万千商家帮你免费找货
0 人在求购买到急需产品
- 详细信息
- 询价记录
- 文献和实验
- 技术资料
- 供应商:
上海联祖
- 库存:
47
- 生长状态:
贴壁生长
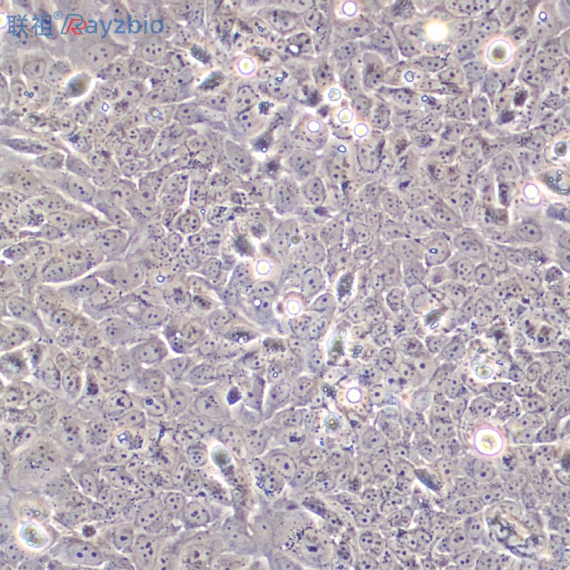
- 规格:
T25培养瓶
| 产品名称 | 规格 | 货号 |
| 定制类猪脂肪间充质干细胞 | T25瓶 | LZ-YX9538 |
含量:>1x10^6 细胞数
规格:T25瓶
用途:仅供科研使用。
1) 收到细胞后,75%酒精消毒瓶壁将T25瓶置于37℃培养箱放置约2-3h,若发现培养瓶破损、有液溢出及细胞有污染,请拍照后及时联系我们。
2)请在4或5X显微镜下确认细胞状态,同时给刚收到的细胞拍照(10×,20×)各2-3张以及培养瓶外观照片一张留存,作为售后时收到时细胞状态的依据。
3) 悬浮细胞:T25瓶置于37℃培养箱放置约2-3h,然后抽出瓶中的培养基和细胞1000rpm离心5分钟,弃去上清重悬后接种到新的培养瓶中(加入按照说明书细胞培养条件新配制的完全培养基)。
4)备注:运输用的培养基(灌液培养基)不能再用来培养细胞,请换用按照说明书细胞培养条件新配制的完全培养基来培养细胞。 收到细胞后第一次传代建议T25培养瓶1:2传代 。 一.培养基及培养冻存条件准备:
1) 准备培养基;优质胎牛血清,10%;双抗,1%。备注:该细胞为悬浮并部分聚团生长
2) 培养条件: 气相:空气,95%;二氧化碳,5%。 温度:37摄氏度,培养箱湿度为70%-80%。
3) 冻存液:90%血清,10%DMSO,现用现配。
二. 细胞处理:
1) 冻存细胞的复苏:
将含有1mL细胞悬液的冻存管在37℃水浴中迅速摇晃解冻,加入到含4-6mL完全培养基的离心管中混合均匀。在1000RPM条件下离心3-5min,弃去上清液,完全培养基重悬细胞。然后将细胞悬液加入含6-8ml完全培养基的培养瓶(或皿)中37℃培养过夜。第二天显微镜下观察细胞生长情况和细胞密度。
2) 细胞传代:如果细胞密度达80%-90%,即可进行传代培养。
对于悬浮细胞,传代可参考以下方法:
悬浮状态下生长的细胞,可以通过向培养瓶中添加完全培养基来维持细胞的生长状态,一般情况下细胞密度维持在1×105~1×10^6个/mL(不同细胞对密度要求不同,)可以维持细胞的正常生长。如需分瓶可以将细胞悬液收集到离心管中1000rpm,离心5min,弃去上清,补加1-2mL培养液后重悬混匀后将细胞悬液按1:2的比例分到新T25瓶中,添加6-8ml按照说明书要求配置的新的完全培养基以保持细胞的生长活力,后续传代根据实际情况按1:2~1:5的比例进行。
3) 细胞冻存: 收到细胞后建议在培养前3代时冻存一批细胞种子以备后续实验使用。
下面T25瓶为例;
1. 细胞冻存时按照细胞传代的过程收集消化好的细胞到离心管中,可使用血球计数板计数,来决定细胞的冻存密度。一般细胞的推荐冻存密度为1×10^6~1×107个活细胞/ml.
2. 1000rpm离心3-5min,去掉上清。用配制好的细胞冻存液重悬细胞 ,按每1ml冻存液含1×10^6~1×107个活细胞/ml分配到一个冻存管中将细胞分配到冻存管中,标注好名称、代数、日期等信息。
3. 将要冻存的细胞置于程序降温盒中,-80度冰箱中过夜,之后转入液氮容器中储存。同时记录好冻存管在液氮容器中的位置以便后续查阅和使用。
| 大鼠肠静脉内皮细胞完全培养基 100mL | H4细胞,人脑神经胶质瘤细胞(H4) 肠炎沙门氏菌 人心脏成纤维细胞-心室RNAHCF-av miRNA5 μg |
| PVR Others Mouse 小鼠 CD155 / PVR 人细胞裂解液 (阳性对照) | β分泌酶抗体 |
| 小鼠海马趾神经细胞(MH-h)(1×106) | 通道蛋白8α抗体 |
| 大鼠肺成纤维细胞完全培养基 100mL | 琥珀酸细胞色素亚基B560抗体 |
| 人脑瘤细胞;SF763 | 纤维蛋白原β链抗体 |
| CM-R109大鼠脑成纤维细胞完全培养基100mL | 多巴胺受体D5抗体 |
| 小鼠支气管上皮细胞完全培养基 100mL | 视网膜母细胞瘤结合蛋白5抗体 |
| 人前列腺成纤维细胞cDNAHPrF cDNA | 酸化Bcl-10抗体 |
| 大鼠胰腺导管上皮细胞完全培养基 100mL | 粘附相关激酶抗体 |
| Balb/c小鼠骨髓间质干细胞 Balb/c mouse bone marrow mesenchymal stem cells | 叉头相关结构域包含蛋白1抗体 |
| 犬肾细胞;MDCK(NBL-2) | 热休克蛋白27抗体 |
| C6细胞,脑胶质瘤细胞 人肺巨细胞癌细胞,HLAmP细胞 肺大动脉平滑肌细胞Many types of cells包装:5 × 105次方(1ml) | 接触蛋白相关蛋白3抗体 |
| 定制类猪脂肪间充质干细胞NRG1 Protein Human 重组人 NRG1-alpha 蛋白 (EGF Domain, Fc 标签) | 亚铁氧化酶抗体 |
| NCI-H266人非小细胞肺癌细胞 NCI-H266 cells in human non small cell lung cancer 1640+10%FBS | 干扰素epsilon 1蛋白抗体 |
| SK-MEL-1(人皮肤黑色素瘤细胞) 5×106cells/瓶×2 | 突触结合蛋白4抗体 |
干冰运输及复苏好存活细胞
(1)1mL冻存管包装干冰运输,收到后-80度冰箱保存过夜后转入液氮或直接复苏,若发现干冰已挥发干净、冻存管瓶盖脱落、破损及细胞有污染,请立即与我们联系。
(2)T25瓶复苏的存活细胞常温发货,收到后按照细胞接收后的处理方法操作。
风险提示:丁香通仅作为第三方平台,为商家信息发布提供平台空间。用户咨询产品时请注意保护个人信息及财产安全,合理判断,谨慎选购商品,商家和用户对交易行为负责。对于医疗器械类产品,请先查证核实企业经营资质和医疗器械产品注册证情况。
- 作者
- 内容
- 询问日期
文献和实验PromoCell MSC分化培养操作步骤 一、向神经细胞分化的操作流程 1、将塑料培养器用纤维连接蛋白包被根据操作手册,用纤维连接蛋白(C-43050)包被合适的组织培养瓶。使用浓度为10μg/ml。2、接种间充质干细胞用MSC生长培养基(C-28010)在用纤维连接蛋白包被过的培养瓶中接种培养,接种密度为4000个/cm2。3、培养间充质干细胞将细胞培养至80%的饱和度,每48小时更换一次培养基。4、诱导间充质干细胞用MSCU经细胞分化培养基(C-28015)诱导培养,用MSC
恩泽康泰进军家畜外泌体研究领域——全面解锁猪/牛/羊/鸡外泌体研究
.2 1区)。 d.作为人类疾病模型的研究 动物模型在人类疾病临床医学研究和药物研发中起到关键的作用。大动物尤其是猪,在解剖学和生理学等方面与人类相似,是研究人类疾病发病机理和治疗方法最佳的模式动物之一。除了能够准确模拟人类重大疾病发生发病机理之外,猪在生物医学领域另外一个重要用途就是作为人类异种组织或器官移植的供体动物。猪的消化系统、内分泌系统、心血管系统与人类相似,可用于糖尿病、动脉粥样硬化等代谢性疾病的研究;基于与人类相似的多脑回结构特征,猪可用
(HA)来源的干细胞扩增并分化为脂肪细胞或骨细胞。 间充质干细胞方案 人骨髓间充质干细胞的扩增与分化 人脂肪间充质干细胞(SCC038)可以先在组织培养塑料上扩增,然后接种在TrueGel3D®HTS水凝胶板(TRUE-HTS1,TRUE-HTS10)中。或者,细胞可以解冻并直接接种在TrueGel3D®HTS水凝胶板中。在将细胞接种到TrueGel3D®HTS水凝胶板之前,确保细胞处于高活力状态。 培养基的准备: 2D MSC扩增培养基: 向α-MEM (M4526)中添加10
技术资料暂无技术资料 索取技术资料










