相关产品推荐更多 >
万千商家帮你免费找货
0 人在求购买到急需产品
- 详细信息
- 文献和实验
- 技术资料
- 形态:
Liquit
- 保存条件:
-20℃
- 克隆性:
单克隆
- 适应物种:
Human,(predicted:Mouse,Rat,)
- 保质期:
1年
- 抗原来源:
peptiede
- 目录编号:
TDCCR-0181
- 级别:
科研级
- 库存:
88
- 供应商:
武汉天德
- 宿主:
兔
- 浓度:
1mg/ml
- 抗体英文名:
CAdherin-17
- 抗体名:
CAdherin-17
- 规格:
1ml工作液

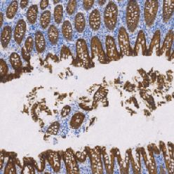
Cadherin-17兔抗人钙粘附蛋白17单克隆抗体
Cadherin-17是钙粘蛋白家族的一部分,是一种钙依赖性的膜相关糖蛋白。它在肝脏和肠道的组织形态中起着重要的作用。在正常组织中,Cadherin-17表达于胃肠道和胰腺导管的上皮细胞,但在肾脏、肝脏和其他一些组织中不表达。在肿瘤组织中,Cadherin17在消化系统的恶性肿瘤和肝癌中阳性表达。在胃肠道上皮化生和高度分化的腺癌的鉴定中,此抗体是个高度敏感的标志物。
- 货号:TDCCR-0181
- 克隆号:EP86
- 阳性部位:胞质
- 适用组织:石蜡切片/冰冻切片
- 预处理:热修复
风险提示:丁香通仅作为第三方平台,为商家信息发布提供平台空间。用户咨询产品时请注意保护个人信息及财产安全,合理判断,谨慎选购商品,商家和用户对交易行为负责。对于医疗器械类产品,请先查证核实企业经营资质和医疗器械产品注册证情况。
文献和实验抗体使用小技巧_技术资料_丁香通 (biomart.cn)
形成了不同流层的速度梯度,就是由于这种速度梯度的存在产生了对血小板两个侧面不同的作用力,形成了剪切作用。许多研究的结果支持剪切应力可以直接活化血小板。Moake研究指出:在给予180dynes/cm2的病理性剪切应力0.5和5.0min后,如果有大的von Willebrand因子(vWF)多聚体存在,就出现血小板聚集,而这种聚集不需要其他外源性激活剂。血小板膜糖蛋白Ib/IX(GpIb/IX)和IIb/IIIa(GpIIb/IIIa)的单克隆抗体可以抑制这种聚集。缺乏纤维蛋白原时,则没有
胶体金免疫层析诊断技术是根据免疫反应原理、利用大孔径微孔滤膜为载体、以胶体金做为固相标记物,来定性、半定量或定量检测样本中待测物质含量的一种侧流快速免疫分析技术。它是20世纪九十年代以来在单克隆抗体技术、免疫层析技术及胶体金显色技术基础上发展起来的一项新型体外诊断技术。近年来发展迅速,目前已经在农业、畜牧业、环境检测、尤其是在医学检验中得到了广泛应用。 XXXXXXXX公司是专业提供胶体金免疫层析诊断试剂产品生产技术转让和相关技术咨询服务的机构。我公司提供的生产技术转让包含激素类、感染
光色素与免疫球蛋白分子的比值)应该相同为最佳,这对准确设定阴性与阳性细胞的界标有重要意义,切忌使用与MoAb不相匹配的同型对照,最好为同一实验室、采用相同工艺或方法制备(如同一品牌)的产品。 3、流式细胞技术测定细胞内游离钙浓度为何要使用氯化钙.在文献及其他专业网站中都有测定游离钙的方法,具体如下: (1) 钙荧光探针负载; (2)随机测定每管细胞悬液样品(以下简称样品)的单个细胞的荧光强度,记为F值。 (3)加入10%Triton X 100,(破膜用);加入1 mmol/L氯
技术资料暂无技术资料 索取技术资料










