万千商家帮你免费找货
0 人在求购买到急需产品
- 详细信息
- 技术资料
- 供应商:
上海联祖
- 库存:
53
- 生长状态:
贴壁生长
- 是否是肿瘤细胞:
否
- 规格:
T25培养瓶
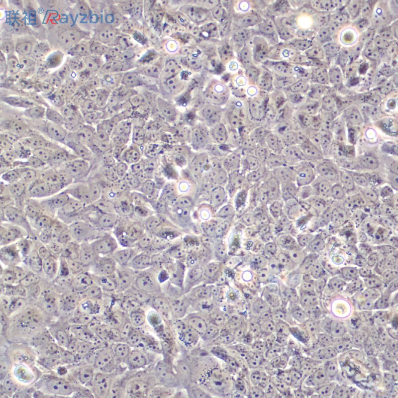
小鼠股动脉平滑肌细胞
| 细胞名称 | 小鼠股动脉平滑肌细胞 |
| 货号 | LZ-YX10143 |
| 规格 | T25培养瓶 |
| 培养条件 | 温度:37℃ |
| 种属 | 小鼠原代细胞 |
| 运输 | 常温 |
公司正在出售的产品:
| TNFRSF21 Others Human 人 DR6 / TNFRSF21 人细胞裂解液 (阳性对照) | 小鼠T淋巴细胞瘤细胞;Cyc-Tag(S49) |
| CM-H021人前列腺平滑肌细胞完全培养基100mL | GDP甘露糖焦酸化酶B抗体 |
| HCT116/L 人结肠癌耐奥沙利铂耐药株 | 抗利尿激素受体1B抗体 |
| HAoSMC-c 人主动脉平滑肌细胞(HAoSMC) 500,000cells 胰岛β细胞Many types of cells包装:5 × 105次方(1ml) | 黄素腺嘌呤二核苷酸抗体 |
| ERBB3 Others Mouse 小鼠 HER3 / ErbB3 人细胞裂解液 (阳性对照) | 淀粉样肽前体蛋白抗体(C端) |
| SW 1271[SW-1271;SW1271]细胞,人肺腺癌细胞 人肾透明细胞癌皮肤转移细胞,Caki-1细胞 人表皮黑色素细胞-HEM-a | 原纤维蛋白2抗体 |
| HA Others H1N1 甲型流感 H1N1 (A/Ohio/UR06-0091/2007) 血凝素HA1 (Hemagglutinin) 人细胞裂解液 (阳性对照) | 载脂蛋白A4抗体 |
| HA Others H5N1 甲型流感 H5N1 (A/Hong kong/213/03) 血凝素HA1 (Hemagglutinin) 人细胞裂解液 (阳性对照) | 眼睛和头发颜色相关蛋白FUZ抗体 |
| ICAM1 Others Human 人 ICAM-1 / CD54 人细胞裂解液 (阳性对照) | GDP甘露糖焦酸化酶B抗体 |
| LY9 Others Mouse 小鼠 Ly9 / CD229 / SLAMF3 人细胞裂解液 (阳性对照) | 抗利尿激素受体1B抗体 |
| FAIM3 Others Human 人 FAIM3 人细胞裂解液 (阳性对照) | 黄素腺嘌呤二核苷酸抗体 |
| CM-R125大鼠牙细胞完全培养基100mL | 淀粉样肽前体蛋白抗体(C端) |
| 小鼠股动脉平滑肌细胞FCER1A Others Mouse 小鼠 FcERI / FCER1A 人细胞裂解液 (阳性对照) | 原纤维蛋白2抗体 |
| 人肺泡上皮细胞RNAHPAEpiC miRNA5 μg | 载脂蛋白A4抗体 |
| CD40 Others Cynomolgus 食蟹猴 / 恒河猴 CD40 / TNFRSF5 人细胞裂解液 (阳性对照) | 眼睛和头发颜色相关蛋白FUZ抗体 |
注意事项:
1.收到细胞后,若发现干冰已挥发干净、冻存管瓶盖脱落、破损及细胞有污染,请立即与我们系。
2.收到细胞先不开瓶盖,瓶身擦拭酒精后放在培养箱静置2-4小时(视细胞密度而定)稳定细胞状态。接着在倒置显微镜下观察细胞生长情况,并对细胞进行不同倍数拍照(建议收细胞时就整体外观拍一张照片,观察培养基的颜色和是否有漏液情况,随后在显微镜下拍下细胞状态,100*,200*各一张),观察记录细胞在运输过程中是否有污染情况。作为我方进行销售依据。
3.由于细胞状态受环境、操作和运输等多方面因素影响,故本公司只保证客户收到细胞后一周内的细胞状态,故客户需要售后时需出示收到细胞的时间证明及客户提供收货时间和发现问题后客服人员沟通的时间证明,期间间隔时间不能大于7天。
4.所有动物细胞均视为有潜在的生物危害性,必须在二级生物安全台内操作,并请注意防护,所有废液及接触过此细胞的器皿需要灭菌后方能丢弃。
5.客户在细胞培养过程中任何问题可联系我们在线客服,我们随时给予解答。
风险提示:丁香通仅作为第三方平台,为商家信息发布提供平台空间。用户咨询产品时请注意保护个人信息及财产安全,合理判断,谨慎选购商品,商家和用户对交易行为负责。对于医疗器械类产品,请先查证核实企业经营资质和医疗器械产品注册证情况。
技术资料暂无技术资料 索取技术资料
小鼠股动脉平滑肌细胞
¥3000 - 6900









