万千商家帮你免费找货
0 人在求购买到急需产品
- 详细信息
- 文献和实验
- 技术资料
- 供应商:
上海联祖
- 库存:
53
- 生长状态:
贴壁生长
- 是否是肿瘤细胞:
否
- 规格:
T25培养瓶
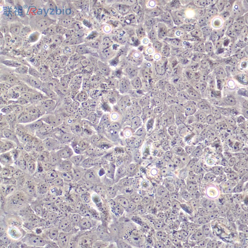
大鼠肾上腺皮质细
| 细胞名称 | 大鼠肾上腺皮质细胞 |
| 货号 | LZ-YX10025 |
| 规格 | T25培养瓶 |
| 培养条件 | 温度:37℃ |
| 种属 | 大鼠原代细胞 |
| 运输 | 常温 |
公司正在出售的产品:
| 水貂肺上皮细胞;Mv.1.Lu(NBL-7) | U251人胶质瘤细胞 子宫内膜癌细胞,HEC-1B细胞 MDA-MB-468(癌细胞) |
| NHEK-c adult 正常人表皮角质形成细胞(NHEK)成年单一捐献者 500,000cells 原代骨细胞特制无血清添加剂Many types of cells包装:1ml | Rho GTP酶激活蛋白24抗体 |
| 人淋巴内皮细胞 (HLEC)( 5×105 ) | 酸酯酶-2Ac抗体 |
| EB病毒转化的人B淋巴细胞;KM9401 | 固生蛋白M抗体 |
| TDGF1 Protein Rat 重组大鼠 Cripto / TDGF1 蛋白 (Fc 标签) | 细胞分裂周期相关蛋白3抗体 |
| CM-M047小鼠肠微血管细胞完全培养基100mL | 蛋白激酶C delta结合蛋白抗体 |
| 人小胶质细胞cDNAHM cDNA | 神经激肽B抗体 |
| 人心脏成纤维细胞-心室HCF-av | 颗粒酶D/B/E/N/G/F/H抗体 |
| 仓鼠卵巢细胞;Lec1 | 抑癌基因PDLIM4抗体 |
| CL-0121Hut-102(人皮肤T淋巴瘤细胞)5×106cells/瓶×2 | 白细胞抗原A抗体 |
| K7M2 wt(小鼠骨肉瘤成骨细胞) 5×106cells/瓶×2 | 配对盒同源基因4抗体 |
| gpc-1细胞,人前列腺癌细胞 兔眼Tenon's囊成纤维细胞,RYTF细胞 大鼠背脊髓神经元RN-dsc | 鸡毒支原体抗体 |
| 大鼠肾上腺皮质细胞小鼠肺腺癌低转移细胞(绿色荧光蛋白标记);LA1-GFP | 锌指蛋白423抗体 |
| BEL-7405细胞,肝癌细胞 膀胱癌细胞,BI U-87细胞 615小鼠树突状细胞肉瘤瘤株;DCS | 肺癌转移相关蛋白抗体 |
| 人肾上腺皮质腺癌细胞;NCI-H295R | 四分子交联体4抗体(四旋蛋白) |
注意事项:
1.收到细胞后,若发现干冰已挥发干净、冻存管瓶盖脱落、破损及细胞有污染,请立即与我们系。
2.收到细胞先不开瓶盖,瓶身擦拭酒精后放在培养箱静置2-4小时(视细胞密度而定)稳定细胞状态。接着在倒置显微镜下观察细胞生长情况,并对细胞进行不同倍数拍照(建议收细胞时就整体外观拍一张照片,观察培养基的颜色和是否有漏液情况,随后在显微镜下拍下细胞状态,100*,200*各一张),观察记录细胞在运输过程中是否有污染情况。作为我方进行销售依据。
3.由于细胞状态受环境、操作和运输等多方面因素影响,故本公司只保证客户收到细胞后一周内的细胞状态,故客户需要售后时需出示收到细胞的时间证明及客户提供收货时间和发现问题后客服人员沟通的时间证明,期间间隔时间不能大于7天。
4.所有动物细胞均视为有潜在的生物危害性,必须在二级生物安全台内操作,并请注意防护,所有废液及接触过此细胞的器皿需要灭菌后方能丢弃。
5.客户在细胞培养过程中任何问题可联系我们在线客服,我们随时给予解答。
风险提示:丁香通仅作为第三方平台,为商家信息发布提供平台空间。用户咨询产品时请注意保护个人信息及财产安全,合理判断,谨慎选购商品,商家和用户对交易行为负责。对于医疗器械类产品,请先查证核实企业经营资质和医疗器械产品注册证情况。
文献和实验相关实验
1. Wistar 大鼠血细胞计数 2. SD 大鼠血细胞计数
培养了快一个月的细胞了,今天终于鉴定出是我想要的血管平滑肌细胞。我养的是大鼠胸主动脉血管平滑肌细胞,采用的是组织贴块法培养。10天后传第一代(图1),16天后第二代(图2),22天后第三代(图3),并做a-actin免疫细胞化学鉴定(图4)。 图1图2图3 图4典型的血管平滑肌细胞生长"hill and valley"现象。
chenke520520 本人做转染实验,由于小鼠的细胞实在是养不活,我能否将小鼠的insig-1基因(insulin induce gene-1)转染到大鼠细胞中?能否其发挥功能?急!请战友们解答!谢谢! shao74 可以。 你是需要稳定表达还是瞬间表达?若稳定表达,你可采取病毒感染的方式,如曼病毒;逆转录病毒和腺病毒;若后者你可用一般的转染方式就够了,这样一般可持续7天左右。 hustokyo
技术资料暂无技术资料 索取技术资料
大鼠肾上腺皮质细胞
¥3000 - 6900










