相关产品推荐更多 >
万千商家帮你免费找货
0 人在求购买到急需产品
- 详细信息
- 文献和实验
- 技术资料
- 形态:
Liquit
- 保存条件:
-20℃
- 克隆性:
单克隆
- 适应物种:
Human,(predicted:Mouse,Rat,)
- 保质期:
1年
- 抗原来源:
peptiede
- 目录编号:
TDCSR-0171
- 级别:
科研级
- 库存:
88
- 供应商:
武汉天德
- 宿主:
兔
- 浓度:
1mg/ml
- 抗体英文名:
SOX-2
- 抗体名:
SOX-2
- 规格:
1ml工作液

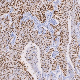
SoX-2兔抗人神经(管)嘴转录因子2单克隆抗体
SOX-2(SRY related HMG box-2)基因是最基本的干细胞基因之一,其编码的蛋白是维持胚胎干细胞及多种组织干细胞的自我更新能力和增殖能力的重要转录因子。SOX-2的表达与很多肿瘤的预后相关。文献报道,结肠癌中SOX2高表达并且是判断预后的候选生物标记。
- 货号:TDCSR-0171
- 克隆号:EP103
- 阳性部位:胞核
- 适用组织:石蜡切片
- 预处理:热修复
风险提示:丁香通仅作为第三方平台,为商家信息发布提供平台空间。用户咨询产品时请注意保护个人信息及财产安全,合理判断,谨慎选购商品,商家和用户对交易行为负责。对于医疗器械类产品,请先查证核实企业经营资质和医疗器械产品注册证情况。
文献和实验-His6 抗体(Qiagen) 。 ( 4 ) 特异单克隆抗体,如大鼠抗 CPI 抗体(Affinity Bioreagents,Cholden, USA ) 。 ( 5 ) Cy3 标记的配体作为第二抗体,如兔抗小鼠 IgG 配抗 RGS-His6 —抗,或兔抗大鼠 IgG 配抗 TCP1 —抗( Dianova,Hamburg,Germany) 。 2. 在 FAST 点样片基上的多克隆抗体筛选 ( 1 ) TBS + Tween-20 ( TBST ) :10
调整起子 D-16 HOZAN-0113 十字螺丝刀D-302-1 十字螺丝刀D-302-1 HOZAN-0106 反作用镊子P-89 反作用镊子P-89 HOZAN-0041 剥线钳P-963 剥线钳P-963 HOZAN-0378 ESD镊子P-891-ESD ESD镊子P-891-ESD HOZAN-0013 斜口钳N-4-125 斜口钳N-4-125 HOZAN-0171 六角扳手套件W-96 六角扳手套件W-96 HOZAN-0633 剪钳P-220 剪钳P
巨噬细胞趋化蛋白-1(MCP-1/CCL2) 48T/96T 1500/2500 进口分装 F0171 巨噬细胞趋化蛋白-2(MCP-2) 48T/96T 1500/2500 进口分装 F0172 巨噬细胞趋化蛋白-3(MCP-3) 48T/96T 1500/2500 进口分装 F0173 巨噬细胞来源的趋化因子(MDC/CCL22) 48T/96T 2000/3000 进口分装 F0174 干扰素-r 诱导单核细胞因子 (MIGF
技术资料暂无技术资料 索取技术资料










