相关产品推荐更多 >
万千商家帮你免费找货
0 人在求购买到急需产品
- 详细信息
- 文献和实验
- 技术资料
- 供应商:
翌圣生物科技(上海)股份有限公司
- 库存:
大量
- 靶点:
CD antigen CD284
- 级别:
生物试剂级别
- 目录编号:
O00206
- 克隆性:
多克隆
- 保质期:
有效期1年
- 抗体英文名:
TLR4 Rabbit pAb
- 抗体名:
TLR4兔多克隆抗体
- 宿主:
Rabbi
- 适应物种:
Human
- 免疫原:
A synthetic peptide of human TLR4 (NP_612564.1).
- 亚型:
IgG
- 形态:
液体
- 应用范围:
WB/IHC/IF
- 保存条件:
-20℃保存
- 浓度:
WB: 1/500-1/1000;IHC: 1/50-1/100;IF: 1/50-1/200
- 规格:
50 µL(31080ES50)/100 µL(31080ES60)
| 规格: | 50 µL(31080ES50) | 产品价格: | ¥1750.00 |
|---|---|---|---|
| 规格: | 100 µL(31080ES60) | 产品价格: | ¥2685.00 |
产品性质
| 别名 | TLR4; Toll-like receptor 4; hToll; CD antigen CD284 |
| SwissProt ID | O00206 |
| 基因ID | 7099 |
| 免疫原 | A synthetic peptide of human TLR4 (NP_612564.1). |
| 缓冲液 | 50mM Tris-Glycine(pH 7.4), 0.15M NaCl, 40% Glycerol, 0.01% Sodium azide and 0.05% BSA |
| 分子量 | Calculated MW: 96 kDa; Observed MW: 130 kDa |
| 克隆类型 | Polyclonal Antibody |
| 亚型 | IgG |
| 宿主 | Rabbit |
| 物种反应 | Human |
| 推荐应用 | WB,IHC-P,ICC/IF |
| 纯化方式 | Affinity Chromatography |
| 细胞定位 | 细胞膜,单通路I型膜蛋白 |
| 研究领域 | 免疫学与炎症 |
运输与保存方法冰袋运输,-20 ℃保存,1年有效期。
注意事项
- 避免反复冻融。
- 为了您的安全和健康,请穿实验服并戴一次性手套操作。
- 本产品仅作科研用途!
| Western blot | |
![]() |
Western blot analysis of Toll-Like Receptor 4 in A549 lysates using TLR4 antibody. |
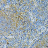
| IHC | |
![]() |
IHC analysis of paraffin embedded mouse spleen using TLR4 antibody.High-pressure and temperature Sodium Citrate pH 6.0 was used for antigen retrieval. |
| IF | |
![]() |
IF analysis of Toll-Like Receptor 4 in HeLa cells using TLR4 antibody, and DAPI(blue). |
翌圣生物产品售后保障范围仅限官网产品详情页中“推荐应用”一栏写明的实验应用,请参照上方的缩写含义,仔细对照后选择合适的产品。
风险提示:丁香通仅作为第三方平台,为商家信息发布提供平台空间。用户咨询产品时请注意保护个人信息及财产安全,合理判断,谨慎选购商品,商家和用户对交易行为负责。对于医疗器械类产品,请先查证核实企业经营资质和医疗器械产品注册证情况。
文献和实验Teratology Studies in the Rabbit
The rabbit is generally the non-rodent species or second species after the rat recommended by the regulatory authorities and is part of the package of regulatory reproductive studies for the detection of potential embryotoxic
Although the rabbit is used extensively in developmental toxicity testing, relatively little is known about the fundamental developmental biology of this species let alone mechanisms underlying developmental toxicity. This paucity
Generation of Rabbit Immune Libraries
gene that is preferentially used, and the diversity of the antibody repertoire being mainly generated by gene conversion and hypermutation, which facilitates the molecular cloning of the rabbit immune repertoire. In this chapter, the general strategy















