万千商家帮你免费找货
0 人在求购买到急需产品
- 详细信息
- 技术资料
- 供应商:
上海联祖
- 库存:
56
- 生长状态:
贴壁生长
- 是否是肿瘤细胞:
否
- 规格:
T25培养瓶
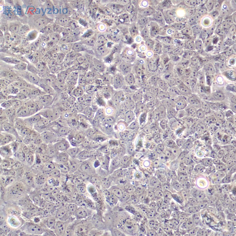
小鼠室管膜细胞
| 细胞名称 | 小鼠室管膜细胞 |
| 货号 | LZ-YX10260 |
| 规格 | T25培养瓶 |
| 培养条件 | 温度:37℃ |
| 种属 | 小鼠原代细胞 |
| 运输 | 常温 |
公司正在出售的产品:
| KM小鼠网织细胞肉瘤瘤株;LⅡ | HFTF细胞,人胚胎眼Tenon's囊成纤维细胞 迟缓真杆菌/迟缓埃格特菌 小耳猪肺细胞;SEP-L2 |
| CA10 Others Human 人 CA10 人细胞裂解液 (阳性对照) | P I NP(Human procollagen I N-terminal peptide) ELISA Kit 人Ⅰ型前胶原N端前肽Multi-class antibodies规格: 48T |
| PRLR Others Mouse 小鼠 PRLR / Prolactin receptor 人细胞裂解液 (阳性对照) | ILVBL: 乙酰乳酸合成酶蛋白抗体 0.2ml |
| HGC-27 人胃癌细胞(未分化) | Rhesus antibody Rh GDF8 生长分化因子8/肌肉抑制素抗体 规格 0.2ml |
| 人羊膜细胞;WISH | IgG/AP 碱性0酸酶(AP)标记的小鼠抗大鼠IgG 0.1ml |
| CM-H103胎儿真皮成纤维细胞完全培养基100mL | PGE2 ELISA Kit 大鼠前列腺素E2 96T |
| 人肺泡上皮细胞裂解物HPAEpiCL | Rhesus antibody Rh Renin 肾素/血管紧张素形成酶Ren1抗体 规格 0.1ml |
| 人胚肺二倍体细胞;KMB-17 | Anti-CDK7/Cyclin H/MAT1 /FITC 荧光素标记周期素依赖性激酶7抗体IgGMulti-class antibodies规格: 0.2ml |
| 大鼠肠动脉内皮细胞完全培养基 100mL | Anti-VEGF(Rabbit)/FITC 荧光素标记血管内皮生长因子抗体IgGMulti-class antibodies规格: 0.2ml |
| 人小肠平滑肌细胞完全培养基 100mL | PTK9: 蛋白酪酸激酶9抗体 0.2ml |
| 中国仓鼠卵巢细胞(亚系克隆);DUKXB11 carrying pDEF202-hTPO-163 | Anti-Leptin receptor(long) /FITC 荧光素标记瘦素受体抗体(长)IgGMulti-class antibodies规格: 0.2ml |
| ECV304细胞,人脐静脉内皮细胞株 人小细胞肺癌细胞,NCI-H345细胞 CL-0403NCI-H524(人非小细胞肺癌细胞)5×106cells/瓶×2 | MHC I /RLA I (Rabbit major histocompatibility complex I ) ELISA Kit 兔主要组织相容性复合体Ⅰ类 96T |
| 小鼠室管膜细胞EGF Protein Human 重组人 EGF / Epidermal Growth Factor 蛋白 (Fc 标签) | Rhesus antibody Rh Phospho-Stathmin (Ser16) 0酸化原癌基因蛋白18抗体 规格 0.1ml |
| CCRF-CEM [CCRF CEM]人急性淋巴细胞白血病T淋巴细胞 The CCRF-CEM [CCRF CEM] human acute lymphoblastic leukemia T lymphocytes 1640+10%Hyclone 灭活血清 | beta IV Tubulin: 微管蛋白β4抗体 0.2ml |
| CCL21 Protein Cynomolgus 重组食蟹猴 CCL21 / 6Ckine 蛋白 | Rhesus antibody Rh APBA3/Mint3/X11gamma β淀粉样前体蛋白结合蛋白3抗体 规格 0.2ml |
注意事项:
1.收到细胞后,若发现干冰已挥发干净、冻存管瓶盖脱落、破损及细胞有污染,请立即与我们系。
2.收到细胞先不开瓶盖,瓶身擦拭酒精后放在培养箱静置2-4小时(视细胞密度而定)稳定细胞状态。接着在倒置显微镜下观察细胞生长情况,并对细胞进行不同倍数拍照(建议收细胞时就整体外观拍一张照片,观察培养基的颜色和是否有漏液情况,随后在显微镜下拍下细胞状态,100*,200*各一张),观察记录细胞在运输过程中是否有污染情况。作为我方进行销售依据。
3.由于细胞状态受环境、操作和运输等多方面因素影响,故本公司只保证客户收到细胞后一周内的细胞状态,故客户需要售后时需出示收到细胞的时间证明及客户提供收货时间和发现问题后客服人员沟通的时间证明,期间间隔时间不能大于7天。
4.所有动物细胞均视为有潜在的生物危害性,必须在二级生物安全台内操作,并请注意防护,所有废液及接触过此细胞的器皿需要灭菌后方能丢弃。
5.客户在细胞培养过程中任何问题可联系我们在线客服,我们随时给予解答。
风险提示:丁香通仅作为第三方平台,为商家信息发布提供平台空间。用户咨询产品时请注意保护个人信息及财产安全,合理判断,谨慎选购商品,商家和用户对交易行为负责。对于医疗器械类产品,请先查证核实企业经营资质和医疗器械产品注册证情况。
技术资料暂无技术资料 索取技术资料
小鼠室管膜细胞
¥3000 - 6900









