相关产品推荐更多 >
万千商家帮你免费找货
0 人在求购买到急需产品
- 详细信息
- 文献和实验
- 技术资料
- 形态:
Liquit
- 保存条件:
-20℃
- 克隆性:
单克隆
- 适应物种:
Human,(predicted:Mouse,Rat,)
- 保质期:
1年
- 抗原来源:
peptiede
- 目录编号:
TDCGM-0190
- 级别:
科研级
- 库存:
88
- 供应商:
武汉天德
- 宿主:
鼠
- 浓度:
1mg/ml
- 抗体英文名:
Glutamine Synthetase
- 抗体名:
Glutamine Synthetase
- 规格:
1ml工作液

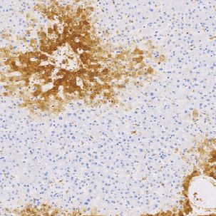
Glutamine Synthetase(GS)鼠抗人谷氨酷氨合成酶单克隆抗体
谷氯酷胺合成酶催化哺乳动物肝脏中谷氨酸和氨形成谷氯酷胺。在正常肝脏中,谷氨酷胺合成酶表达在中心周围的干细胞,而不表达于门静脉周的肝细胞。谷氨酷胺合成酶已被认为是肝细胞肝癌的标志物。谷氨酷胺合成酶在大多数肝细胞肝癌中表达,包括70%早期肝细胞肝癌和59%低分化肝细胞肝癌。
- 货号:TDCGM-0190
- 克隆号:GS-6
- 阳性部位:胞质
- 适用组织:石蜡切片
- 预处理:热修复
风险提示:丁香通仅作为第三方平台,为商家信息发布提供平台空间。用户咨询产品时请注意保护个人信息及财产安全,合理判断,谨慎选购商品,商家和用户对交易行为负责。对于医疗器械类产品,请先查证核实企业经营资质和医疗器械产品注册证情况。
文献和实验缩写为 GS。为在 ATP的存在下使氨与谷氨酸结合生成谷氨酰胺的酶, EC. 6. 3. 1. 2. L-谷氨酸 氨 ATPL- 谷氨酰胺 ADP Pi反应机制很复杂,要经过酶蛋白与γ -谷氨酰磷酸的中间体。与谷氨酰胺合成反应不同的是可将γ -谷氨酰基转移于适当的受体,具有如羟胺的γ -谷氨酰基转移酶的活性。广泛分布于微生物和高等动植物中,除了可供给谷氨酰氨外,还有与谷氨酸合成酶偶联向α -氨基酸供给氨基的重要功能。大肠杆菌和枯草菌的酶是由分子量为 5万的单一的 12个亚基
亦称谷氨酰胺 -2-氧代(α酮)戊二酸氨基转移酶。缩写为 GOGAT。此酶可催化谷氨酰胺的胺基在 NAD( P) H或还原型铁氧还蛋白的存在下,还原转移于α -酮戊二酸,生成 2分子谷氨酸: L-谷氨酰氨 α -酮戊二酸 [2H]→ 2L-谷氨酸也可以说是以谷氨酰胺的胺基为氨供体还原α -酮戊二酸为谷氨酸的酶。是含 Fe及 S的黄素酶, EC1, 4, 1, 13( NADPH), 1, 4, 1, 14( NADH), 1, 4, 7, 1(含铁氧还素
亦称鸟氨酸循环,是排尿素动物在肝脏中合成尿素的一个循环机制。肝细胞胞浆中的氨基酸经转氨作用与α -酮戊二酸形成的谷氨酸,透过线粒体膜进入线粒体基质,在谷氨酸脱氢酶作用下脱氨形成游离氨。形成的氨( NH 4 )与三羧酸循环产生的二氧化碳、 2分子 ATP,在氨基甲酰合成酶 I的催化下生成氨基甲酰磷酸。氨基甲酰磷酸在线粒体的鸟氨酸转氨基甲酰酶的催化下,将氨基甲酰基转移给鸟氨酸生成瓜氨酸。瓜氨酸形成后即离开线粒体进入胞浆,在 ATP的存在下,由精氨酸代琥珀酸合成酶的催化
技术资料暂无技术资料 索取技术资料










