相关产品推荐更多 >
万千商家帮你免费找货
0 人在求购买到急需产品
- 详细信息
- 文献和实验
- 技术资料
- 免疫原:
Synthetic peptide corresponding to Human Tau (phospho S409). Synthetic peptide (Human) derived from a region of human tau that contains serine 409. The sequence is conserved in mouse and rat.
- 亚型:
lgG
- 形态:
Liquit
- 保存条件:
-20℃
- 克隆性:
多克隆
- 标记物:
详询
- 适应物种:
Mouse, Recombinant fragment
- 保质期:
1年
- 抗原来源:
peptiede
- 目录编号:
TD-ab4861
- 级别:
科研级
- 库存:
88
- 供应商:
武汉天德
- 宿主:
Rabbit
- 应用范围:
IHC-P, WB
- 浓度:
1mg/ml
- 靶点:
详询
- 抗体英文名:
Rabbit polyclonal to Tau (phospho S409)
- 抗体名:
Anti-Tau (phospho S409)
- 规格:
50ul
-
产品名称
Anti-Tau (phospho S409)抗体 -
描述
兔多克隆抗体to Tau (phospho S409) -
宿主
Rabbit -
特异性
Phosphorylation site-specific antibody selective for the phosphorylated form of human tau containing a phosphate on serine 409.
The specificity of this antibody refers to P10636-8.
-
经测试应用
适用于: IHC-P, WB -
种属反应性
与反应: Mouse, Recombinant fragment
预测可用于: Rat -
免疫原
Synthetic peptide corresponding to Human Tau (phospho S409). Synthetic peptide (Human) derived from a region of human tau that contains serine 409. The sequence is conserved in mouse and rat.
Database link: P10636-8 -
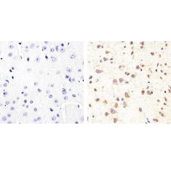
阳性对照
- WB: Recombinant human Tau left untreated, or treated with PKA. IHC: Mouse brain tissue.
风险提示:丁香通仅作为第三方平台,为商家信息发布提供平台空间。用户咨询产品时请注意保护个人信息及财产安全,合理判断,谨慎选购商品,商家和用户对交易行为负责。对于医疗器械类产品,请先查证核实企业经营资质和医疗器械产品注册证情况。
文献和实验Tau 蛋白是一种微管相关蛋白,分子量 50~75 kDa,主要位于神经元轴突中,是维持骨骼神经元系统稳定性所需的重要分子。
Determination of ERK Activity: Anti-phospho-ERK Antibodies and In Vitro Phosphorylation
The ERK signaling cascade is composed of several protein kinases that sequentially activate each other by phosphorylation. This pathway is a central component of a complex signaling network that regulates important cellular processes
Tau pathology refers to molecular mechanisms leading to the intracellular aggregation of abnormally modified Tau protein isoforms and to the propagation of this degenerating process along neuronal �circuitry. Tau proteins belong to the family
技术资料暂无技术资料 索取技术资料










