相关产品推荐更多 >
万千商家帮你免费找货
0 人在求购买到急需产品
- 详细信息
- 文献和实验
- 技术资料
- 形态:
Liquit
- 保存条件:
-20℃
- 克隆性:
单克隆
- 适应物种:
Human,(predicted:Mouse,Rat,)
- 保质期:
1年
- 抗原来源:
peptiede
- 目录编号:
TDCTM-0152
- 级别:
科研级
- 库存:
88
- 供应商:
武汉天德
- 宿主:
鼠
- 浓度:
1mg/ml
- 抗体英文名:
Thyroglobulin(Tg)
- 抗体名:
Thyroglobulin(Tg)
- 规格:
1ml工作液

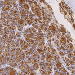
Thyroglobulin(Tg)鼠抗人甲状腺球蛋白单克隆抗体
甲状腺球蛋白(Tg)是一种分子量为670kD的大分子糖基化蛋白,由两个相同的亚基组成,并由甲状腺滤泡上皮细胞合成。在甲状腺素形成中,甲状腺球蛋白提供碘位点。
- 货号:TDCTM-0152
- 克隆号:2H11+6E1
- 阳性部位:胞质
- 适用组织:石蜡切片
- 预处理:热修复
风险提示:丁香通仅作为第三方平台,为商家信息发布提供平台空间。用户咨询产品时请注意保护个人信息及财产安全,合理判断,谨慎选购商品,商家和用户对交易行为负责。对于医疗器械类产品,请先查证核实企业经营资质和医疗器械产品注册证情况。
文献和实验抗体/补体介导的特异性细胞毒作用分离法分离T细胞亚群 人T淋巴细胞按其表面标志分为CD4+ T和CD8+ T细胞两类,其细胞膜上分别有CD4和CD8分子,当它们与相应的鼠抗人单克隆抗体结合后,在补体的参与下,可溶解相应的T细胞亚群,从而分离出另一种细胞亚群。 【试剂及配制】 (1) 聚蔗糖-泛影葡胺分层液(D=1.077±0.001)。 (2) Hank’s液(内含5%小牛血清和1.0g/L叠氮钠)。
R&D Systems 适用于神经细胞培养的无血清培养基添加剂
。 海马神经元表现出突触标记的可靠表达。e18大鼠海马神经元用添加了N21-MaX Media Supplement(目录号ar008)的培养基在体外培养21天。(a) 利用小鼠抗大鼠突触结合蛋白-1单克隆抗体(目录号MaB4364),以及Northernlights™ 557结合的驴抗小鼠igg二抗(目录号Nl007;黄色)对细胞染色,或(B) 利用小鼠抗人caM激酶iiα单克隆抗体(目录号MaB5584),接着用Northernlights™ 557结合的驴抗小鼠 igg二抗(目录号Nl
这首先要从抗体的产生来探讨。把某一抗原免疫某种动物而得到单抗或多抗。如果用经免疫过的动物的脾细胞获得杂交瘤细胞,则得到单克隆抗体,如果用动物的血清,则得到多克隆抗体。但从理论上说,这些抗体都应针对抗原来自的动物,例如如果用 人蛋白 抗原免疫小鼠,则这些 抗体 为鼠抗人。 由于一个大蛋白分子表面具有多种抗原决定簇,因此,免疫动物后,这些不同的决定簇分别诱导动物产生不同的 抗体
技术资料暂无技术资料 索取技术资料










