万千商家帮你免费找货
0 人在求购买到急需产品
- 详细信息
- 技术资料
- 供应商:
上海联祖
- 库存:
53
- 生长状态:
贴壁生长
- 是否是肿瘤细胞:
否
- 规格:
T25培养瓶
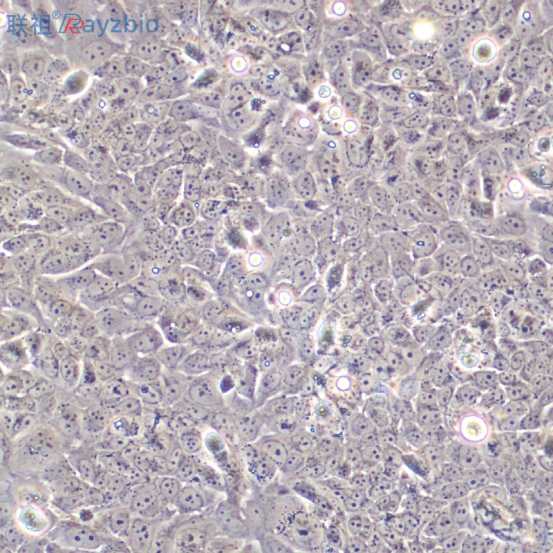
大鼠结膜上皮细胞
| 细胞名称 | 大鼠结膜上皮细胞 |
| 货号 | LZ-YX10104 |
| 规格 | T25培养瓶 |
| 培养条件 | 温度:37℃ |
| 种属 | 大鼠原代细胞 |
| 运输 | 常温 |
公司正在出售的产品:
| CM-H013人小气道平滑肌细胞完全培养基100mL | 散鳞镜鲤尾鳍细胞;YZ21 人成纤维细胞,Hs 578Bst细胞 HO-8910PM(高转移卵巢癌细胞) |
| EFNA4 Others Mouse 小鼠 EFNA4 / Ephrin-A4 人细胞裂解液 (阳性对照) | RAS癌基因相关蛋白RAB7抗体 |
| 人上皮细胞(HMEpiC) (5×105) | 酸化自噬相关蛋白7抗体 |
| 人子宫内膜腺癌细胞;HEC-1-B | 谷甘肽硫转移酶ω1抗体 |
| DH82 狗肾恶性组织细胞增生症细胞 | 细胞凋亡敏感性基因抗体 |
| CM-M020小鼠上皮细胞完全培养基100mL | 胆固醇调节元件结合蛋白1抗体 |
| 小鼠肠粘膜上皮细胞完全培养基 100mL | 上皮细胞有丝分裂蛋白抗体 |
| 小鼠海马趾星形胶质细胞MA-h | 卷曲螺旋结构域蛋白89抗体 |
| 猪小肠上皮细胞;ZYM-DIEC02 | 乙型肝炎X蛋白HBX抗体 |
| 肾动脉内皮细胞Many types of cells包装:5 × 105次方(1ml) | 白介素6抗体(N端) |
| EB病毒转化的人B淋巴细胞;KMY0928 | 凝血因子12重链抗体 |
| 猴肾细胞;Vero IgCD4 人巨核细胞白血病,CHRF细胞 SK-N-MC(神经上皮瘤细胞) | 肌球蛋白相互作用G蛋白交换因子抗体 |
| 大鼠结膜上皮细胞GH3, 大鼠垂体生长激素腺瘤 Rattus | 心脏钾离子通道蛋白亚基2抗体 |
| 黑化大家鼠肺成纤维细胞;NRm 管癌细胞,BT549细胞 MA-782细胞,鼠癌细胞系 | 芳香烃受体核转录蛋白2抗体 |
| 人结直肠癌细胞;T84 | 原活化蛋白激酶MKK6抗体 |
注意事项:
1.收到细胞后,若发现干冰已挥发干净、冻存管瓶盖脱落、破损及细胞有污染,请立即与我们系。
2.收到细胞先不开瓶盖,瓶身擦拭酒精后放在培养箱静置2-4小时(视细胞密度而定)稳定细胞状态。接着在倒置显微镜下观察细胞生长情况,并对细胞进行不同倍数拍照(建议收细胞时就整体外观拍一张照片,观察培养基的颜色和是否有漏液情况,随后在显微镜下拍下细胞状态,100*,200*各一张),观察记录细胞在运输过程中是否有污染情况。作为我方进行销售依据。
3.由于细胞状态受环境、操作和运输等多方面因素影响,故本公司只保证客户收到细胞后一周内的细胞状态,故客户需要售后时需出示收到细胞的时间证明及客户提供收货时间和发现问题后客服人员沟通的时间证明,期间间隔时间不能大于7天。
4.所有动物细胞均视为有潜在的生物危害性,必须在二级生物安全台内操作,并请注意防护,所有废液及接触过此细胞的器皿需要灭菌后方能丢弃。
5.客户在细胞培养过程中任何问题可联系我们在线客服,我们随时给予解答。
风险提示:丁香通仅作为第三方平台,为商家信息发布提供平台空间。用户咨询产品时请注意保护个人信息及财产安全,合理判断,谨慎选购商品,商家和用户对交易行为负责。对于医疗器械类产品,请先查证核实企业经营资质和医疗器械产品注册证情况。
技术资料暂无技术资料 索取技术资料
大鼠结膜上皮细胞
¥3000 - 6900









