相关产品推荐更多 >

Sigma货号AB5622抗微管相关蛋白2(MAP2)抗体13611631389上海睿安生物
¥7745.70
Sigma货号MAB1398Z抗-PECAM-1抗体(克隆2H8)无叠氮化物13611631389上海睿安生物
¥6190.47
Sigma货号05-829X-555抗-α-微管蛋白抗体(Alexa Fluor 555偶联物)13611631389上海睿安生物
¥7365.52![Millipore货号F7425-0.2mg抗-FLAG兔抗[别名:抗-ddddk(抗-dykddddk)]上海睿安生物13611631389](https://img1.dxycdn.com/p/s14/2025/0109/281/6581695135380337781.jpg!wh200)
Millipore货号F7425-0.2mg抗-FLAG兔抗[别名:抗-ddddk(抗-dykddddk)]上海睿安生物13611631389
¥6172.30
Millipore货号WBLUF0500发光液13611631389上海睿安生物
¥5233.60
万千商家帮你免费找货
0 人在求购买到急需产品
- 详细信息
- 文献和实验
- 技术资料
- 库存:
100⁺支
- 英文名:
Anti-GAD67 Antibody,clone 1G10.2
- 保质期:
1年
- 供应商:
上海睿安生物13611631389
- 保存条件:
运输dry ice
- 规格:
25ug/支
Sigma货号MAB5406现货Anti-GAD67 Antibody,clone 1G10.2上海睿安生物13611631389
Sigma货号MAB5406抗GAD67抗体(克隆1G10.2)上海睿安生物13611631389
Anti-GAD1(GAD67) Antibody
CHEMICON®,mouse monoclonal,1G10.2
别名:Glutamate Decarboxylase 67kDa Isoform, Glutamate Decarboxylase 1, Glutamic acid decarboxylase 1
说明
一般描述
特异性
免疫原:重组GAD67蛋白
应用
神经元&胶质标记
在4%低聚甲醛固定的小鼠和大鼠组织上的免疫组织化学分析:1:1,000-1:5,000.该抗体以1:2,500-1:5,000的稀释度也可用于人类组织(4%PFA,4°C或100%乙醇,+20°C或100%丙(bǐng)酮,-20°C,固定十分钟)。
GAD67的多克隆产品也以AB5992编号进行销售。
最佳工作稀释度必须由最终用户进行确定。
质量
免疫组织化学(石蜡)分析:
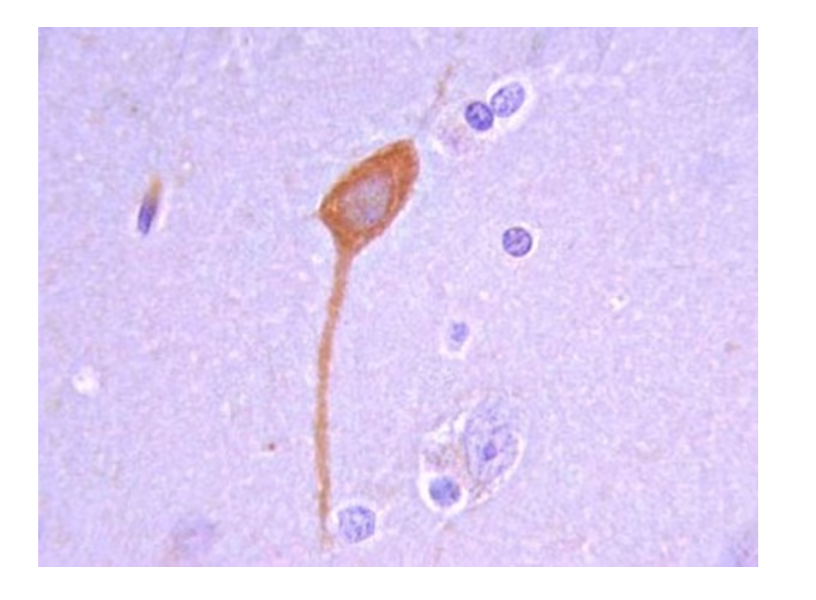
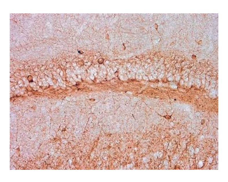
GAD67在小鼠大脑皮层体感1区的代表性染色模式和形态。 所有的褐色斑点均为层状VI神经元。无需检索表位。 使用IHC Select时,将该批次抗体稀释至1:500 使用HRP-DAB进行检测。
GAD67的最佳染色模式/形态:小鼠大脑。
目标描述:67kda
联系
外形
储存及稳定性:自收到之日起以未稀释的等分试样形式,在2-8ºC可稳定保存6个月。
分析说明
其他说明:2024年CiteAb奖,授予在帕金森研究方面取得成功的供应商
法律信息:CHEMICON is a registered trademark of Merck KGaA, Darmstadt, Germany
免责声明:除非我们的产品目录或产品附带的其他公司文档另有说明,否则我们的产品仅供研究使用,不得用于任何其他目的,包括但不限于未经授权的商业用途、体外诊断用途、离体或体内治疗用途或任何类型的消费或应用于人类或动物。
同行评审论文(部分文献)

一、╳※试剂※╳PBMC分离服务:PBMC/人外周血单个核细胞/PBMC细胞/人外周血单个核细胞/冻存PBMC/hPBMC单个核细胞
风险提示:丁香通仅作为第三方平台,为商家信息发布提供平台空间。用户咨询产品时请注意保护个人信息及财产安全,合理判断,谨慎选购商品,商家和用户对交易行为负责。对于医疗器械类产品,请先查证核实企业经营资质和医疗器械产品注册证情况。
文献和实验Sigma货号MAB5406现货Anti-GAD67 Antibody,clone 1G10.2上海睿安生物13611631389
Sigma货号MAB5406抗GAD67抗体(克隆1G10.2)上海睿安生物13611631389
Anti-GAD1(GAD67) Antibody
CHEMICON®,mouse monoclonal,1G10.2
别名:Glutamate Decarboxylase 67kDa Isoform, Glutamate Decarboxylase 1, Glutamic acid decarboxylase 1
说明
一般描述
特异性
免疫原:重组GAD67蛋白
应用
神经元&胶质标记
在4%低聚甲醛固定的小鼠和大鼠组织上的免疫组织化学分析:1:1,000-1:5,000.该抗体以1:2,500-1:5,000的稀释度也可用于人类组织(4%PFA,4°C或100%乙醇,+20°C或100%丙(bǐng)酮,-20°C,固定十分钟)。
GAD67的多克隆产品也以AB5992编号进行销售。
最佳工作稀释度必须由最终用户进行确定。
质量
免疫组织化学(石蜡)分析:
GAD67在小鼠大脑皮层体感1区的代表性染色模式和形态。 所有的褐色斑点均为层状VI神经元。无需检索表位。 使用IHC Select时,将该批次抗体稀释至1:500 使用HRP-DAB进行检测。
GAD67的最佳染色模式/形态:小鼠大脑。
目标描述:67kda
联系
外形
储存及稳定性:自收到之日起以未稀释的等分试样形式,在2-8ºC可稳定保存6个月。
分析说明
其他说明:2024年CiteAb奖,授予在帕金森研究方面取得成功的供应商
法律信息:CHEMICON is a registered trademark of Merck KGaA, Darmstadt, Germany
免责声明:除非我们的产品目录或产品附带的其他公司文档另有说明,否则我们的产品仅供研究使用,不得用于任何其他目的,包括但不限于未经授权的商业用途、体外诊断用途、离体或体内治疗用途或任何类型的消费或应用于人类或动物。
同行评审论文(部分文献)

一、╳※试剂※╳PBMC分离服务:PBMC/人外周血单个核细胞/PBMC细胞/人外周血单个核细胞/冻存PBMC/hPBMC单个核细胞
),有时候还会附送一些ProAbeads之类的,所以不奇怪它的普及 率;也正因为此,如果你参考文献的话很容易找到这家公司的。可惜,在国内代理商不可能提供相应的服务,因此购买他们的商品存在不小的风险。所以,通常我更 推荐sigma和Abcom、R&D等。诸如Sigma公司销售的Actin,cat.A5316,cloneAC-74,Mab更是作为新手练 习专用的抗体;它的背景很低,效价很高,可以1:30,000稀释(是普通一抗效价的30倍)。此外,尽管cellsignaling是做磷酸化抗体起家 的公司
技术资料需要更多技术资料 索取更多技术资料
资料下载:
35579720上海睿安生物SLSCA分析化学品Sigma标准物质2025授权.pdf 附 (下载 0 次)
610012187上海睿安生物科技公司SLSCC化学类2025授权书Merck.pdf 附 (下载 0 次)
⁺询订13611631389微信同号.png 附 (下载 0 次)
35579720上海睿安生物科技有限SLSCC化学类2025授权书Sigma.pdf 附 (下载 0 次)
610012187上海睿安生物SLSCA分析化学品Merck标准物质2025授权.pdf 附 (下载 0 次)
请 [登录] 后再下载!










