相关产品推荐更多 >

Sigma货号07-360抗乙酰组蛋白H3(Lys27)抗体Anti-acetyl-Histone H3(Lys27) Antibody上海睿安生物13611631389
¥6882.71
Millipore货号WBLUF0500发光液13611631389上海睿安生物
¥5233.60
Sigma货号AB144P抗胆碱乙酰基转移酶抗体13611631389上海睿安生物
¥5016.79
Sigma货号ABE457抗-c-Fos抗体Anti-c-Fos Antibody
¥5016.79![Millipore货号04-035抗PTEN抗体(克隆6H2.1)[Anti-PTEN Antibody(clone 6H2.1)]上海睿安生物19121878899默克Merck-Sigma-Millipore-Roche官方正式授权代理商](https://img1.dxycdn.com/p/s14/2026/0309/513/6942089098566890302.jpg!wh200)
Millipore货号04-035抗PTEN抗体(克隆6H2.1)[Anti-PTEN Antibody(clone 6H2.1)]上海睿安生物19121878899默克Merck-Sigma-Millipore-Roche官方正式授权代理商
¥2762.01
万千商家帮你免费找货
0 人在求购买到急需产品
- 详细信息
- 文献和实验
- 技术资料
- 库存:
100⁺支
- 英文名:
Anti-TRA-1-60 Antibody,clone TRA-1-60
- 保质期:
1年
- 供应商:
上海睿安生物13611631389
- 保存条件:
运输wet ice
- 规格:
100ug/支
Sigma货号MAB4360抗-TRA-1-60抗体(克隆TRA-1-60)上海睿安生物13611631389
Sigma货号MAB4360现货Anti-TRA-1-60 Antibody,clone TRA-1-60上海睿安生物13611631389
抗-TRA-1-60抗体,克隆TRA-1-60
clone TRA-1-60,Chemicon®,from mouse
别名:TRA-1-60 Marker
说明
一般描述
人胚胎性癌(EC)细胞是畸胎癌的干细胞,它们是生殖细胞肿瘤(GCT)的关键组成部分。它们表达几种在分化时被下调的高分子量糖蛋白抗原。可以在GCT患者的血清中检测到由单克隆抗体TRA-1-60定义的这些抗原之一,并且可以为已建立的血清标志物人绒毛膜促性腺激素和α-胎蛋白提供有用的补充,特别是在那些血清人绒毛膜促性腺激素或α-胎蛋白没有升高的患者中。
特异性
该抗体与在人四癌干细胞(EC)、人胚胎生殖细胞(EG)和人胚胎干细胞(ES)表面表达的TRA-1-60抗原反应。 鼠EC、EG或ES细胞未见免疫反应性。 TRA-1-60和TRA-1-81单克隆抗体(MAB4381)均可识别与细胞周围基质蛋白聚糖相关的抗原。 TRA-1-60与唾液酸酶敏感表位反应,而TRA-1-81与同一分子的未知表位反应。
免疫原:人胚胎性癌细胞系2102Ep
应用
免疫荧光:一个先前的批次被用于IF。
蛋白质印迹法:该抗体的一个先前批次被用于WB。
免疫沉淀:该抗体的一个先前批次被用于IP。
免疫组织化学:该抗体的一个先前批次被用于IH。
流式细胞术:建议起始范围为10-20µg/mL。
最佳工作稀释度必须由最终用户确定。
研究子类别:多能性&早期分化
研究类别:干细胞研究
经验证,该抗TRA-1-60抗体(克隆TRA-1-60)可用于WB、FC、IF、IP、IC检测TRA-1-60。
目标描述:235/410 kDa
外形
形式:纯化
硫酸铵沉淀
纯化的小鼠单克隆IgM液体,溶于0.05M磷酸钾、0.3M NaCl pH 8.0和0.05%叠(dié)(dàn)化(huà)(nà)钠中。
储存及稳定性:自接收之日起1年内保持稳定。
分析说明
对照:NTERA-2 cl.D1全细胞裂解物(源自畸胎癌的多能干细胞,被认为是人类胚胎干细胞的恶性对应物)
其他说明
浓度:关于批次特定浓度请参见检验报告。
法律信息:CHEMICON is a registered trademark of Merck KGaA, Darmstadt, Germany
免责声明
除非我们的目录或产品随附的其他公司文件中另有说明,否则我们的产品预期仅用于研究用途,不得用于任何其他目的,包括但不限于未经授权的商业用途、体外诊断用途、离体或体内治疗用途或对人类或动物的任何类型的消费或应用。
同行评审论文(部分文献)










风险提示:丁香通仅作为第三方平台,为商家信息发布提供平台空间。用户咨询产品时请注意保护个人信息及财产安全,合理判断,谨慎选购商品,商家和用户对交易行为负责。对于医疗器械类产品,请先查证核实企业经营资质和医疗器械产品注册证情况。
文献和实验Sigma货号MAB4360抗-TRA-1-60抗体(克隆TRA-1-60)上海睿安生物13611631389
Sigma货号MAB4360现货Anti-TRA-1-60 Antibody,clone TRA-1-60上海睿安生物13611631389
抗-TRA-1-60抗体,克隆TRA-1-60
clone TRA-1-60,Chemicon®,from mouse
别名:TRA-1-60 Marker
说明
一般描述
人胚胎性癌(EC)细胞是畸胎癌的干细胞,它们是生殖细胞肿瘤(GCT)的关键组成部分。它们表达几种在分化时被下调的高分子量糖蛋白抗原。可以在GCT患者的血清中检测到由单克隆抗体TRA-1-60定义的这些抗原之一,并且可以为已建立的血清标志物人绒毛膜促性腺激素和α-胎蛋白提供有用的补充,特别是在那些血清人绒毛膜促性腺激素或α-胎蛋白没有升高的患者中。
特异性
该抗体与在人四癌干细胞(EC)、人胚胎生殖细胞(EG)和人胚胎干细胞(ES)表面表达的TRA-1-60抗原反应。 鼠EC、EG或ES细胞未见免疫反应性。 TRA-1-60和TRA-1-81单克隆抗体(MAB4381)均可识别与细胞周围基质蛋白聚糖相关的抗原。 TRA-1-60与唾液酸酶敏感表位反应,而TRA-1-81与同一分子的未知表位反应。
免疫原:人胚胎性癌细胞系2102Ep
应用
免疫荧光:一个先前的批次被用于IF。
蛋白质印迹法:该抗体的一个先前批次被用于WB。
免疫沉淀:该抗体的一个先前批次被用于IP。
免疫组织化学:该抗体的一个先前批次被用于IH。
流式细胞术:建议起始范围为10-20µg/mL。
最佳工作稀释度必须由最终用户确定。
研究子类别:多能性&早期分化
研究类别:干细胞研究
经验证,该抗TRA-1-60抗体(克隆TRA-1-60)可用于WB、FC、IF、IP、IC检测TRA-1-60。
目标描述:235/410 kDa
外形
形式:纯化
硫酸铵沉淀
纯化的小鼠单克隆IgM液体,溶于0.05M磷酸钾、0.3M NaCl pH 8.0和0.05%叠(dié)(dàn)化(huà)(nà)钠中。
储存及稳定性:自接收之日起1年内保持稳定。
分析说明
对照:NTERA-2 cl.D1全细胞裂解物(源自畸胎癌的多能干细胞,被认为是人类胚胎干细胞的恶性对应物)
其他说明
浓度:关于批次特定浓度请参见检验报告。
法律信息:CHEMICON is a registered trademark of Merck KGaA, Darmstadt, Germany
免责声明
除非我们的目录或产品随附的其他公司文件中另有说明,否则我们的产品预期仅用于研究用途,不得用于任何其他目的,包括但不限于未经授权的商业用途、体外诊断用途、离体或体内治疗用途或对人类或动物的任何类型的消费或应用。
同行评审论文(部分文献)










人 iPS 细胞体外分化为气道上皮肺类器官用于呼吸系统疾病研究应用以及iPSC操作指南
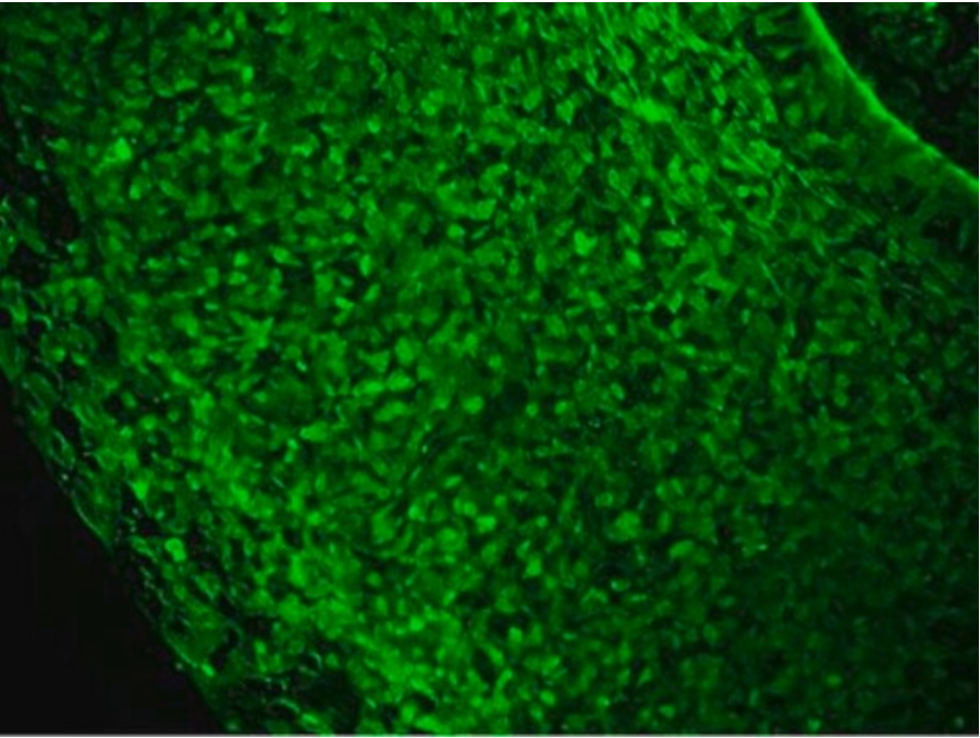
002、SCR078)进行抗体ICC染色或通过PCR分析方法来分析细胞。 表1.人iPSC标记物汇总 图 3.多能 iPS细胞表达多能性标志物。碱性磷酸酶 (40x) (A), Oct-4 Alexa 488 (MAB4401A4, 400x) (B), Sox-2 Cy3 (MAB4423C3, 100x) (C), Nanog Alexa 488 (MABD24A4, 400x) (D), TRA-1-60 Cy3 (MAB4360C3, 100x) (E), 以及TRA-1-81-Cy
,发布2002/69/EC决议,禁止中国动物源性食品进口,直接造成我国水产品出口6亿多美元的经济损失。 氯霉素等半抗原(分子量一、材料与方法 1、材料 氯金酸(HauCl4·4H2O)、氯霉素标准品、牛血清白蛋白(BSA)和聚乙二醇20000购于SIGMA公司;抗氯霉素单克隆抗体(MAb),购于Biodesign公司(免疫原为KLH与氯霉素的偶联物,鼠源性);水溶性碳二亚胺(EDC)、氯霉素琥珀酸钠盐,购于Fluka公司;羊抗鼠IgG购于北京鼎国生物技术有限公司;氯霉素ELISA检测试剂盒购
的一些临床诊断抗体 苏州杰恩 ,上海桂康 ,上海荣圣。 7. 实验需要XXX抗体,最好是XXX公司的? 例如需要TLR4抗体,最好是Abcam的 ,那就直接咨询abcam或者其代理商试试。 8. 常用抗体品牌 abcam ,sigma ,cst ,BD,abnova ,eBioscince ,Biolegend , Proteintech,Abgent ,Prosci ,SB ,Signalway Antibody






