相关产品推荐更多 >
万千商家帮你免费找货
0 人在求购买到急需产品
- 详细信息
- 文献和实验
- 技术资料
- 形态:
Liquit
- 保存条件:
-20℃
- 克隆性:
单克隆
- 适应物种:
Human,(predicted:Mouse,Rat,)
- 保质期:
1年
- 抗原来源:
peptiede
- 目录编号:
TDCSR-0110
- 级别:
科研级
- 库存:
88
- 供应商:
武汉天德
- 宿主:
兔
- 浓度:
1mg/ml
- 抗体英文名:
S-100A1
- 抗体名:
S-100A1
- 规格:
1ml工作液

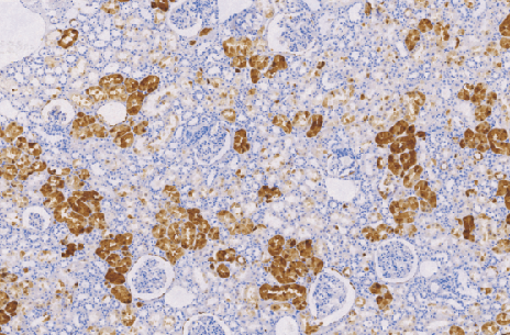
S-100A1兔抗人S100A1单克隆抗体
S100A1广泛分布于身体内组织中,如心脏、骨骼肌、脑、肾、脾脏、子宫等,高表达于心肌组织中,作为急性心肌梗死的诊断性标志。S100A1在肾细胞肿瘤尤其是肾嫌色细胞癌及嗜酸细胞瘤的鉴别诊断中起重要作用。
- 货号:TDCSR-0110
- 克隆号:EP184
- 阳性部位:胞质,胞核
- 适用组织:石蜡切片
- 预处理:热修复
风险提示:丁香通仅作为第三方平台,为商家信息发布提供平台空间。用户咨询产品时请注意保护个人信息及财产安全,合理判断,谨慎选购商品,商家和用户对交易行为负责。对于医疗器械类产品,请先查证核实企业经营资质和医疗器械产品注册证情况。
文献和实验抗体使用小技巧_技术资料_丁香通 (biomart.cn)
SSD带电电荷衰减度测定器 STATIC HONESTMETER H-0110
SSD带电电荷衰减度测定器STATIC HONESTMETER H-0110 产品说明: 塑料.合成纤维等当中,范围广泛,膨大的种类.多数的高分子物质等一直被使用着。由于这些素材是绝缘物,因此容易引起静电的产生.带电,而成为各式各样阻碍的原因。为此,测定素材的静电特性拟定对策便为重要课题 STATIC HONESTMETER为适合检查素材之静电扩散性的静电衰减测定器。 对试料照射因电晕(corona)放电产生之空气离子使之带电,停止空气
tissue,human testis tissue,human brain tissue IF:Hela,HepG2 另外有 HRP、FITC、Bintin 标记的多抗对应货号分别为: CSB-PA07179B0Rb、CSB-PA07179C0Rb、CSB-PA07179D0Rb 兔抗人淀粉样肽 beta A4 蛋白单克隆抗体 货号:CSB-MA0019501A0m 识别
一、实验原理 将抗C5a单克隆抗体包被固相聚苯乙烯板,加入经聚乙二醇(PEG)处理的待测样本,然后依次加入兔抗人C5a-IgC多克隆抗体和过氧化物酶标记的猪抗兔IsC,再加入底物2,2’-连氮-双(3-乙基苯骈唑啉-6-磺酸盐)(ABTS)和H2O2显色,于酶标仪405 mn处测定每分钟光密度增加量(OD/min),以OD/min为纵坐标,C5a标准晶浓度为横坐标绘制标准曲线图,求出待测样本中C5a的含量。 二、实验试剂 1. PBSPH7.2
技术资料暂无技术资料 索取技术资料










