相关产品推荐更多 >
万千商家帮你免费找货
0 人在求购买到急需产品
- 详细信息
- 文献和实验
- 技术资料
- 形态:
Liquit
- 保存条件:
-20℃
- 克隆性:
单克隆
- 适应物种:
Human,(predicted:Mouse,Rat,)
- 保质期:
1年
- 抗原来源:
peptiede
- 目录编号:
TDCCR-0741
- 级别:
科研级
- 库存:
88
- 供应商:
武汉天德
- 宿主:
兔
- 浓度:
1mg/ml
- 抗体英文名:
CD99
- 抗体名:
CD99
- 规格:
1ml工作液

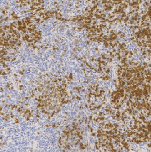
CD99兔抗人CD99单克隆抗体
CD99是28kDa的前体分子经过O糖基化而形成的32kDa的跨膜糖蛋白。分布于淋巴细胞、胸腺皮质细胞、卵巢的颗粒细胞、胰岛细胞和睾丸的支持细胞等,目前主要用于对尤文氏肉瘤、原始神经外胚层肿瘤与可能发生于儿童期的小圆细胞肿瘤进行鉴别诊断也可用于鉴别胸腺上皮肿瘤。
- 货号:TDCCR-0741
- 克隆号:EPR3097Y
- 阳性部位:胞膜
- 适用组织:石蜡切片
- 预处理:热修复
风险提示:丁香通仅作为第三方平台,为商家信息发布提供平台空间。用户咨询产品时请注意保护个人信息及财产安全,合理判断,谨慎选购商品,商家和用户对交易行为负责。对于医疗器械类产品,请先查证核实企业经营资质和医疗器械产品注册证情况。
文献和实验tissue,human testis tissue,human brain tissue IF:Hela,HepG2 另外有 HRP、FITC、Bintin 标记的多抗对应货号分别为: CSB-PA07179B0Rb、CSB-PA07179C0Rb、CSB-PA07179D0Rb 兔抗人淀粉样肽 beta A4 蛋白单克隆抗体 货号:CSB-MA0019501A0m 识别
一、实验原理 将抗C5a单克隆抗体包被固相聚苯乙烯板,加入经聚乙二醇(PEG)处理的待测样本,然后依次加入兔抗人C5a-IgC多克隆抗体和过氧化物酶标记的猪抗兔IsC,再加入底物2,2’-连氮-双(3-乙基苯骈唑啉-6-磺酸盐)(ABTS)和H2O2显色,于酶标仪405 mn处测定每分钟光密度增加量(OD/min),以OD/min为纵坐标,C5a标准晶浓度为横坐标绘制标准曲线图,求出待测样本中C5a的含量。 二、实验试剂 1. PBSPH7.2
CD34 分子 CD34 常用单克隆抗体或代号: MY10,ICH3 主要表达细胞: BM,En [M] 分子质量(kDa)和结构: gp115(与Ig- SFC2组一定相似性) 功 能: 调控早期造血,为CD62L的配体,外周淋巴结地址素,外周淋巴结粘附 CD34 Cell-cell adhesion molecule and cell surface glycoprotein
技术资料暂无技术资料 索取技术资料










