相关产品推荐更多 >
万千商家帮你免费找货
0 人在求购买到急需产品
- 详细信息
- 文献和实验
- 技术资料
- 免疫原:
Recombinant full-length human IGHA1 and IGHA2 proteins
- 亚型:
IgG
- 形态:
Liquid
- 保存条件:
Store as concentrated solution. Centrifuge briefly prior to opening vial. For short-term storage (1-2 weeks), store at 4ºC. For long-term storage, aliquot and store at -20ºC or below. Avoid multiple freeze-thaw cycles.
- 克隆性:
Monoclonal
- 标记物:
Unconjugated
- 保质期:
12 months from the shipping date of the product.
- 抗原来源:
Human
- 目录编号:
GTX04490
- 级别:
Secondary antibodies
- 库存:
Available
- 供应商:
GeneTex
- 宿主:
Rabbit
- 应用范围:
IHC-P
- 浓度:
0.2 mg/ml (Please refer to the vial label for the specific concentration.)
- 抗体英文名:
Rabbit anti-human IgA antibody [MSVA-700R] HistoMAX
- 抗体名:
Rabbit anti-human IgA 抗体 [MSVA-700R] HistoMAX
- 规格:
500 μl
IHC-P analysis of human squamous cell carcinoma tissue section using GTX04490 Rabbit anti-human IgA antibody [MSVA-700R] HistoMAX.
Squamous cell carcinoma containing many Human IgA positive plasma cells in its stroma.
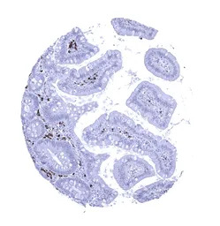
IHC-P analysis of human duodenum mucosa tissue section using GTX04490 Rabbit anti-human IgA antibody [MSVA-700R] HistoMAX.
Human IgA positive plasma cells are abundant in the duodenum mucosa.
IHC-P analysis of human tonsil tissue section using GTX04490 Rabbit anti-human IgA antibody [MSVA-700R] HistoMAX.
Human IgA positive plasma cells are numerous in the tonsil.
风险提示:丁香通仅作为第三方平台,为商家信息发布提供平台空间。用户咨询产品时请注意保护个人信息及财产安全,合理判断,谨慎选购商品,商家和用户对交易行为负责。对于医疗器械类产品,请先查证核实企业经营资质和医疗器械产品注册证情况。
文献和实验Immunofluorescence: Rabbit Anti-Murine RELMα
for 25 minutes. 3. Incubate the tissue section with blocking buffer for 20 minutes. 4. Incubate the tissue section overnight at 4?C with Rabbit Anti-Murine RELMα at 4.0 ng/mL in 1X PBS with 0.01% Triton-X and 0.5% BSA. Wash the slide
Generation and Selection of Rabbit Antibody Libraries by Phage Display
The rabbit antibody repertoire is an exceptional source for both polyclonal antibodies (pAbs) and monoclonal antibodies (mAbs) that combine high specificity with high avidity and affinity, respectively. In contrast to rabbit pAbs
Testing Rabbit Bleeds By Elisa
at 1/10 (50 ul/well). Remove primary antibody and rinse wells 4Xs with TBST. Incubate in secondary antibody (1/5000 Goat anti-rabbit conjugated to AP) diluted in Blocking Buffer for 1 hr at RT (50 ul/well). Remove secondary antibody
技术资料暂无技术资料 索取技术资料









