相关产品推荐更多 >
万千商家帮你免费找货
0 人在求购买到急需产品
- 详细信息
- 文献和实验
- 技术资料
- 免疫原:
Recombinant fragment (around aa1-88) of human TFF1protein
- 亚型:
IgG2a
- 形态:
Liquid
- 保存条件:
Store as concentrated solution. Centrifuge briefly prior to opening vial. For short-term storage (1-2 weeks), store at 4ºC. For long-term storage, aliquot and store at -20ºC or below. Avoid multiple freeze-thaw cycles.
- 克隆性:
Monoclonal
- 标记物:
Unconjugated
- 保质期:
12 months from the shipping date of the product.
- 抗原来源:
Human
- 目录编号:
GTX04488
- 级别:
Primary Antibodies
- 库存:
Available
- 供应商:
GeneTex
- 宿主:
Mouse
- 应用范围:
IHC-P
- 浓度:
0.2 mg/ml (Please refer to the vial label for the specific concentration.)
- 抗体英文名:
TFF1 antibody [MSVA-482M] HistoMAX
- 抗体名:
TFF1 抗体 [MSVA-482M] HistoMAX
- 规格:
500 μl
IHC-P analysis of human stomach tissue section using GTX04488 TFF1 antibody [MSVA-482M] HistoMAX.
Surface epithelial cells of the stomach showing an intense cytoplasmic TFF1 staining.
IHC-P analysis of human pancreatic ductal adenocarcinoma tissue section using GTX04488 TFF1 antibody [MSVA-482M] HistoMAX.
Ductal adenocarcinoma of the pancreas with strong TFF1 staining of all tumor cells.
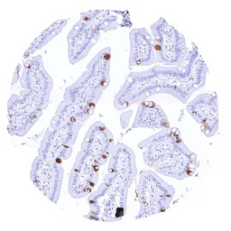
IHC-P analysis of human duodenum mucosa tissue section using GTX04488 TFF1 antibody [MSVA-482M] HistoMAX.
Duodenal mucosa with a moderate to strong TFF1 positivity of selected goblet cells.
风险提示:丁香通仅作为第三方平台,为商家信息发布提供平台空间。用户咨询产品时请注意保护个人信息及财产安全,合理判断,谨慎选购商品,商家和用户对交易行为负责。对于医疗器械类产品,请先查证核实企业经营资质和医疗器械产品注册证情况。
文献和实验Overview of Protein Microarrays
, M., and Snyder, M. 2004. Regulation of gene expression by a metabolic enzyme. Science 306:482‐484. Ho, S.‐W., Jona, G., Chen, C.T.L., Johnston, M., and Snyder, M. 2006
Phenotypic Analysis of BAT versus WAT Differentiation
Tseng, Y.H., Cypess, A.M., and Kahn, C.R. 2010. Cellular bioenergetics as a target for obesity therapy. Nat. Rev. Drug Discov. 9:465‐482.
4) was added. The obtained mixture was centrifuged at 19000×g for 10 minutes at 4ºC. The obtained supernatant (300 μl) was neutralised with 2 M KOH solution and centrifuged at 19000×g for 10 minutes at 4ºC. HPLC separation of purine nucleotides
技术资料暂无技术资料 索取技术资料










