相关产品推荐更多 >
万千商家帮你免费找货
0 人在求购买到急需产品
- 详细信息
- 文献和实验
- 技术资料
- 形态:
Liquit
- 保存条件:
-20℃
- 克隆性:
单克隆
- 适应物种:
Human,(predicted:Mouse,Rat,)
- 保质期:
1年
- 抗原来源:
peptiede
- 目录编号:
TDCMM-0360
- 级别:
科研级
- 库存:
88
- 供应商:
武汉天德
- 宿主:
鼠
- 浓度:
1mg/ml
- 抗体英文名:
Myosin Heavy CHain MHC
- 抗体名:
Myosin Heavy CHain MHC
- 规格:
1ml工作液

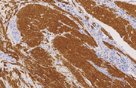
Myosin Heavy Chain (SMMHC)鼠抗人肌球蛋白重链(平滑肌)单克隆抗体
平滑肌肌球蛋白重链主要用于标记血管和内脏平滑肌细胞以及肌上皮细胞,被认为是平滑肌较为特异和可靠地标志,有助于间叶肿瘤的诊断和分类,亦用于乳腺肌上皮细胞的检查,有助于原位癌和浸润癌的区别。
- 货号:TDCMM-0360
- 克隆号:SMMS-1
- 阳性部位:胞质
- 适用组织:石蜡切片
- 预处理:热修复
风险提示:丁香通仅作为第三方平台,为商家信息发布提供平台空间。用户咨询产品时请注意保护个人信息及财产安全,合理判断,谨慎选购商品,商家和用户对交易行为负责。对于医疗器械类产品,请先查证核实企业经营资质和医疗器械产品注册证情况。
文献和实验排列。当细胞融合80%以上后,开始形成肌管。2、免疫细胞化学染色1:肌卫星细胞胞浆中含有结蛋白(desmin),可采用鼠抗人及小鼠desmin一抗对卫星细胞进行免疫染色鉴定。3、免疫细胞化学染色2:采用骨骼肌特异性的肌球蛋白(myosin)单克隆抗体检测。取含骨骼肌细胞盖玻片常规处理后进行myosin的细胞免疫化学染色,PBS代替一抗做阴性对照。结果判定:以细胞浆出现棕黄色颗粒为阳性染色。六、注意事项1、胰酶消化过程中,也可采用15min两步消化的方法进行。根据所取组织个体年龄决定,一般成年大小
) 这种抗体用于检测肌上皮及平滑肌细胞以及这方面来源的肿瘤,它适合于各种组织切片,抗原修复后可获得更好的结果。 3.肌动蛋白(Actin) 肌原纤维由两种成分组成,细肌丝和粗肌丝。细肌丝则由肌动蛋白,原肌球蛋白和肌原蛋白三种成分组成,其中的肌动蛋白,其分子呈球状,它们互相连接形成长链,每一条细肌丝都由两条肌动蛋白分子所构成。 现临床用于检测肌动蛋白的抗体有如下几种: ①单克隆小鼠抗人肌动蛋白,克隆为HHF35。它是一种广谱标记抗体,既可以用于检测
细胞超微结构特征的细胞,即肌纤维母细胞。其起源尚不明确。利用不同细胞骨架蛋白(波形纤维蛋白、结蛋白、α-平滑肌及α-横纹肌肌动蛋白、非肌性及平滑肌肌球蛋白)的抗体,对肌纤维母细胞的表型特征进行了研究,证实了异质性纤维母细胞群的存在。其一部分显示成纤维细胞的特征,而其余的则显示有不同程度的平滑肌分化的特征。 (三)单一核浸润细胞 在硬皮病、瘢痕疙瘩及肥厚性瘢痕中,常有不同程度单一核浸润细胞增加,弥散分布或位于血管周围。应用淋巴细胞和单核细胞的单克隆抗体检测发现,主要为T
技术资料暂无技术资料 索取技术资料










