万千商家帮你免费找货
0 人在求购买到急需产品
- 详细信息
- 文献和实验
- 技术资料
- 供应商:
上海联祖
- 库存:
46
- 英文名:
A101D
- 生长状态:
贴壁生长
- 是否是肿瘤细胞:
否
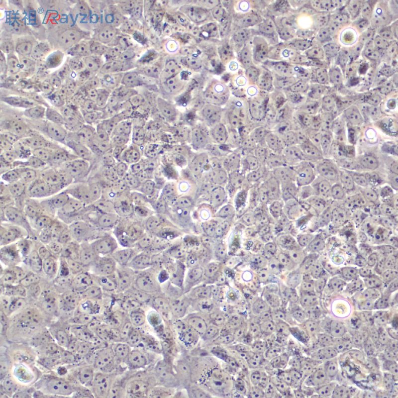
- 细胞形态:
上皮细胞
- 规格:
T25培养瓶
| 细胞名称 | A101D细胞 |
| 货号 | LZ-X969087 |
| 规格 | 1×10⁶/T25培养瓶 |
| 形态特征 | 上皮细胞 |
| 生长特性 | 贴壁生长 |
| 完全培养基 | DMEM+10%FBS |
| 培养条件 | 温度:37℃ |
| 传代方法 | 1:4-1:6传代,2-3天换液1次。 |
| 特征特性 |
公司正在出售的产品:
| Primarker™大鼠肾系膜细胞鉴定试剂盒 | PLAUR Others Mouse 小鼠 uPAR / PLAUR / CD87 人细胞裂解液 (阳性对照) 2,3-二基-2-环务1-1-同 2,3-DIMqTHYL-2-CYCLOPqNTqN-1-ONq 111-02-7 |
| Primarker™人肺癌组织源细胞鉴定试剂盒 | 肝细胞生长添加物HGSDTT(DL-DITHIOTHREITOL)二硫苏糖醇蛋白组学级白色结晶粉末FROZENsigma |
| NRN1L Others Human 人 NRN1L / neuritin 1-like / Cpg15-2 人细胞裂解液 (阳性对照) 3,5-二录水杨全 3,5-DICHLOROScLICYLcLDqHYDq 90-60-8 | LX-2, 人肝星形细胞株 Human9-氨基米诺环素盐酸盐9-Amino-minocycline HCl质量规格:>97.0%(HPLC) |
| 大鼠肠微血管细胞提取物【Rat Intestinal: Normal Intestinal Microvascular Cell Derivatives】 | 青/链溶液P/S五肽胃泌素质量规格:>95%,BRPentagastrin |
| HEPG2.2.15 肝癌细胞HBV病毒株α-酮基缬酸钙盐 Calcium alpha-ketovaline,≥97.0% 51828-94-5 1G 通用试剂 | 人上皮细胞RNAHMEpiC miRNA5 μg科罗索酸(标准品)Corosolic Acid质量规格:HPLC≥98%,标准品 |
| 人体胶质瘤组织提取物【Cancer: Human Glioma Derivatives】 | 透明质酸酶(含100mL酶解缓冲液) 10mL5-溴-4-氯-3-吲哚基-Β-D-葡萄糖醛酸钠盐质量规格:>98%,分子生物学级X-GLUC, salt |
| 外周血白细胞Many types of cells包装:5 × 105方(1ml)川续断皂苷VI;木通皂苷D(标准品)质量规格:HPLC≥98%,标准品Asperosaponin Ⅵ | 人胎儿胸腺细胞株;HFT-8810 [HFT8810]十一酸(标准品)Undecanoic acid质量规格:分析标准品,>99.5%(GC) |
| Primarker™人结肠平滑肌细胞鉴定试剂盒 | 人胚肺二倍体细胞;HEL-1 人胃粘膜上皮细胞完全培养基 100mL1-苄基D-谷氨酸1-Benzyl D-Glutamate质量规格:0.98 |
| PI3 Others Human 人 Elafin / WFDC14 / appin-2 人细胞裂解液 (阳性对照) 固盐shēng huà shì jì容量:2~8°C50毫克 | tTA基因修饰的小鼠畸胎瘤细胞(B类);P19-CAG-tTA-1F3钍试剂Thorin质量规格:0.9 |
| NCI-H2452(人间皮瘤细胞) 5×106cells/瓶×21-(三氟乙酰)咪唑(用于GC衍生化,≥98.5%)1-(Trifluoroacetyl)imidazole质量规格:用于GC衍生化,≥98.5% | 人胎盘羊膜细胞提取物 |
| CXCL12 Protein Human 重组人 CXCL12 / SDF-1 蛋白葡聚糖凝胶 Sephade... Sephadex G-50 Superfine 9048-71-9 100G 分离试剂 | 直肠上皮细胞和肿瘤原代细胞提取物 |
| CNE(人鼻咽癌细胞) 5×106cells/瓶×2 CL-0134KU812(人外周血嗜碱性白血病细胞)5×106cells/瓶×2 杂交瘤(B类);Z1510A2G6A2C7春雷盐酸盐(标准品)Kasugamycin hydrochloride质量规格:分析标准品,≥90% (HPLC) | 人铁-过氧化物岐化酶酶联免疫试剂盒 |
| A101D细胞EGF Others Mouse 小鼠 EGF / Epidermal Growth Factor 人细胞裂解液 (阳性对照) 雌三醇Estriol质量规格:>98.5%,BR,可用于细胞培养 | 人抗信号识别颗粒54kDa蛋白酶联免疫试剂盒 |
| CL-0105Hepa 1-6(小鼠肝癌细胞)5×106cells/瓶×2IODOACETAMIDE代乙酰胺蛋白组学级 | 人毒蕈碱型乙酰胆碱受体M2酶联免疫试剂盒 |
| 615小鼠癌瘤株;Ca759阿魏酸钠 ferulic质量规格:>99% | 人8-异构前列腺素F2α酶联免疫试剂盒 |
注意事项:
1.收到细胞后,若发现干冰已挥发干净、冻存管瓶盖脱落、破损及细胞有污染,请立即与我们系。
2.收到细胞先不开瓶盖,瓶身擦拭酒精后放在培养箱静置2-4小时(视细胞密度而定)稳定细胞状态。接着在倒置显微镜下观察细胞生长情况,并对细胞进行不同倍数拍照(建议收细胞时就整体外观拍一张照片,观察培养基的颜色和是否有漏液情况,随后在显微镜下拍下细胞状态,100*,200*各一张),观察记录细胞在运输过程中是否有污染情况。作为我方进行销售依据。
3.由于细胞状态受环境、操作和运输等多方面因素影响,故本公司只保证客户收到细胞后一周内的细胞状态,故客户需要售后时需出示收到细胞的时间证明及客户提供收货时间和发现问题后客服人员沟通的时间证明,期间间隔时间不能大于7天。
4.所有动物细胞均视为有潜在的生物危害性,必须在二级生物安全台内操作,并请注意防护,所有废液及接触过此细胞的器皿需要灭菌后方能丢弃。
5.客户在细胞培养过程中任何问题可联系我们在线客服,我们随时给予解答。
风险提示:丁香通仅作为第三方平台,为商家信息发布提供平台空间。用户咨询产品时请注意保护个人信息及财产安全,合理判断,谨慎选购商品,商家和用户对交易行为负责。对于医疗器械类产品,请先查证核实企业经营资质和医疗器械产品注册证情况。
文献和实验首先要把0.25%的胰酶和培养液在37度水浴20~30分钟(预热)。从培养箱中拿出培养的细胞瓶(一般我是让它长到90%几再传代的),吸去培养液,可用PBS洗两遍。也可不洗。加入适量0.25%胰酶消化(试瓶子的大小而定,如250毫升的瓶子加1毫升就行了),让它都浸湿细胞就可以吸去了。等个三十秒就在手上拍打,不要太用劲。就可以看到细胞脱落了,再加入3毫升左右的培养液吹打(这时加的培养液不要太多,否则难吹打成单个细胞!),制成细胞悬液,再传至消毒的培养瓶中(我一般是1传三,三天后又可以传代了)再加
3D(三维)细胞培养使细胞聚集生长,形成组织样结构,更好的模拟体内生理状况。瑞士insphero公司的3D细胞培养技术无需使用支架介质,通过悬滴法给细胞提供一个更加接近体内生存条件的微环境,使细胞形成3D微组织,从而更好地模拟体内细胞生长情况,更直观的反映细胞生物学和功能,更准确的构建靶组织模型。 InSphero公司的3D细胞悬滴培养板使用的是GravityPLUS™自动悬滴板,使用这一平台将自己的细胞培养成微组织。 GravityPLUS™平台使用专利技术,在96孔板中实现经典悬滴
故障现象一:1mV定标时,峰值为负 分析及检修:此故障的原因有两方面,1.紫外检测电路,即电流放大器A101、A102,对数放大器A201、A202有故障;2.光路部分的故障。 将D2断开,关闭光路,在无信号的情况下调节调零电阻,包括粗调、细调旋钮,见终端显示基线可调零,说明电路部分工作正常,问题在光路部分。用无水乙醇清洗比色池,将手动波长调节旋钮调到零光谱,看光斑是否在比色池前的入口中央。其上下位置偏移影响波长的精度,左右位置偏移影响峰值。现光斑上下位置尚可
技术资料暂无技术资料 索取技术资料






![NCI-H720 [H720]细胞](https://img1.dxycdn.com/2023/0912/193/6547414015377041071-14.jpeg!wh200)


