万千商家帮你免费找货
0 人在求购买到急需产品
- 详细信息
- 文献和实验
- 技术资料
- 供应商:
上海联祖
- 库存:
57
- 生长状态:
贴壁生长
- 是否是肿瘤细胞:
否
- 规格:
T25培养瓶
| 产品名称 | 规格 | 货号 |
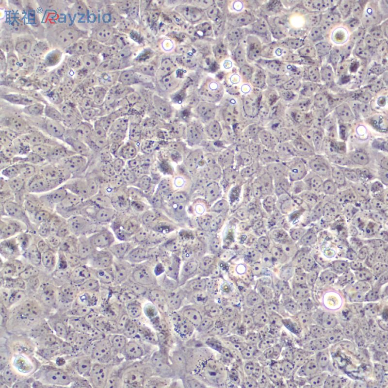
| 小鼠肺血管周细胞 | T25瓶 | LZ-YX9353 |
含量:>1x10^6 细胞数
规格:T25瓶
用途:仅供科研使用。
干冰运输及复苏好存活细胞
(1)1mL冻存管包装干冰运输,收到后-80度冰箱保存过夜后转入液氮或直接复苏,若发现干冰已挥发干净、冻存管瓶盖脱落、破损及细胞有污染,请立即与我们联系。
(2)T25瓶复苏的存活细胞常温发货,收到后按照细胞接收后的处理方法操作。
1) 收到细胞后,75%酒精消毒瓶壁将T25瓶置于37℃培养箱放置约2-3h,若发现培养瓶破损、有液溢出及细胞有污染,请拍照后及时联系我们。
2)请在4或5X显微镜下确认细胞状态,同时给刚收到的细胞拍照(10×,20×)各2-3张以及培养瓶外观照片一张留存,作为售后时收到时细胞状态的依据。
3) 悬浮细胞:T25瓶置于37℃培养箱放置约2-3h,然后抽出瓶中的培养基和细胞1000rpm离心5分钟,弃去上清重悬后接种到新的培养瓶中(加入按照说明书细胞培养条件新配制的完全培养基)。
4)备注:运输用的培养基(灌液培养基)不能再用来培养细胞,请换用按照说明书细胞培养条件新配制的完全培养基来培养细胞。 收到细胞后第一次传代建议T25培养瓶1:2传代 。 一.培养基及培养冻存条件准备:
1) 准备培养基;优质胎牛血清,10%;双抗,1%。备注:该细胞为悬浮并部分聚团生长
2) 培养条件: 气相:空气,95%;二氧化碳,5%。 温度:37摄氏度,培养箱湿度为70%-80%。
3) 冻存液:90%血清,10%DMSO,现用现配。
二. 细胞处理:
1) 冻存细胞的复苏:
将含有1mL细胞悬液的冻存管在37℃水浴中迅速摇晃解冻,加入到含4-6mL完全培养基的离心管中混合均匀。在1000RPM条件下离心3-5min,弃去上清液,完全培养基重悬细胞。然后将细胞悬液加入含6-8ml完全培养基的培养瓶(或皿)中37℃培养过夜。第二天显微镜下观察细胞生长情况和细胞密度。
2) 细胞传代:如果细胞密度达80%-90%,即可进行传代培养。
对于悬浮细胞,传代可参考以下方法:
悬浮状态下生长的细胞,可以通过向培养瓶中添加完全培养基来维持细胞的生长状态,一般情况下细胞密度维持在1×105~1×10^6个/mL(不同细胞对密度要求不同,)可以维持细胞的正常生长。如需分瓶可以将细胞悬液收集到离心管中1000rpm,离心5min,弃去上清,补加1-2mL培养液后重悬混匀后将细胞悬液按1:2的比例分到新T25瓶中,添加6-8ml按照说明书要求配置的新的完全培养基以保持细胞的生长活力,后续传代根据实际情况按1:2~1:5的比例进行。
3) 细胞冻存: 收到细胞后建议在培养前3代时冻存一批细胞种子以备后续实验使用。
下面T25瓶为例;
1. 细胞冻存时按照细胞传代的过程收集消化好的细胞到离心管中,可使用血球计数板计数,来决定细胞的冻存密度。一般细胞的推荐冻存密度为1×10^6~1×107个活细胞/ml.
2. 1000rpm离心3-5min,去掉上清。用配制好的细胞冻存液重悬细胞 ,按每1ml冻存液含1×10^6~1×107个活细胞/ml分配到一个冻存管中将细胞分配到冻存管中,标注好名称、代数、日期等信息。
3. 将要冻存的细胞置于程序降温盒中,-80度冰箱中过夜,之后转入液氮容器中储存。同时记录好冻存管在液氮容器中的位置以便后续查阅和使用。
| P3-NS-1/1-Ag4.1细胞,骨髓瘤细胞 人T细胞白血病细胞,6T-CEM细胞 EB病毒转化的人B淋巴细胞;KM9402 | 人前列腺平滑肌细胞HPSMC |
| 人胚胎气管组织来源细胞;CCC-HBE-2 | 嗜中性粒细胞胞浆因子4抗体 |
| 猕猴皮肤细胞;MMS7 | 泛素交联酶抗体 |
| HBE细胞,人支气管上皮细胞 小鼠饲养层上皮细胞,HPT-8细胞 CL-0170NG108-15(小鼠神经细胞瘤与大鼠神经胶质瘤之融合细胞)5×106cells/瓶×2 | 结合珠蛋白/触珠蛋白抗体 |
| AGRP Others Human 人 AgRP / AGRP 人细胞裂解液 (阳性对照) | 紧密连接蛋白6抗体 |
| 人齿龈成纤维细胞 (HGF)( 5×105 ) | 肺耐药相关蛋白抗体 |
| MCF-7(NEW)细胞,人癌细胞 小鼠杂交瘤细胞,ST2/o细胞 HET-1A, 人食管上皮细胞 | 周期素依赖性激酶6抗体 |
| FABP4 Others Mouse 小鼠 FABP4 / ALBP 人细胞裂解液 (阳性对照) | 生长激素释放因子受体抗体 |
| LILRB3 Others Human 人 LILRB3 / LIR3 / ILT5 / CD85a 人细胞裂解液 (阳性对照) | 醋酸激酶1抗体 |
| ACVR2A Others Human 人 ACVR2 / ACII / ACVR2A 人细胞裂解液 (阳性对照) | 褪黑素受体1B抗体 |
| SDF2 Others Human 人 SDF2 杆状病毒-昆虫细胞裂解液 (阳性对照) | DNA交联修复蛋白1C抗体 |
| CL-0072Daudi(人淋巴瘤细胞)5×106cells/瓶×2 | 谷氨酸受体3抗体 |
| 小鼠肺血管周细胞IFNA4 Others Cynomolgus 食蟹猴 FGFR4 / FGF Receptor 4 人细胞裂解液 (阳性对照) | 血型抗原前体蛋白抗体 |
| 动物星形胶质细胞培养基AM-a | c |
| HA Others H1N1 甲型流感 H1N1 (A/New York/18/2009) 血凝素HA1 (Hemagglutinin) 人细胞裂解液 (阳性对照) | 癌胚抗原相关细胞粘附分子19抗体 |
风险提示:丁香通仅作为第三方平台,为商家信息发布提供平台空间。用户咨询产品时请注意保护个人信息及财产安全,合理判断,谨慎选购商品,商家和用户对交易行为负责。对于医疗器械类产品,请先查证核实企业经营资质和医疗器械产品注册证情况。
文献和实验Cell Death Differ:中大五院黄曦团队发现新冠病毒引起肺损伤的分子机制
上皮细胞线粒体凋亡,并导致肺水肿的发生。 图片来源:Cell death & differentiation 病毒相关蛋白与细胞蛋白相互作用影响细胞凋亡过程。作者首先分别将携带刺突蛋白(Spike protein, S 蛋白),核衣壳蛋白(Nucleocapsid, N 蛋白),膜蛋白(Membrane protein, M 蛋白)和包膜蛋白(Envelope protein,E 蛋白)真核表达质粒载体分别转染人肺上皮 H292 细胞和人血管内皮 EA.hy926 细胞,通过荧光分光光度法检测胞内活化
的[5],但细胞得率均较低,而近些年来国外大多数方法采用以大脑皮质为材料、酶消化及梯度离心分离脑微血管段并进行原代培养[6~9,11,12]。由于原代培养中无法避免地混杂成纤维细胞、周细胞、平滑肌细胞、星型胶质细胞等其他细胞的生长,而且工作量大、过程繁琐且费用高[1],进行较纯的大鼠脑微血管内皮细胞原代培养一直是国内外的一个难点。 本人参照文献[6]、[7]、[8]的方法,成功地摸索出大鼠脑微血管内皮细胞分离和原代培养的方法,并获得纯度较高的脑微血管内皮细胞。 1.材料与方法 1.1 实验动物 每次
「少吃」真的可以帮助杀死癌细胞!模拟禁食可重塑机体免疫,提高癌症免疫治疗的效果
FMD 联合免疫治疗是否也影响肿瘤血管新生,他们分析了治疗期间的肿瘤血管情况。与标准饮食组相比,FMD 组中肿瘤内皮细胞和周细胞的数量降低,但周细胞定位没有受损。在标准饮食组,内皮细胞更细长,形成致密的血管网;相反,在 FMD 组中,内皮细胞看起来不成熟且分支不良。这提示 FMD 通过减少胶原蛋白积累和重塑肿瘤血管网络,进而促进免疫细胞的浸润。 图片来源:Cell Reports 禁食模拟饮食可降低与免疫治疗相关的过敏反应风险 由于某些患者容易出现严重不良反应,因此限制了免疫治疗的应用
技术资料暂无技术资料 索取技术资料










