万千商家帮你免费找货
0 人在求购买到急需产品
- 详细信息
- 技术资料
- 供应商:
上海联祖
- 库存:
32
- 生长状态:
贴壁生长
- 是否是肿瘤细胞:
否
- 规格:
T25培养瓶
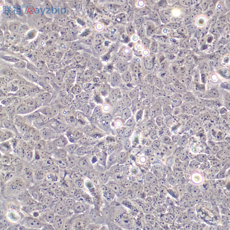
大鼠骨髓单核细胞
| 细胞名称 | 大鼠骨髓单核细胞 |
| 货号 | LZ-YX10082 |
| 规格 | T25培养瓶 |
| 培养条件 | 温度:37℃ |
| 种属 | 大鼠原代细胞 |
| 运输 | 常温 |
注意事项:
1.收到细胞后,若发现干冰已挥发干净、冻存管瓶盖脱落、破损及细胞有污染,请立即与我们系。
2.收到细胞先不开瓶盖,瓶身擦拭酒精后放在培养箱静置2-4小时(视细胞密度而定)稳定细胞状态。接着在倒置显微镜下观察细胞生长情况,并对细胞进行不同倍数拍照(建议收细胞时就整体外观拍一张照片,观察培养基的颜色和是否有漏液情况,随后在显微镜下拍下细胞状态,100*,200*各一张),观察记录细胞在运输过程中是否有污染情况。作为我方进行销售依据。
3.由于细胞状态受环境、操作和运输等多方面因素影响,故本公司只保证客户收到细胞后一周内的细胞状态,故客户需要售后时需出示收到细胞的时间证明及客户提供收货时间和发现问题后客服人员沟通的时间证明,期间间隔时间不能大于7天。
4.所有动物细胞均视为有潜在的生物危害性,必须在二级生物安全台内操作,并请注意防护,所有废液及接触过此细胞的器皿需要灭菌后方能丢弃。
5.客户在细胞培养过程中任何问题可联系我们在线客服,我们随时给予解答。 公司正在出售的产品:
| SV40转染人成骨细胞;hFOB 1.19 人心房肌细胞完全培养基 100mL | 稳定表达EBNA1的人胚肾细胞;293E |
| 仓鼠肾细胞;HL-1 | 酸化蛋白激酶C抗体 PKC ε |
| 小鼠单核巨噬细胞;J774A.1 | 叉头蛋白F2抗体 |
| HPASMC-c 人肺动脉平滑肌细胞(HPASMC) 500,000cells 心肌成纤维细胞Many types of cells包装:5 × 105次方(1ml) | 白介素2抗体(大、小鼠) |
| BST2 Others Mouse 小鼠 TETHERIN / BST2 / CD317 人细胞裂解液 (阳性对照) | 冷休克结构域蛋白C2抗体 |
| RL95-2细胞,人子宫内膜癌细胞 小鼠垂体瘤细胞(分泌促生长激素分泌激素),AtT-20细胞 人星形胶质细胞HA | MYC结合蛋白2抗体 |
| RAG(小鼠肾腺癌细胞) 5×106cells/瓶×2 H08910(卵巢癌细胞) | 酸化钙介质素抗体 |
| WPMY-1(人正常前列腺基质永生化细胞) 5×106cells/瓶×2 C2C12, 小鼠肌原细胞 | DNA复制抑制因子抗体 |
| Raji(人Butt's淋巴瘤细胞) 5×106cells/瓶×2 大鼠 SerpinE1 / PAI-1 人细胞裂解液 (阳性对照) | 骨形态发生蛋白11抗体 |
| CST7 Others Human 人 Cystatin-F / CST7 / Cystatin-7 人细胞裂解液 (阳性对照) | 富含亮氨酸重复结构域蛋白9抗体 |
| CD302 Others Rat 大鼠 CD302 / CLEC13A 人细胞裂解液 (阳性对照) | 红细胞膜相关蛋白ERMAP抗体 |
| CM-R065大鼠肾上皮细胞完全培养基100mL | 热休克因子2结合蛋白抗体 |
| 大鼠骨髓单核细胞CD22 Others Mouse 小鼠 Siglec-2 / CD22 人细胞裂解液 (阳性对照) | 20号染色体开放阅读框7抗体 |
| 人非小细胞肺癌细胞;NCI-H23 | 含亮氨酸神经胶质瘤失活蛋白4抗体 |
| CD38 Others Rat 大鼠 SCARB3 人细胞裂解液 (阳性对照) | 心肌病相关蛋白2 |
风险提示:丁香通仅作为第三方平台,为商家信息发布提供平台空间。用户咨询产品时请注意保护个人信息及财产安全,合理判断,谨慎选购商品,商家和用户对交易行为负责。对于医疗器械类产品,请先查证核实企业经营资质和医疗器械产品注册证情况。
技术资料暂无技术资料 索取技术资料
大鼠骨髓单核细胞
¥3000 - 6900









