万千商家帮你免费找货
0 人在求购买到急需产品
- 详细信息
- 文献和实验
- 技术资料
- 形态:
Liquit
- 保存条件:
-20℃
- 克隆性:
单克隆
- 适应物种:
Human,(predicted:Mouse,Rat,)
- 保质期:
1年
- 抗原来源:
peptiede
- 目录编号:
TDCCR-0321
- 级别:
科研级
- 库存:
88
- 供应商:
武汉天德
- 宿主:
兔
- 浓度:
1mg/ml
- 抗体英文名:
CD2(LFA-2)
- 抗体名:
CD2(LFA-2)
- 规格:
1ml工作液

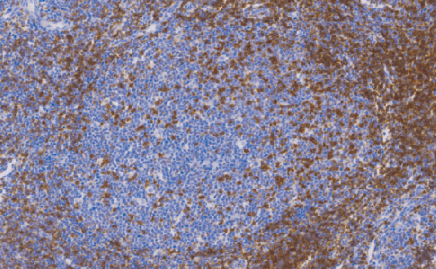
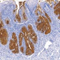
CD2(LFA-2)兔抗人CD2单克隆抗体
CD2表达于成熟T细胞和NK细胞膜表面。CD2能促进T淋巴细胞对抗原的识别,增强T淋巴细胞、胸腺细胞及NK细胞与抗原呈递细胞及靶细胞之间的粘附和信号传递。此抗体可标记正常T细胞及其相关肿瘤。
- 货号:TDCCR-0321
- 克隆号:EP222
- 阳性部位:胞膜、胞质
- 适用组织:石蜡切片
- 预处理:热修复
风险提示:丁香通仅作为第三方平台,为商家信息发布提供平台空间。用户咨询产品时请注意保护个人信息及财产安全,合理判断,谨慎选购商品,商家和用户对交易行为负责。对于医疗器械类产品,请先查证核实企业经营资质和医疗器械产品注册证情况。
文献和实验CD2/CD2R 分子 CD2 常用单克隆抗体或代号:9.6,Tll,Leu5;(LFA 2,SRBC-R) 主要表达细胞:T,Thy,NKsub T细胞 分子质量(kDa)和结构:gp50(IgSF) 功 能:CD58、CD48、CD59和CDl50的受体,参与T细胞活化,参与细胞黏附 CD2R 常用单克隆抗体或代号:T11.3,9。1 主要表达细胞:Ta,NK T细胞 分子质量(kDa)和结构:gp50(IgSF) 功 能:T
tissue,human testis tissue,human brain tissue IF:Hela,HepG2 另外有 HRP、FITC、Bintin 标记的多抗对应货号分别为: CSB-PA07179B0Rb、CSB-PA07179C0Rb、CSB-PA07179D0Rb 兔抗人淀粉样肽 beta A4 蛋白单克隆抗体 货号:CSB-MA0019501A0m 识别
CD48 分子 CD48 常用单克隆抗体或代号: WM68,LO- MN25;(BLAST- 1,OX45,BCM- 1) 主要表达细胞: Leu [NL] 分子质量(kDa)和结构: gp45,(GPI连接)(IgSF) 功 能: CD2的配体(小鼠,大鼠),人CD48与CD2结合力低 CD48 Mediates adhesion via its receptor, CD2
技术资料暂无技术资料 索取技术资料









