相关产品推荐更多 >
万千商家帮你免费找货
0 人在求购买到急需产品
- 详细信息
- 文献和实验
- 技术资料
- 形态:
Liquit
- 保存条件:
-20℃
- 克隆性:
单克隆
- 适应物种:
Human,(predicted:Mouse,Rat,)
- 保质期:
1年
- 抗原来源:
peptiede
- 目录编号:
TDCLM-0040
- 级别:
科研级
- 库存:
88
- 供应商:
武汉天德
- 宿主:
鼠
- 浓度:
1mg/ml
- 抗体英文名:
Lung-resistanCE related protein
- 抗体名:
Lung-resistanCE related protein
- 规格:
1ml工作液

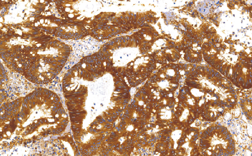
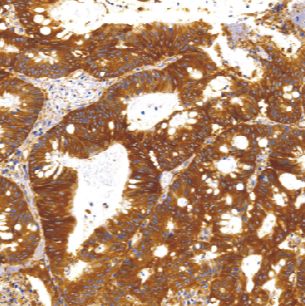
Lung-resistance related protein(LRP)鼠抗人肺耐药相关蛋白单克隆抗体
LRP是一种分子量为104-110kD的蛋白,亦属多药耐药(MDR)中的-种表型,可表达于许多肿瘤的组织中,阳性者预示对化疗不敏感,主要用于各种恶性肿瘤的研究。
- 货号:TDCLM-0040
- 克隆号:1032
- 阳性部位:胞质
- 适用组织:石蜡切片
- 预处理:热修复
风险提示:丁香通仅作为第三方平台,为商家信息发布提供平台空间。用户咨询产品时请注意保护个人信息及财产安全,合理判断,谨慎选购商品,商家和用户对交易行为负责。对于医疗器械类产品,请先查证核实企业经营资质和医疗器械产品注册证情况。
文献和实验以偿,并已广泛应用于肿瘤临床细胞学的诊断研究。 大量的临床应用表明,流式细胞术对肿瘤细胞学的诊断正确率已达常规细胞学诊断水平。肿瘤细胞对化疗药物的耐受性是肿瘤治疗的主要障碍。肿瘤细胞的耐药性可分为原发耐药和继发耐药,前者在化疗前就存在于肿瘤细胞中,与用药无关,后者是由化疗药物诱导产生的,即在药物使用前对药物敏感,而在用药之后产生耐药。继发耐药根据耐药谱的不同又可分为原药耐药(PDR)和多药耐药(MDR)。MDR相关蛋白包括P糖蛋白、多药耐药相关蛋白等。它们都属于ATP酶活性转运蛋白,均是通过药物
提高[7,8]。Kang等[10]报道42 %较顽固恶性淋巴瘤病人化疗后活检标本MDR-1基因表达比化疗前提高4倍。 2 非P-gp介导的MDR机制 由于P-gp介导的MDR机制还不能完全解释MDR现象。因此,一些非P-gp介导的机制也逐渐受到重视。它们主要包括:(1) 谷胱苷肽转移酶介导的MDR;(2) 多药耐药相关蛋白介导的MDR;(3) 拓扑异构酶Ⅱ介导的MDR。另外,还有许多机制如肺耐蛋白、转移性抗原肽等具有三磷酸腺苷酶活性的跨膜转运蛋白介导的MDR,增加二氢叶酸还原酶的产物而导致
Western Blot相关的试剂和耗材产 品 名 称包 装单 价(RMB)Trypsin-EDTA0.25%,100ml150.00蛋白裂解液(蛋白提取液)10ml60.00PMSF100mM 10ml86.0040% Acr/Bis (37.5:1)100ml100.0040% Acr/Bis (29:1)100ml100.0040% Acr/Bis (19:1)100ml100.00SDS-PAGE蛋白上样缓冲液2x,1ml28.00SDS-PAGE电泳缓冲液10x,500ml100
技术资料暂无技术资料 索取技术资料










