相关产品推荐更多 >
万千商家帮你免费找货
0 人在求购买到急需产品
- 详细信息
- 文献和实验
- 技术资料
- 供应商:
北京云肽生物科技有限公司
- 库存:
99
我们北京云肽生物科技有限公司作为 中杉金桥 公司的特约经销商为客户提供,正规进口,保证原装正品,货期稳定,折扣好的服务标准。
北京中杉金桥生物技术有限公司建有专业的免疫组化实验室、分子病理实验室,2016年成为中国医学装备协会病理装备分会 shou jia 认证的免疫组化专项培训基地和分子病理培训基地。长期以来,公司积极参加病理行业协(学)会、认真落实行业政策,成为具有行业责任感和社会责任感的企业。公司获得中国医疗器械行业协会病理专业委员会、中国医学装备协会病理装备分会和北京肿瘤病理精准诊断研究会常务理事会员单位。
未来,我们将继续弘扬“立德、敬业”的企业精神,以高度的社会责任感和使命感,开拓创新、锐意进取。坚持以科学发展观为指导,以解决客户需求为目标,全心全意为用户提供 zui you 质的产品和服务。
中杉金桥 ZA-0446 IgA抗体试剂(免疫组织化学),产品简介
产品品牌:中杉金桥
产品货号:ZA-0446
产品名称:IgA抗体试剂(免疫组织化学)
产品规格:1.5ml
中杉金桥 ZA-0446 IgA抗体试剂(免疫组织化学),产品说明:
分类:常用抗体
子分类:常用抗体
克隆号:兔多克隆
推荐效价:原液使用前应稀释(稀释比例请参见产品标签);工作液不必稀释,直接滴加使用。
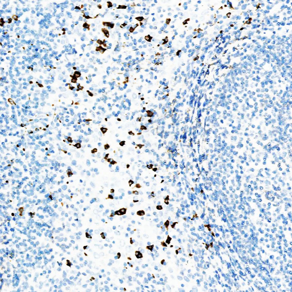
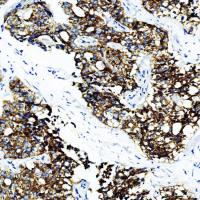
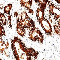
应用:此抗体可以与免疫球蛋白IgA的α链反应。免疫球蛋白A(IgA)在粘膜免疫中起关键作用。它存在于粘膜分泌物如泪液、唾液、初乳、肠液、阴道液、前列腺和呼吸道上皮细胞的分泌物中,并构成了粘膜表面的第一道防线。用于多发性骨髓瘤、淋巴瘤、浆细胞瘤、B细胞来源的霍奇金淋巴瘤和肾小球肾炎的研究。
阳性部位:细胞质
阳性对照:扁桃体
Symbol:IgA
产品订购信息:
ZA-0446 中杉金桥 IgA抗体试剂(免疫组织化学) 1.5ml
风险提示:丁香通仅作为第三方平台,为商家信息发布提供平台空间。用户咨询产品时请注意保护个人信息及财产安全,合理判断,谨慎选购商品,商家和用户对交易行为负责。对于医疗器械类产品,请先查证核实企业经营资质和医疗器械产品注册证情况。
文献和实验一、实验原理与意义免疫组织化学又称免疫细胞化学,是指带显色剂标记的特异性抗体在组织细胞原位通过抗原抗体反应和组织化学的呈色反应,对相应抗原进行定性、定位、定量测定的一项新技术。SP(streptavidin-perosidase)法,即链霉菌亲和素-过氧化物酶法,按染色步骤可分为直接法(又称一步法)和间接法(二步、三步或多步法);按结合方式可分为抗原-抗体结合,如过氧化物酶-抗过氧化物酶(PAP)法和亲和连接,如卵白素-生物素-过氧化物酶复合物(ABC)法、链霉菌亲和素-过氧化物酶(SP)法
和含量进行组织和细胞原位定性、定位或定量研究,这种技术称为免疫组织化学(immunohistochemistry)技术或免疫细胞化学(immunocytochemistry)技术。 2. 原理 根据抗原抗体反应和化学显色原理,组织切片或细胞标本中的抗原先和一抗结合,再利用一抗与标记生物素、荧光素等的二抗进行反应,前者再用标记辣根过氧化物酶(HRP)或碱性磷酸酶(AKP)等的抗生物素(如链霉亲和素等)结合,最后通过呈色反应或荧光来显示细胞或组织中化学成分,在光学
、细胞间隙增大时迅速翻转培养瓶使细胞脱离消化液,吸弃消化液,加入含胎牛血清培养液3~4ml终止消化并反复吹打瓶壁细胞使细胞脱壁,分散为单细胞悬液。将细胞悬液一分为二接种到新的培养瓶中,补足培养液(每瓶3~4ml)。未消失的组织块会随细胞换液、传代而除去。1.3 培养细胞的鉴定1.3.1 形态学 用相差显微镜常规观察细胞生长形态及生长规律,并依常规制作电镜标本进行观察。1.3.2 免疫组织化学鉴定 特异性鼠抗人α-平滑肌肌动蛋白单克隆抗体(福建迈新生物技术公司),采用SP法对细胞爬片进行免疫组织化学
技术资料暂无技术资料 索取技术资料










