛋白抗体IgGMulti-class antibodies规格: 0.2ml |
| 非洲绿猴肾细胞;CV-1 | Anti-Sema7A/CD108/FITC 荧光素标记轴突生长因子CD108抗体IgGMulti-class antibodies规格: 0.2ml |
| CM-R094大鼠胎儿表皮角质形成层细胞完全培养基100mL | PCDHGB5: 原钙粘蛋白γB5抗体 0.2ml |
| 杂交瘤(B类);C3110D2E11 | Anti-Phospho-p90RSK (Ser380) /FITC 荧光素标记0酸化丝氨酸/苏氨酸激酶p90RSK蛋白抗体IgGMulti-class antibodies规格: 0.2ml |
| MLTC-1细胞,间质细胞瘤细胞 人胃腺癌细胞,NCI-N87细胞 婆罗门牛皮肤成纤维样细胞;BOS-4 | ACE(Mouse Angiotensin converting enzyme) ELISA Kit 小鼠血管紧张素转化酶 96T |
| 兔股动脉内皮细胞细胞名称 种属 | Rhesus antibody Rh phospho-SYN1(Ser553) 0酸化神经突触素1抗体 规格 0.1ml |
| KM小鼠脑神经胶质母细胞瘤瘤株;G422 小鼠膀胱成纤维细胞完全培养基 100mL | phospho-Band3 (Tyr21): 0酸化红细胞阴离子交换蛋白1抗体 0.1ml |
| 小鼠淋巴细胞白血病;L1210 | Rhesus antibody Rh APEX2 嘌呤嘧啶核酸内切酶2抗体 规格 0.1ml |
注意事项:
1.收到细胞后,若发现干冰已挥发干净、冻存管瓶盖脱落、破损及细胞有污染,请立即与我们系。
2.收到细胞先不开瓶盖,瓶身擦拭酒精后放在培养箱静置2-4小时(视细胞密度而定)稳定细胞状态。接着在倒置显微镜下观察细胞生长情况,并对细胞进行不同倍数拍照(建议收细胞时就整体外观拍一张照片,观察培养基的颜色和是否有漏液情况,随后在显微镜下拍下细胞状态,100*,200*各一张),观察记录细胞在运输过程中是否有污染情况。作为我方进行销售依据。
3.由于细胞状态受环境、操作和运输等多方面因素影响,故本公司只保证客户收到细胞后一周内的细胞状态,故客户需要售后时需出示收到细胞的时间证明及客户提供收货时间和发现问题后客服人员沟通的时间证明,期间间隔时间不能大于7天。
4.所有动物细胞均视为有潜在的生物危害性,必须在二级生物安全台内操作,并请注意防护,所有废液及接触过此细胞的器皿需要灭菌后方能丢弃。
5.客户在细胞培养过程中任何问题可联系我们在线客服,我们随时给予解答。
风险提示:丁香通仅作为第三方平台,为商家信息发布提供平台空间。用户咨询产品时请注意保护个人信息及财产安全,合理判断,谨慎选购商品,商家和用户对交易行为负责。对于医疗器械类产品,请先查证核实企业经营资质和医疗器械产品注册证情况。
技术资料暂无技术资料 索取技术资料
兔股动脉内皮细胞
¥3000 - 6900









