万千商家帮你免费找货
0 人在求购买到急需产品
- 详细信息
- 技术资料
- 供应商:
上海联祖
- 库存:
38
- 英文名:
LK-2
- 是否是肿瘤细胞:
否
- 规格:
T25培养瓶
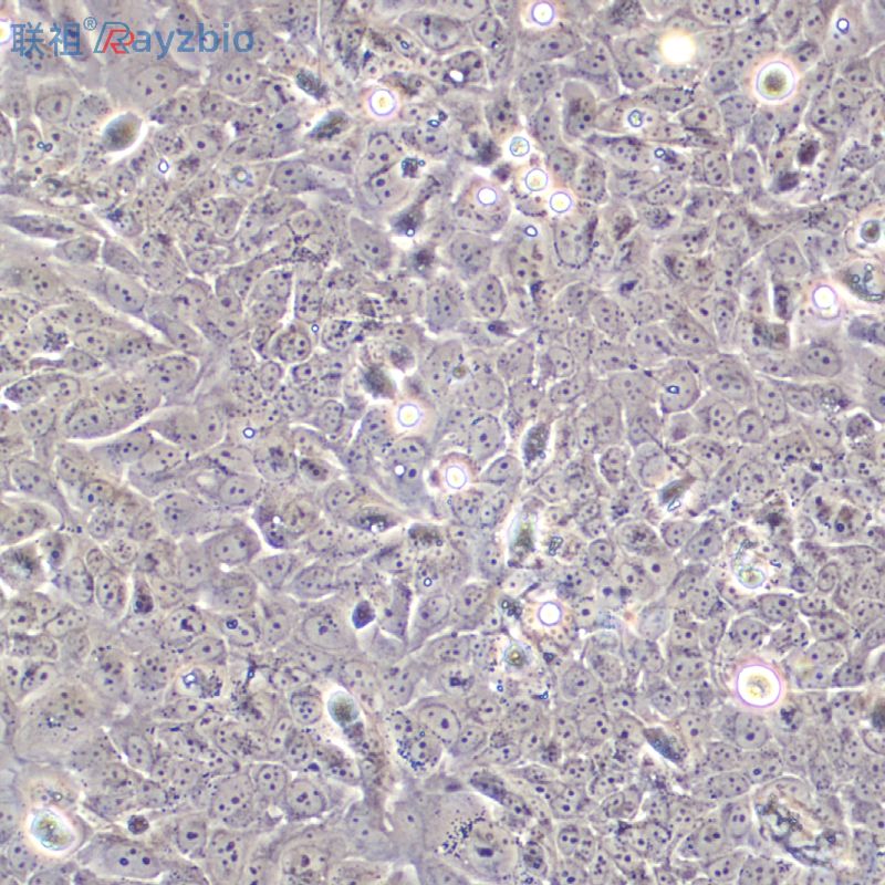
LK-2细胞
| 细胞名称 | LK-2细胞 |
| 货号 | LZ-X968978 |
| 规格 | 1×10⁶/T25培养瓶 |
| 形态特征 | |
| 生长特性 | |
| 完全培养基 | RPMI1640+10%FBS |
| 培养条件 | 温度:37℃ |
| 传代方法 | |
| 特征特性 |
公司正在出售的产品:
| Primarker™小鼠嗅鞘细胞鉴定试剂盒 | 牛肾细胞;MDBKFerricxy7noxide有水氧化铁1克2.7N,99.7% |
| Primarker™小鼠肺微血管内皮细胞鉴定试剂盒 | CM-H027人成纤维细胞完全培养基100mL超细高岭土(6000(3.5um))质量规格:6000(3.5um)Kaolin(superfine) |
| SUP-B15人Ph+急淋白血病细胞系 SUP-B15 acute lymphoblastic leukemia cell line Ph+ IMDM培养基(GIBCO)+20%FBS二苯基砜-4,4'-二氯-3,3'-二磺酸二钠(>98.0%(HPLC)(T))质量规格:>98.0%(HPLC)(T)Di Diphenylsulfone-4,4'-dichloro-3,3'-disulfonate | 人巨细胞白血病细胞株;Mo7e差向-加兰他敏N氧化物Epi-galanthamine N-Oxide |
| 小鼠主动脉平滑肌细胞提取物【Mouse Aorta: Normal Aortic Smooth Muscle Cell Derivatives】 | DPYS Others Human 人 DPYS / Dihydropyrimidinase 杆状病毒-昆虫细胞裂解液 (阳性对照) 抑氨肽酶(进口)质量规格:>99%,美国进口sc-202975Bestatin,Ubenimex |
| 人肝脏星形细胞裂解物HHSteCLD-葡萄糖酸溶液25克 | 人上皮细胞总RNAHMEpiC NA聚酰胺粉(柱层析用,10-30目)Polyamide质量规格:柱层析用,10-30目 |
| 人睾丸支持细胞提取物【Human Testis : Normal Sertoli Cell Derivatives】 | HDLEC adult Pellet 人类皮肤管内皮细胞团块(成年捐献者) > 1 mio.cells 角质细胞生长添加物(不含BPE)KGS-2L-天冬氨酸-β-苄酯/L-天冬氨酸-4-苄酯质量规格:>98%,BRL-Aspartic acid β-benzyl ester |
| FGFR3 Others Mouse 小鼠 FGFR3 / CD333 人细胞裂解液 (阳性对照) 四甘醇,英文名或英文缩写:TEG,级别:AR,98.5%,规格:5克 | Hep 3B(人肝癌细胞) 5×106cells/瓶×2 CL-0434SC-1(小鼠胚胎细胞)5×106cells/瓶×2 人肾小管上皮细胞;HKC强力碱/强力一水合物Doxycycline monohydrate/Doxycycline base质量规格:>900μg/mg,USP,BR,可用于细胞培养 |
| Primarker™小鼠直肠平滑肌细胞鉴定试剂盒 | 小气道平滑肌细胞Many types of cells包装:5 × 105方(1ml)促皮质素释放因子,绵羊质量规格:>95%,BRCorticotropin Releasing Factor,ovine |
| 恒河猴肾细胞;RM-316373-93-62-脱氧腺苷一水合物 ≥99%2'-Deoxyadenosine monohydrate | FASLG Protein Human 重组人 Fas Ligand / FASLG / CD95L 蛋白 (His 标签)11-羟基柳杉酚(标准品)11-hydroxy-sugiol 质量规格:HPLC≥98%,标准品 |
| CL-0233THP-1(人髓系白血病单核细胞)5×106cells/瓶×2n-Dodecyl-b-D-thiomaltosiden-Dodecyl-b-D-thiomaltoside质量规格:BR | MDCK(NBL-2)狗肾细胞 MDCK (NBL-2) dog kidney cells MEM(GIBCO)+10%FBS熊果苷质量规格:≥98%,BRArbutin |
| SPI1 Others Human 人 SPI1 / HAI-1 人细胞裂解液 (阳性对照) 藤黄酸(标准品)质量规格:HPLC≥97%,标准品Gambogic acid | 人整合SV40基因的上皮细胞;HBL-100 [HBL100]5‘-腺嘌呤核苷酸二钠盐(AMP2Na)5'-AMP-Na2质量规格:>98%,BR |
| 人间充质干细胞-脐带 小鼠骨骼肌肌肉母瘤细胞,G-7细胞 P815(肥大细胞瘤细胞)硬脂酸(Standard for GC,>99%(GC))Stearic acid质量规格:Standard for GC,>99%(GC) | 人细胞角蛋白18-M65酶联免疫试剂盒 |
| LK-2细胞EPHB4 Others Human 人 EphB4 / HTK 人细胞裂解液 (阳性对照) 大车前苷(标准品)Plantamajoside质量规格:HPLC≥98%,标准品 | 人类白细胞抗原E酶联免疫试剂盒 |
| CM-R011大鼠肺大动脉内皮细胞完全培养基100mLD-半乳糖醛酸 D-(+)-Galacturonic acid monohydrate,≥... 91510-62-2 1G 通用试剂 | 人钙激活中性蛋白酶6酶联免疫试剂盒 |
| 人肺细胞;HLF-a2-苄基咪唑啉2-Benzylimidazoline | 人CXC趋化因子受体7酶联免疫试剂盒 |
注意事项:
1.收到细胞后,若发现干冰已挥发干净、冻存管瓶盖脱落、破损及细胞有污染,请立即与我们系。
2.收到细胞先不开瓶盖,瓶身擦拭酒精后放在培养箱静置2-4小时(视细胞密度而定)稳定细胞状态。接着在倒置显微镜下观察细胞生长情况,并对细胞进行不同倍数拍照(建议收细胞时就整体外观拍一张照片,观察培养基的颜色和是否有漏液情况,随后在显微镜下拍下细胞状态,100*,200*各一张),观察记录细胞在运输过程中是否有污染情况。作为我方进行销售依据。
3.由于细胞状态受环境、操作和运输等多方面因素影响,故本公司只保证客户收到细胞后一周内的细胞状态,故客户需要售后时需出示收到细胞的时间证明及客户提供收货时间和发现问题后客服人员沟通的时间证明,期间间隔时间不能大于7天。
4.所有动物细胞均视为有潜在的生物危害性,必须在二级生物安全台内操作,并请注意防护,所有废液及接触过此细胞的器皿需要灭菌后方能丢弃。
5.客户在细胞培养过程中任何问题可联系我们在线客服,我们随时给予解答。
风险提示:丁香通仅作为第三方平台,为商家信息发布提供平台空间。用户咨询产品时请注意保护个人信息及财产安全,合理判断,谨慎选购商品,商家和用户对交易行为负责。对于医疗器械类产品,请先查证核实企业经营资质和医疗器械产品注册证情况。
技术资料暂无技术资料 索取技术资料
LK-2细胞
¥800 - 4000









