相关产品推荐更多 >
万千商家帮你免费找货
0 人在求购买到急需产品
- 详细信息
- 文献和实验
- 技术资料
- 保存条件:
RT/2-8℃/-20℃
- 保质期:
3年
- 英文名:
Enterokinasefrombovineintestine
- 库存:
999
- 供应商:
北京康瑞纳生物科技有限公司
- CAS号:
9014-74-8
- 规格:
100u
重组牛肠激酶 CAS:9014-74-8 EC:3.4.21.9 重组牛肠激酶 CAS:9014-74-8 EC:3.4.21.9
产品名称:重组牛肠激酶
产品编号:A1921
英文别称 Enterokinase from bovine intestine
分子量 25850Da
储存条件 -20℃
有效期 3年
酶活/效价 10U/ul
性状 液体
包装 瓶
规格 100U
重组肠激酶|产品简介
酶切位点:肠激酶可以切割含有四个天冬氨酸的赖氨酸羧基端肽键:天冬氨酸 - 天冬氨酸 - 天冬氨酸 - 天冬氨酸 - 赖氨酸(DDDDK)。
氨基酸序列:重组牛肠激酶是一种高纯度的重组牛肠激酶轻链片段,氨基酸序列与牛肠激酶轻链一致。
酶学性质:肠激酶可去除位于蛋白质N-末端的融合蛋白,以除去不需要的融合标签。
基本特性:该酶经HPLC纯化,纯度高,特异性高,不含其他蛋白酶,可以在较宽pH范围(4.5-9.5)和较宽温度范围内有效切割融合蛋白。
【重组肠激酶|产品特性】
| 来源 |
重组大肠杆菌 |
| 产品外观 |
澄清、无色至淡黄色液体 |
| 活性 |
≥ 5.0 U/µl |
| 纯度(蛋白电泳) |
单一主条带 |
| 分子量(蛋白电泳) |
25.8 ±2.6kDa |
备注:1U定义为在25℃,12h~16h之内,将0.5mg保存于25mM Tris-HCl 8.0 缓冲液中的融合蛋白切割95%所需的酶量。
【重组肠激酶|使用方法】
25℃酶切条件:
反应体系:

反应条件:25℃过夜酶切,或完全酶切需16-24h,用SDS-PAGE检测酶切效果。
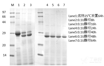
结果验证:使用0.1 U本品酶切50 ug融合蛋白底物,反应温度是25℃,酶切不同时间梯度(8 h,16 h,24 h,40 h,48 h,64 h)

4℃低温酶切条件:4℃能对底物进行有效酶切,但需要将酶切时间延长至 48-64h,或增加 2-3 倍酶量。
酶切结果验证:使用0.1 U本品酶切50 ug融合蛋白底物,反应温度是4℃,酶切不同时间梯度(8 h,16 h,24 h,40 h,48 h,64 h)

酶切优化和放大:
优化:可以对酶切条件进行优化,例如缓冲液 pH,融合蛋白浓度,EK的量,以及酶切时间,使融合蛋白能在稳定条件下被酶切,用 SDS-PAGE 检测酶切效果。
放大:选择优化后的反应条件,按该条件等比例放大,用 SDS-PAGE 检测酶切效果。
去除重组肠激酶的方法:使用胰蛋白酶抑制剂亲和层析(例如 sigma T0637)去除重组肠激酶。
重组肠激酶|储存运输
储存稳定性:-20℃下,12个月稳定;25℃,一周内,无活性损失。缓冲体系:50mM Tris-HCl,pH8.0,250 mM NaCl,2 mM Ca 2+,50%甘油。反复冻融5次,无活性损失。
运输稳定性:蓝冰保温运输,活性稳定。
重组肠激酶|产品优势
特异性:特定的蛋白酶,切割前面含有四个天冬氨酸的赖氨酸羧基端位点:天冬氨酸-天冬氨酸-天冬氨酸-天冬氨酸-赖氨酸(DDDDK)。
无动物源性:重组生产,无外源性的病毒污染,生产过程不使用任何动物源原料。
质量稳定:批量生产,可保证稳定连续的批次生产;产品批次间无差异,质量稳定。
纯度高:不含其他蛋白酶,无非特异性切割。
【重组肠激酶|注意事项】
酶切温度:不建议37℃条件下酶切,可能会有非特异性酶切出现。
酶切条件:在>200mM 咪唑,或>200mMNaCl,或>5%甘油条件下,酶切效果受影响,可参照以下推荐方法进行酶切:
推荐方法:为获得理想酶切结果,请将样品透析到25mM Tris-HCl 8.0缓冲液中,再进行酶切。若不便透析,可将样品稀释到咪唑含量在100mM以下,NaCl浓度在50mM以下,甘油浓度小于5%以下进行酶切,酶的用量与蛋白的比例不变(即1U酶切500µg蛋白)。
如果样品溶液中含有上述成分中的一种或多种,且不便去除,此时适当增加酶量或延长酶切时间,也可达到较好酶切效果。
磷酸盐的影响:磷酸盐对Enterokinase有很强的抑制作用,痕量的磷酸盐都会严重影响Enterokinase的活性,因此在酶切体系内不能存在磷酸盐。
去除肠激酶:本品是具有高酶活力重组肠激酶,切割蛋白使用量少,可不考虑除去。后续如需去除重组肠激酶,可用阴离子交换树脂(eg.DEAE-FF)对其进行洗脱。推荐洗脱条件如下:
平衡缓冲液:25 mM Tris-HCl pH 8.0
洗脱缓冲液:25 mM Tris-HCl pH 8.0,含100 mM NaCl
酶切效果:蛋白酶切效果不好,可适当增加酶量,或适当延长酶切时间。
【重组肠激酶|相关产品】
重组羧肽酶B;序列分析纯胰蛋白酶;重组人胰蛋白酶;重组抑肽酶。
★订购流程
定购方式:
1、确认产品后可直接和我们在线联系确认您购买的产品。
2、可以把您需要购买的产品确认好以邮件的形式发给我们,这样您会在第一时间安排工作人员与您取得联系:给您回复确认的邮件,或者是电话。
邮寄产品:
现货,一般当天定购,24小时内由仓库统一出货
定制期货,出货前由专人通知,仓库备货,依其产品性能,路途等选择进行包装邮寄客户如有特别要求,可与销售人员提前沟通
质量保证与免责声明:
1、我们保证向用户提供完全合格的产品。如您认为产品确实存在质量问题,请在收到产品7天内提出,否则将不予受理或赔偿。同时产品赔偿只限于产品价值本身,不涉及其他任何损失。我们承诺随时为您提供专业的技术指导。
2、如发现产品有任何缺漏或破损,请在收到产品后2个工作日内通知我们。
3、产品使用方法: 详询客服







更多产品请详询客服
风险提示:丁香通仅作为第三方平台,为商家信息发布提供平台空间。用户咨询产品时请注意保护个人信息及财产安全,合理判断,谨慎选购商品,商家和用户对交易行为负责。对于医疗器械类产品,请先查证核实企业经营资质和医疗器械产品注册证情况。
文献和实验Ren L, Liu J, Liu C, Yang T, Wu X, Zhang X, Yang L, Xia J, Li W. AIn Vitro Cell(RAW264.7 cells;100 ng/mL LPS,24 h at 37 °C) RAW264.7 cells were seeded in confocal dishes at a density of 1 × 105 cells per dish. After the culture of 24 h, cells were treated with 100 ng/mL LPS in different media, including a control medium, PACDFe extract, and PACDFe hydrogel extract supplemented with 1 μM LL-37 for another 24 h at 1722 °C. 更多文献信息请详询客服
CD74 分子 CD74 常用单克隆抗体或代号: LN2,BU- 43;(li,lg ) 主要表达细胞: B,Msub [B] 分子质量(kDa)和结构: gp41/35/33,Ⅱ类相关恒定链(li链) 功 能: 与新合成MHCⅡ类分子结合,防止MHC结合内源肽 CD74 Gamma chain antigen associated with MHC class II antigen
[ 实验目的 ] 通过本实验学习 PCR 反应的基本原理与实验技术。 通过本实验学习重组质粒的检测技术。 [ 基本原理 ] 聚合酶链反应( polymerase chain reaction , PCR )是体外酶促合成特异 DNA 片段的一种技术。在待扩增的 DNA 片段两侧和与其两侧互补的两个寡核苷酸引物,经变性、退火和延伸若干个循环后, DNA 扩增 2 n 倍。 PCR 进行的基本条件是: ( 1 )以 DNA 为模板(在 RT - PCR 中模板是 RNA ); ( 2 )以寡核苷酸
遗传重组 genetic recombination 指分别来自两个亲本的基因连锁群间所产生的交换,形成两个亲本所没有的连锁群组合,产生具有重组性状的后代(重组体)的现象。因为真核生物是具有二套或二套以上的同源染色体的倍数体,所以一般在减数分裂形成生殖细胞时同源染色体之间会发生交叉从而出现重组;现在已知霉菌等在体细胞中也会发生重组。因为原核生物(病毒和细菌)是以单一的核酸为基因组的单倍体,因此如果进行杂交,两个亲本 DNA分子之间就会直接发生交换而形成重组体。不管哪一种情况






![153374-33-5 1-甲基-1H-吡.咯并[3,2-b]吡.啶](https://img1.dxycdn.com/p/s14/2023/1116/150/2760015720386805271.png!wh200)




