相关产品推荐更多 >
万千商家帮你免费找货
0 人在求购买到急需产品
- 详细信息
- 文献和实验
- 技术资料
- 形态:
Liquit
- 保存条件:
-20℃
- 克隆性:
单克隆
- 适应物种:
Human,(predicted:Mouse,Rat,)
- 保质期:
1年
- 抗原来源:
peptiede
- 目录编号:
TDCHM-0110
- 级别:
科研级
- 库存:
88
- 供应商:
武汉天德
- 宿主:
鼠
- 浓度:
1mg/ml
- 抗体英文名:
Mesothelial CEll(HBME-1 )
- 抗体名:
Mesothelial CEll(HBME-1 )
- 规格:
1ml工作液

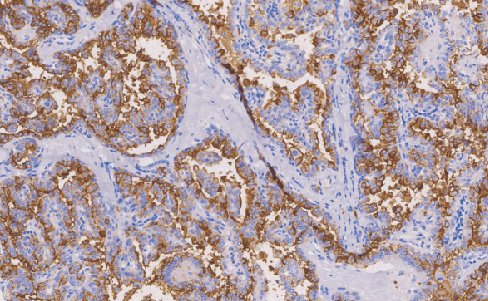
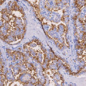
Mesothelialcell(HBME-1)鼠抗人间皮细胞单克隆抗体
间皮细胞抗原主要分布于间皮细胞,而在其他腺上皮中无表达。主要用于良恶性间皮瘤的诊断。该抗体在恶性间皮瘤中的阳性部位多为细胞膜,而在其他腺癌中多为胞质阳性,诊断时需注意鉴别。
- 货号:TDCHM-0110
- 克隆号:HBME-1
- 阳性部位:胞质,胞膜
- 适用组织:石蜡切片 /冰冻切片
- 预处理:热修复
风险提示:丁香通仅作为第三方平台,为商家信息发布提供平台空间。用户咨询产品时请注意保护个人信息及财产安全,合理判断,谨慎选购商品,商家和用户对交易行为负责。对于医疗器械类产品,请先查证核实企业经营资质和医疗器械产品注册证情况。
文献和实验该产品被引用文献
抗体使用小技巧_技术资料_丁香通 (biomart.cn)
技术资料暂无技术资料 索取技术资料
文献支持
鼠抗人间皮细胞单克隆抗体 TDCHM-0110
询价









