万千商家帮你免费找货
0 人在求购买到急需产品
- 详细信息
- 文献和实验
- 技术资料
- 供应商:
上海联祖
- 库存:
47
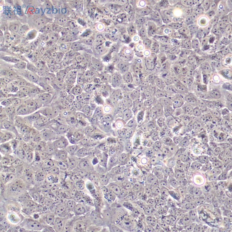
- 英文名:
PNT2
- 是否是肿瘤细胞:
否
- 规格:
T25培养瓶
| 产品名称 | 规格 | 货号 |
| PNT2细胞 | T25瓶 | LZ-X9007 |
含量:>1x10^6 细胞数
规格:T25瓶
用途:仅供科研使用。
干冰运输及复苏好存活细胞
(1)1mL冻存管包装干冰运输,收到后-80度冰箱保存过夜后转入液氮或直接复苏,若发现干冰已挥发干净、冻存管瓶盖脱落、破损及细胞有污染,请立即与我们联系。
(2)T25瓶复苏的存活细胞常温发货,收到后按照细胞接收后的处理方法操作。
1) 收到细胞后,75%酒精消毒瓶壁将T25瓶置于37℃培养箱放置约2-3h,若发现培养瓶破损、有液溢出及细胞有污染,请拍照后及时联系我们。
2)请在4或5X显微镜下确认细胞状态,同时给刚收到的细胞拍照(10×,20×)各2-3张以及培养瓶外观照片一张留存,作为售后时收到时细胞状态的依据。
3) 悬浮细胞:T25瓶置于37℃培养箱放置约2-3h,然后抽出瓶中的培养基和细胞1000rpm离心5分钟,弃去上清重悬后接种到新的培养瓶中(加入按照说明书细胞培养条件新配制的完全培养基)。
4)备注:运输用的培养基(灌液培养基)不能再用来培养细胞,请换用按照说明书细胞培养条件新配制的完全培养基来培养细胞。 收到细胞后第一次传代建议T25培养瓶1:2传代 。 一.培养基及培养冻存条件准备:
1) 准备培养基;优质胎牛血清,10%;双抗,1%。备注:该细胞为悬浮并部分聚团生长
2) 培养条件: 气相:空气,95%;二氧化碳,5%。 温度:37摄氏度,培养箱湿度为70%-80%。
3) 冻存液:90%血清,10%DMSO,现用现配。
二. 细胞处理:
1) 冻存细胞的复苏:
将含有1mL细胞悬液的冻存管在37℃水浴中迅速摇晃解冻,加入到含4-6mL完全培养基的离心管中混合均匀。在1000RPM条件下离心3-5min,弃去上清液,完全培养基重悬细胞。然后将细胞悬液加入含6-8ml完全培养基的培养瓶(或皿)中37℃培养过夜。第二天显微镜下观察细胞生长情况和细胞密度。
2) 细胞传代:如果细胞密度达80%-90%,即可进行传代培养。
对于悬浮细胞,传代可参考以下方法:
悬浮状态下生长的细胞,可以通过向培养瓶中添加完全培养基来维持细胞的生长状态,一般情况下细胞密度维持在1×105~1×10^6个/mL(不同细胞对密度要求不同,)可以维持细胞的正常生长。如需分瓶可以将细胞悬液收集到离心管中1000rpm,离心5min,弃去上清,补加1-2mL培养液后重悬混匀后将细胞悬液按1:2的比例分到新T25瓶中,添加6-8ml按照说明书要求配置的新的完全培养基以保持细胞的生长活力,后续传代根据实际情况按1:2~1:5的比例进行。
3) 细胞冻存: 收到细胞后建议在培养前3代时冻存一批细胞种子以备后续实验使用。
下面T25瓶为例;
1. 细胞冻存时按照细胞传代的过程收集消化好的细胞到离心管中,可使用血球计数板计数,来决定细胞的冻存密度。一般细胞的推荐冻存密度为1×10^6~1×107个活细胞/ml.
2. 1000rpm离心3-5min,去掉上清。用配制好的细胞冻存液重悬细胞 ,按每1ml冻存液含1×10^6~1×107个活细胞/ml分配到一个冻存管中将细胞分配到冻存管中,标注好名称、代数、日期等信息。
3. 将要冻存的细胞置于程序降温盒中,-80度冰箱中过夜,之后转入液氮容器中储存。同时记录好冻存管在液氮容器中的位置以便后续查阅和使用。
| Primarker™成人皮肤成纤维细胞鉴定试剂盒 | 破骨细胞Many types of cells包装:5 × 105方(1ml)高录醋铵(*)(易制暴) cMMONIUM PqRCHLORcTq |
| Primarker™人小肠成纤维细胞鉴定试剂盒 | 人癌细胞;MDA-MB-435S扎那米韦(标准品)Zanamivir质量规格:HPLC≥98.0%,标准品 |
| 人鼻咽癌细胞;CNE-2Z 大鼠肾上皮细胞完全培养基 100mL2,2-二本基-1-苦基(+4℃) 1,1-DIPHqNYL-2-PICRYLHYDRcZYL 1898-66-4 | 水牛皮肤成纤维样细胞;WB-S51酸泰乐菌素质量规格:>95%,BRTylosin phosphate |
| 人脑动脉血管平滑肌细胞提取物【Human Brain: Normal Cerebral Artery Vascular Smooth Muscle Cells Derivatives】 | CL-0216SMMC-7721(人肝癌细胞)5×106cells/瓶×29,10-二溴蒽(>98%,BR)质量规格:>98%,BR9,10-Dibromoanthracene |
| 大鼠肝细胞;BRL 3AD-谷酸 D-Glutamic acid,≥99% 6893-26-1 5G 通用试剂 | ARG1 Others Human 人 Arginase-1 / ARG1 人细胞裂解液 (阳性对照) 草(>98%,BR)Oxalyldihydrazide质量规格:>98%,BR |
| 小鼠关节软骨细胞提取物 【Mouse Bone: Normal Articular Chondrocyte Derivatives】 | TNFRSF11A Others Rat 大鼠 TNFRSF11A 人细胞裂解液 (阳性对照) 4-羟基丙泊酚4-O-β-D-葡萄糖苷酸4-Hydroxy Propofol 4-O-β-D-Glucuronide |
| CXCL12 Others Cynomolgus 食蟹猴 CXCL12 / SDF-1 人细胞裂解液 (阳性对照) 伊立替康标记物d10Irinotecan Labeled d10 | 大鼠小肠血管内皮细胞完全培养基 100mL曙红Y,醇溶剂红 43Eosin Y ,alcohol solution质量规格:AR |
| Primarker™小鼠子宫颈上皮细胞鉴定试剂盒 | MCAM Others Mouse 小鼠 CD146 / MCAM 人细胞裂解液 (阳性对照) 人参皂苷Rg5质量规格:HPLC≥95%,对照品GinsenosideRg5 |
| RBE(人胆管癌细胞) 5×106cells/瓶×24-磺酰杯[6]芳烃水和物(>95.0%(HPLC))质量规格:>95.0%(HPLC)4-Sulfocalix[6]arene Hydrate | L6565细胞,小鼠白血病克隆细胞系 破伤风杆菌/梭菌Closidium tetani 猴脉络膜-视网膜(内皮)细胞;RF/6A奥氮平(标准品)Olanzapine质量规格:HPLC>98%,标准品 |
| TNFRSF8 Others Human 人 CD30 / TNFRSF8 人细胞裂解液 (阳性对照) 18-冠-6-(>98.0%(GC))18-Crown 6-Ether质量规格:>98.0%(GC) | EPHA2 Others Human 人 EphA2 (aa 585-976) 杆状病毒-昆虫细胞裂解液 (阳性对照) 盐酸美利曲辛(标准品)质量规格:含量测定Melitracen hydrochloride |
| 小鼠小脑星形胶质细胞(MA-c)(5×105)甲基索拉菲尼-d3Sorafenib-methyl-d3 | CM-R042大鼠直肠平滑肌细胞完全培养基100mL肯特肽抗体Anti-Kentsin质量规格:>95%,BR |
| 中国仓鼠卵巢细胞-二氢叶酸还原酶缺陷型;CHO/dhFr-普卢利沙星;普利沙星Prulifloxacin 质量规格:>99%,BR | 人信号传导子及转录激活子3酶联免疫试剂盒 |
| PNT2细胞CL-0319B16-F10(小鼠皮肤色素瘤细胞)5×106cells/瓶×2丹参酮IIATanshinone IIA质量规格:>98%,BR | 人流行性脑脊髓膜炎抗体酶联免疫试剂盒 |
| Hepa 1-6, 小鼠肝癌细胞4-派啶酰安 Hqxcxy7noisonicotincmidq 39246-3- | 人谷氨酸[NMDA]受体亚基ε-2酶联免疫试剂盒 |
| CL-0263BGC-803(人胃癌细胞)5×106cells/瓶×2奥美拉唑钠一水合物(标准品)Omeprazole Monohydrate质量规格:含量测定 | 人MAP磷酸酶双特异性磷酸酶1酶联免疫试剂盒 |
风险提示:丁香通仅作为第三方平台,为商家信息发布提供平台空间。用户咨询产品时请注意保护个人信息及财产安全,合理判断,谨慎选购商品,商家和用户对交易行为负责。对于医疗器械类产品,请先查证核实企业经营资质和医疗器械产品注册证情况。
文献和实验细胞治疗是细胞和基因治疗的重要组成部分,它通过使用特定类型的细胞来修复、替换或调节受损的组织和器官。在细胞治疗中,不同类型的细胞因其独特的生物学特性而被广泛应用于多种疾病的治疗。以下是一些常用的细胞类型及其在细胞治疗中的应用。 (1)免疫细胞 免疫细胞是细胞治疗中最重要且研究最多的细胞类型之一,主要包括 T 细胞、自然杀伤细胞(NK 细胞)和树突状细胞(DC 细胞)。 T 细胞:T 细胞是人体免疫系统的核心细胞,具有强大的抗肿瘤能力。CAR-T 细胞疗法是目前最成功的免疫细胞治疗技术
简介 细胞增殖/细胞毒性测定是涉及培养细胞的研究中最常用的测试之一。 其是检查用于治疗的药物浓度的基本初步测试,也是确定各种研究领域(如肿瘤学和细胞死亡)药物疗效和安全性的非常重要的测试。 传统上,WST-8 或 ATP 检测(使用代谢活性作为指标)和 BrdU 或胸腺嘧啶核苷检测(使用 DNA 合成水平作为指标)已用于细胞生长特性的定量评估。 尽管这些检测由于其简易性和吞吐量而对我们有益,但这些检测都是间接评估方法,因此结果可能与实际细胞数无关。 在许多情况下,这些检测是终点评估,有时会
对于贴壁生长的细胞,相对来说比较简单但也很麻烦。以下我主要讨论贴壁生长的细胞。 在讨论之前,大家首先要有一个概念,即洁净区,并不是没有细菌,而是细菌的数量非常少,国家标准100级的洁净标准是浮游菌数不得超过5个每立方米,沉降菌数不得超过1个每培养皿.而国外的标准比我国的还要高一点,要求的数量更少。 所以在我们的洁净操作台里,并不是真正一个细菌都没有的,所以在操作的时候还是要尽量利索迅速地完成操作。尽量减少进入培养体系细菌的数量。 所以处理细菌污染的重要原则就是:无限地稀释细菌的浓度,无限地减少
技术资料暂无技术资料 索取技术资料










