相关产品推荐更多 >
万千商家帮你免费找货
0 人在求购买到急需产品
- 详细信息
- 文献和实验
- 技术资料
- 供应商:
北京云肽生物科技有限公司
- 库存:
99
中杉金桥 ZA-0630 钙黏附蛋白17Cadherin抗体试剂(免疫组织化学)
我们北京云肽生物科技有限公司作为 中杉金桥 公司的特约经销商为客户提供,正规进口,保证原装正品,货期稳定,折扣好的服务标准。
北京中杉金桥生物技术有限公司建有专业的免疫组化实验室、分子病理实验室,2016年成为中国医学装备协会病理装备分会 shou jia 认证的免疫组化专项培训基地和分子病理培训基地。长期以来,公司积极参加病理行业协(学)会、认真落实行业政策,成为具有行业责任感和社会责任感的企业。公司获得中国医疗器械行业协会病理专业委员会、中国医学装备协会病理装备分会和北京肿瘤病理精准诊断研究会常务理事会员单位。
未来,我们将继续弘扬“立德、敬业”的企业精神,以高度的社会责任感和使命感,开拓创新、锐意进取。坚持以科学发展观为指导,以解决客户需求为目标,全心全意为用户提供 zui you 质的产品和服务。
中杉金桥 ZA-0630 钙黏附蛋白17Cadherin抗体试剂(免疫组织化学),产品简介:
产品品牌:中杉金桥
产品货号:ZA-0630
产品名称:钙黏附蛋白
产品规格:0.2ml17Cadherin抗体试剂(免疫组织化学)
中杉金桥 ZA-0630 钙黏附蛋白17Cadherin抗体试剂(免疫组织化学),产品说明:
分类:常用抗体
子分类:常用抗体
克隆号:EP86
Ig分类:兔IgG
推荐效价:原液使用前应稀释(稀释比例请参见产品标签);工作液不必稀释,直接滴加使用。
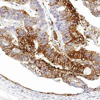
应用:Cadherin17(CDH17)也称肝-肠钙黏蛋白,属于钙粘蛋白超家族,介导细胞间粘附和肠肽转运。正常表达于小肠及大肠上皮细胞(食管及胃阴性)。在后肾性腺瘤阳性率较高,而上皮为主型肾母细胞瘤和实体型乳头状肾癌阴性表达。绝大多数原发性胃肠道腺癌阳性,转移性结肠腺癌中百分之百阳性,因此CDH17可与CDX2联合用于确定结直肠起源腺癌。原发性膀胱腺癌也有较高的阳性率,而伴有腺样分化的尿路上皮癌中为阴性,可用以鉴别。
阳性部位:细胞质/膜
阳性对照:结肠/结肠癌
Symbol:Cadherin17
产品订购信息:
ZA-0630 中杉金桥 钙黏附蛋白17Cadherin抗体试剂(免疫组织化学) 0.2ml
风险提示:丁香通仅作为第三方平台,为商家信息发布提供平台空间。用户咨询产品时请注意保护个人信息及财产安全,合理判断,谨慎选购商品,商家和用户对交易行为负责。对于医疗器械类产品,请先查证核实企业经营资质和医疗器械产品注册证情况。
文献和实验相关实验
、细胞间隙增大时迅速翻转培养瓶使细胞脱离消化液,吸弃消化液,加入含胎牛血清培养液3~4ml终止消化并反复吹打瓶壁细胞使细胞脱壁,分散为单细胞悬液。将细胞悬液一分为二接种到新的培养瓶中,补足培养液(每瓶3~4ml)。未消失的组织块会随细胞换液、传代而除去。1.3 培养细胞的鉴定1.3.1 形态学 用相差显微镜常规观察细胞生长形态及生长规律,并依常规制作电镜标本进行观察。1.3.2 免疫组织化学鉴定 特异性鼠抗人α-平滑肌肌动蛋白单克隆抗体(福建迈新生物技术公司),采用SP法对细胞爬片进行免疫组织化学
技术资料暂无技术资料 索取技术资料
中杉金桥 ZA-0630 钙黏附蛋白17Cadherin抗体试剂(免疫组织化学)
询价










