万千商家帮你免费找货
0 人在求购买到急需产品
- 详细信息
- 文献和实验
- 技术资料
- 供应商:
上海联祖
- 库存:
29
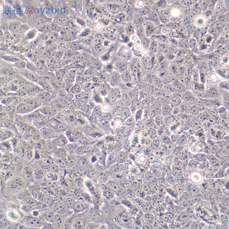
- 英文名:
SNU-80
- 是否是肿瘤细胞:
否
- 规格:
T25培养瓶
| 产品名称 | 规格 | 货号 |
| SNU-80细胞 | T25瓶 | LZ-X9084 |
含量:>1x10^6 细胞数
规格:T25瓶
用途:仅供科研使用。
干冰运输及复苏好存活细胞
(1)1mL冻存管包装干冰运输,收到后-80度冰箱保存过夜后转入液氮或直接复苏,若发现干冰已挥发干净、冻存管瓶盖脱落、破损及细胞有污染,请立即与我们联系。
(2)T25瓶复苏的存活细胞常温发货,收到后按照细胞接收后的处理方法操作。
1) 收到细胞后,75%酒精消毒瓶壁将T25瓶置于37℃培养箱放置约2-3h,若发现培养瓶破损、有液溢出及细胞有污染,请拍照后及时联系我们。
2)请在4或5X显微镜下确认细胞状态,同时给刚收到的细胞拍照(10×,20×)各2-3张以及培养瓶外观照片一张留存,作为售后时收到时细胞状态的依据。
3) 悬浮细胞:T25瓶置于37℃培养箱放置约2-3h,然后抽出瓶中的培养基和细胞1000rpm离心5分钟,弃去上清重悬后接种到新的培养瓶中(加入按照说明书细胞培养条件新配制的完全培养基)。
4)备注:运输用的培养基(灌液培养基)不能再用来培养细胞,请换用按照说明书细胞培养条件新配制的完全培养基来培养细胞。 收到细胞后第一次传代建议T25培养瓶1:2传代 。 一.培养基及培养冻存条件准备:
1) 准备培养基;优质胎牛血清,10%;双抗,1%。备注:该细胞为悬浮并部分聚团生长
2) 培养条件: 气相:空气,95%;二氧化碳,5%。 温度:37摄氏度,培养箱湿度为70%-80%。
3) 冻存液:90%血清,10%DMSO,现用现配。
二. 细胞处理:
1) 冻存细胞的复苏:
将含有1mL细胞悬液的冻存管在37℃水浴中迅速摇晃解冻,加入到含4-6mL完全培养基的离心管中混合均匀。在1000RPM条件下离心3-5min,弃去上清液,完全培养基重悬细胞。然后将细胞悬液加入含6-8ml完全培养基的培养瓶(或皿)中37℃培养过夜。第二天显微镜下观察细胞生长情况和细胞密度。
2) 细胞传代:如果细胞密度达80%-90%,即可进行传代培养。
对于悬浮细胞,传代可参考以下方法:
悬浮状态下生长的细胞,可以通过向培养瓶中添加完全培养基来维持细胞的生长状态,一般情况下细胞密度维持在1×105~1×10^6个/mL(不同细胞对密度要求不同,)可以维持细胞的正常生长。如需分瓶可以将细胞悬液收集到离心管中1000rpm,离心5min,弃去上清,补加1-2mL培养液后重悬混匀后将细胞悬液按1:2的比例分到新T25瓶中,添加6-8ml按照说明书要求配置的新的完全培养基以保持细胞的生长活力,后续传代根据实际情况按1:2~1:5的比例进行。
3) 细胞冻存: 收到细胞后建议在培养前3代时冻存一批细胞种子以备后续实验使用。
下面T25瓶为例;
1. 细胞冻存时按照细胞传代的过程收集消化好的细胞到离心管中,可使用血球计数板计数,来决定细胞的冻存密度。一般细胞的推荐冻存密度为1×10^6~1×107个活细胞/ml.
2. 1000rpm离心3-5min,去掉上清。用配制好的细胞冻存液重悬细胞 ,按每1ml冻存液含1×10^6~1×107个活细胞/ml分配到一个冻存管中将细胞分配到冻存管中,标注好名称、代数、日期等信息。
3. 将要冻存的细胞置于程序降温盒中,-80度冰箱中过夜,之后转入液氮容器中储存。同时记录好冻存管在液氮容器中的位置以便后续查阅和使用。
| Primarker™大鼠脑动脉血管平滑肌细胞鉴定试剂盒 | P3X63Ag8细胞,骨髓瘤细胞 人十二指肠腺癌细胞,HuTu-80细胞 CM-H029人脐带单核细胞完全培养基100mL3012-65-5柠檬酸氢二铵;枸橼酸氢二铵;二碱式柠檬酸铵AMMoniuM dibasic;AMMoniuM xy7nogen ;Citric acid diaMMoniuM salt |
| Primarker™大鼠肺微血管内皮细胞鉴定试剂盒 | 猫肾细胞;CRFK1,1,3,3-四甲基二硅氮烷(>97.0%(GC))质量规格:>97.0%(GC)1,1,3,3-Tetramethyldisilazane |
| STX8 Others Human 人 STX8 / Syaxin 8 人细胞裂解液 (阳性对照) 促性腺激素释放激素相关蛋白(1-13),人质量规格:>95%,BRGn-RH Associated Peptide (GAP) (1-13), human | CD14 Others Mouse 小鼠 CD14 人细胞裂解液 (阳性对照) 维生素C钠(标准品) ascorbate质量规格:含量测定 |
| 大鼠滑膜细胞提取物【Rat Bone Joint: Normal Synovial Cell Derivatives】 | 人髓核细胞RNAHNPC miRNA5 μg保泰钠质量规格:>98%phenylbutazone |
| HA Others H1N1 甲型流感 H1N1 (A/Texas/05/2009) 血凝素HA1 (Hemagglutinin) 人细胞裂解液 (阳性对照) ADA单钠盐质量规格:>99%ADA mono salt | MFC细胞,小鼠胃癌细胞 BHK(幼仓鼠肾细胞) 猕猴肺细胞;MML2罗舒伐他汀酰基-β-D-葡萄糖苷酸Rosuvastatin Acyl-β-D-glucuronide |
| 人肝癌组织源细胞【Human Cancer: Liver Cancer Tissues Cells】 | 人内皮细胞总RNAHLEC NAL-茶氨酸质量规格:≥98%,BRL-Theanine |
| KLK8 Others Human 人 KLK-8 / Kallikrein-8 人细胞裂解液 (阳性对照) 流醋镍铵 cMMONIUM NICKqL(II) SULFcTq HqXcHYDRcTq 7782-0-8 | 22RV1(人前列腺癌细胞) 5×106cells/瓶×26,8-二甲氧基莫西沙星盐酸盐6,8-Dimethoxy Moxifloxacin Hydrochloride |
| Primarker™人输尿管上皮细胞鉴定试剂盒 | UM-UC-3, 人膀胱移行细胞癌 小鼠成纤维细胞,3T3/e细胞 J774A1(单核细胞巨噬细胞)硫代乙酰胺质量规格:AR, ≥99.0%Thioacetamide |
| Gibco 17104019 Collagenase Type IV 1g[Trp4]-Kemptide质量规格:>95%,BR[Trp4]-Kemptide | Promocell C-22111 Endothelial Cell GrowthMedium 2 KIT, 内皮细胞生长培养基2型套装 500ml1氨丁三醇(标准品)Fosfomycin tromethamine质量规格:含量测定 |
| CD36 Others Human 人 CD36 / SCARB3 人细胞裂解液 (阳性对照) 十三烷(标准品)Tridecane质量规格:分析标准品,>99.5%(GC) | 人心肌成纤维细胞提取物 |
| EM2 Others Mouse 小鼠 EM2 人细胞裂解液 (阳性对照) 半木质,英文名或英文缩写:Xylan,级别:超,98%,规格:0.25UN | 大鼠角膜成纤维细胞提取物 |
| 中国仓鼠卵巢细胞(亚系克隆);CHO-HCV-NS4A锡标准溶液(100μg/mL,基体: 10%HCl)Tin standard质量规格:100μg/mL,基体: 10%HCl | 人脱氧尿三磷酸酶联免疫试剂盒 |
| SNU-80细胞绿色荧光蛋白标记小鼠前胃癌细胞;MFC-GFP促性腺激素释放激素相关蛋白(1-13),人Gn-RH Associated Peptide (GAP) (1-13), human质量规格:>95%,BR | 人抗中性粒细胞核周抗体酶联免疫试剂盒 |
| CM-H026人内皮细胞完全培养基100mL疏水硅烷shēng huà shì jì容量:保存:-20℃100u | 人多肽YY酶联免疫试剂盒 |
| HCT 116人结肠癌细胞 HCT 116 human colon cancer cells MycCoy's 5A+10%FBSN2-乙酰基-9-(2-乙酰氧基乙氧基甲基)鸟嘌呤(阿昔洛韦杂质)N2-Acetyl-9-(2-acetoxyethoxymethyl)guanine (Acyclovir Impurity) | 人A激酶PRKA锚定蛋白12酶联免疫试剂盒 |
风险提示:丁香通仅作为第三方平台,为商家信息发布提供平台空间。用户咨询产品时请注意保护个人信息及财产安全,合理判断,谨慎选购商品,商家和用户对交易行为负责。对于医疗器械类产品,请先查证核实企业经营资质和医疗器械产品注册证情况。
文献和实验师从施一公,发表 6 篇Science/3篇 Cell,她被誉为「世界最具潜力女科学家」| 论文盘点
体」这一世界级难题。 RNA 剪接是生命体解读遗传密码的核心步骤,即把遗传密码中的内含子「剪」出来,外显子「接」一起的过程,由细胞核内的剪接体负责执行。人类的遗传疾病大约有 35% 都是因为剪接异常造成的。然而,剪接体催化过程中不同构象高分辨率结构的缺失严重限制了大家对其工作机制以及 RNA 剪接的分子机理的理解。因此,对于剪接体以及 RNA 剪接通路上各复合物结构的研究,是当今世界最富有挑战性、最亟待解决的课题之一。 她曾以第一作者和共同第一作者的身份在 Science 上发表 6 篇论文
。 4、低温原则 所取样本离体后,应尽快置于干冰或 -80℃ 冰箱中,并保证在实验前始终处于 -70℃ 以下, 以避免外泌体降解。 二、样本制备指南 1、细胞上清 1) 细胞在正常含有血清的培养基中培养一定时间,贴壁细胞密度在 70%-80%,悬浮细胞密度在 60%-70%; 2) 对于贴壁细胞,去除原有培养基,加入适量的 PBS 缓冲液冲洗一次,彻底去除血清;对于悬浮细胞,300 g ,4℃,10 min 收集细胞,然后换为新的不含外泌体的培养基或者无血清替代培养基继续培养 24-48 h, 根据细胞
,小心收集上清液(血清),立即进行测定。建议在-20℃或-80℃下将收集的血清分装保存,避免反复冻融。 在收集血液样本的过程中应避免溶血,因为红细胞在溶解时会释放具有过氧化物酶活性的物质,这种情况下,ELISA实验中将会出现非特异性显色反应,导致检测结果不准确。另外,样本还应避免细菌污染,因为细菌可能含有内源性HRP,也会导致检测结果不准确。 血浆 使用含抗凝剂的采血管或离心管采集血液样本,采集后30分钟内,2-8℃下以1000×g离心15分钟,小心收集上清液(血浆)。建议在-20℃或-80
技术资料暂无技术资料 索取技术资料









