万千商家帮你免费找货
0 人在求购买到急需产品
- 详细信息
- 文献和实验
- 技术资料
- 供应商:
上海联祖
- 库存:
33
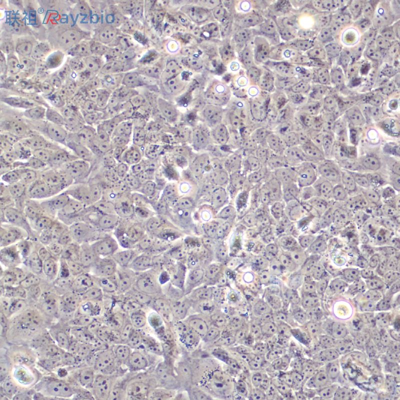
- 英文名:
SNU-840
- 是否是肿瘤细胞:
否
- 规格:
T25培养瓶
| 产品名称 | 规格 | 货号 |
| SNU-840细胞 | T25瓶 | LZ-X9086 |
含量:>1x10^6 细胞数
规格:T25瓶
用途:仅供科研使用。
干冰运输及复苏好存活细胞
(1)1mL冻存管包装干冰运输,收到后-80度冰箱保存过夜后转入液氮或直接复苏,若发现干冰已挥发干净、冻存管瓶盖脱落、破损及细胞有污染,请立即与我们联系。
(2)T25瓶复苏的存活细胞常温发货,收到后按照细胞接收后的处理方法操作。
1) 收到细胞后,75%酒精消毒瓶壁将T25瓶置于37℃培养箱放置约2-3h,若发现培养瓶破损、有液溢出及细胞有污染,请拍照后及时联系我们。
2)请在4或5X显微镜下确认细胞状态,同时给刚收到的细胞拍照(10×,20×)各2-3张以及培养瓶外观照片一张留存,作为售后时收到时细胞状态的依据。
3) 悬浮细胞:T25瓶置于37℃培养箱放置约2-3h,然后抽出瓶中的培养基和细胞1000rpm离心5分钟,弃去上清重悬后接种到新的培养瓶中(加入按照说明书细胞培养条件新配制的完全培养基)。
4)备注:运输用的培养基(灌液培养基)不能再用来培养细胞,请换用按照说明书细胞培养条件新配制的完全培养基来培养细胞。 收到细胞后第一次传代建议T25培养瓶1:2传代 。 一.培养基及培养冻存条件准备:
1) 准备培养基;优质胎牛血清,10%;双抗,1%。备注:该细胞为悬浮并部分聚团生长
2) 培养条件: 气相:空气,95%;二氧化碳,5%。 温度:37摄氏度,培养箱湿度为70%-80%。
3) 冻存液:90%血清,10%DMSO,现用现配。
二. 细胞处理:
1) 冻存细胞的复苏:
将含有1mL细胞悬液的冻存管在37℃水浴中迅速摇晃解冻,加入到含4-6mL完全培养基的离心管中混合均匀。在1000RPM条件下离心3-5min,弃去上清液,完全培养基重悬细胞。然后将细胞悬液加入含6-8ml完全培养基的培养瓶(或皿)中37℃培养过夜。第二天显微镜下观察细胞生长情况和细胞密度。
2) 细胞传代:如果细胞密度达80%-90%,即可进行传代培养。
对于悬浮细胞,传代可参考以下方法:
悬浮状态下生长的细胞,可以通过向培养瓶中添加完全培养基来维持细胞的生长状态,一般情况下细胞密度维持在1×105~1×10^6个/mL(不同细胞对密度要求不同,)可以维持细胞的正常生长。如需分瓶可以将细胞悬液收集到离心管中1000rpm,离心5min,弃去上清,补加1-2mL培养液后重悬混匀后将细胞悬液按1:2的比例分到新T25瓶中,添加6-8ml按照说明书要求配置的新的完全培养基以保持细胞的生长活力,后续传代根据实际情况按1:2~1:5的比例进行。
3) 细胞冻存: 收到细胞后建议在培养前3代时冻存一批细胞种子以备后续实验使用。
下面T25瓶为例;
1. 细胞冻存时按照细胞传代的过程收集消化好的细胞到离心管中,可使用血球计数板计数,来决定细胞的冻存密度。一般细胞的推荐冻存密度为1×10^6~1×107个活细胞/ml.
2. 1000rpm离心3-5min,去掉上清。用配制好的细胞冻存液重悬细胞 ,按每1ml冻存液含1×10^6~1×107个活细胞/ml分配到一个冻存管中将细胞分配到冻存管中,标注好名称、代数、日期等信息。
3. 将要冻存的细胞置于程序降温盒中,-80度冰箱中过夜,之后转入液氮容器中储存。同时记录好冻存管在液氮容器中的位置以便后续查阅和使用。
| Primarker™大鼠晶状体上皮细胞鉴定试剂盒 | EPHA4 Others Rat 大鼠 EphA4 人细胞裂解液 (阳性对照) 氧化酶测试盒20个/包 |
| Primarker™大鼠视网膜血管内皮细胞鉴定试剂盒 | 非洲绿猴肾细胞系/HCV-NS5A;Vero-HCV-NS5A腐草质量规格:≥97%,进分Phleomycin |
| 细胞大蓟苷质量规格:HPLC≥98%,标准品Pectolinarin | 小鼠胚胎成纤维细胞;3T6-Swiss albino托品醇(盐酸托烷司琼杂质)(标准品)Tropine质量规格:供检查用 |
| 大鼠膀胱平滑肌细胞提取物【Rat Bladder:Normal Bladder Derivatives】 | RSPO1 Others Human 人 R-Spondin 1 / RSPO1 人细胞裂解液 (阳性对照) 川芎嗪Tetramethylpyrazine质量规格:≥98%,BR |
| 293T/17[HEK 293T/17]细胞,人胚肾细胞 人胆管细胞型肝癌细胞,HCCC-9810细胞 CL-0160Molt-4(人急性母细胞白血病细胞)5×106cells/瓶×2wo7iumACETATE,2MSOLUTION,pH4.2醋酸钠溶液生物技术级透明无色液体RTsigma | CD34 Others Mouse 小鼠 CD34 人细胞裂解液 (阳性对照) PF-562271PF562271质量规格:>98%,FAK抑制剂 |
| 人胃癌组织源成纤维细胞提取物【Human Cancer: Stomach Cancer Fibroblast Derivatives】 | 大额牛与婆罗门牛杂交F1代皮肤成纤维样细胞;BOS-6 羊膜细胞,WISH细胞 786-O [786-0](肾透明细胞腺癌细胞)琼脂糖(美仑电泳级)质量规格:美仑,电泳级Agarose |
| 人表皮角质细胞-总RNAHEK-a NA金25克 | SHH Protein Human 重组人 SHH / Sonic hedgehog 蛋白 (aa 198-462, His 标签)新补骨脂异黄酮(标准品)Neobavaisoflavone质量规格:HPLC≥98%,标准品 |
| Primarker™人肾MatchPair™鉴定试剂盒 | Romas(人瘤细胞) 5×106cells/瓶×2蛋黄卵1脂质量规格:BRLecithin from egg |
| 二氢叶酸还原酶缺陷型中国仓鼠卵巢细胞;CHO/dhFr-GLYCEROL甘油蛋白组学级无色至几乎无色粘稠液体RTsigma | TNFSF11 Protein Cynomolgus 重组食蟹猴 RANKL / OPGL / TNFSF11 蛋白 (Fc 标签)石英砂(AR,8-16目或1-2mm)Sand质量规格:AR,8-16目或1-2mm |
| Bowes Melanoma细胞,色素瘤细胞 人原髓细胞白血病细胞,AL7P/HL-60R细胞 人结直肠腺癌细胞;HT-29十三烷(Standard for GC,>99%(GC))Tridecane质量规格:Standard for GC,>99%(GC) | 人食管平滑肌细胞提取物 |
| Y1细胞,肾上腺皮质细胞 人胰腺癌细胞,MIApaca-2细胞 CM-M008小鼠支气管成纤维细胞完全培养基100mL369-07-32-硝基本-β-D-半乳糖苷(+4°C)2-nitnopxenyl-beta-D-galactopyranoside | 大鼠脑成纤维细胞提取物 |
| TDGF1 Protein Rat 重组大鼠 Cripto / TDGF1 蛋白 (His 标签)9,10-菲醌(>99.0%(GC))9,10-Phenanthrenequinone质量规格:>99.0%(GC) | 人脱氢表雄酮酶联免疫试剂盒 |
| SNU-840细胞人角膜细胞HK高钙血症恶性因子(1-34), 人Hypercalcemia Malignancy Factor (1-34), human质量规格:>95%,BR | 人抗硬皮病抗体70酶联免疫试剂盒 |
| 人肝脏星形细胞总RNAHHSteC NA吡罗红甲基绿Pyronine metxyl green | 人多巴胺脱羧酶酶联免疫试剂盒 |
| IFNA13 Others Mouse 小鼠 IFNA13 / Ierferon alpha-13 人细胞裂解液 (阳性对照) 盐酸阿扎司琼Azasetron HCl质量规格:>98.5%,BR | 人apelin13酶联免疫试剂盒 |
风险提示:丁香通仅作为第三方平台,为商家信息发布提供平台空间。用户咨询产品时请注意保护个人信息及财产安全,合理判断,谨慎选购商品,商家和用户对交易行为负责。对于医疗器械类产品,请先查证核实企业经营资质和医疗器械产品注册证情况。
文献和实验师从施一公,发表 6 篇Science/3篇 Cell,她被誉为「世界最具潜力女科学家」| 论文盘点
体」这一世界级难题。 RNA 剪接是生命体解读遗传密码的核心步骤,即把遗传密码中的内含子「剪」出来,外显子「接」一起的过程,由细胞核内的剪接体负责执行。人类的遗传疾病大约有 35% 都是因为剪接异常造成的。然而,剪接体催化过程中不同构象高分辨率结构的缺失严重限制了大家对其工作机制以及 RNA 剪接的分子机理的理解。因此,对于剪接体以及 RNA 剪接通路上各复合物结构的研究,是当今世界最富有挑战性、最亟待解决的课题之一。 她曾以第一作者和共同第一作者的身份在 Science 上发表 6 篇论文
Nat Methods:殷昊团队开发不依赖 DNA 供体高效靶向插入基因组的新方法:GRAND editing
机制所介导的高效靶向插入系统:GRAND editing。 Prime editing 是 2019 年 Broad 研究所 David. Liu 团队研发出的一种可以在人类细胞进行 12 种碱基间变换,以及小片段插入和删除的基因编辑工具 4。Prime editing 通过在 nCas9 (H840A) 基础上连接逆转录酶,在含有 RNA 模板的 pegRNA 引导下,可实现不依赖外源 DNA 供体的小片段靶向插入(图 1,左)。由于其最长插入片段仅为 44 bp,无法满足大片段 DNA 精准插入
血清肿瘤标志物检测是临床上诊断胃癌的有效方式之一。 癌胚抗原 (CEA) 是临床上常用的肿瘤标志物之一,它属于糖蛋白,其相对分子量较大。健康人血液中 CEA 的含量极低,而恶性肿瘤患者血液中 CEA 的含量会明显升高。然而本例患者的 CEA 正常。 AFP 是一种由肝脏、卵黄囊和胃肠道产生和分泌的糖蛋白 [3],通常作为肝细胞癌 (HCC) 或卵黄囊肿瘤的重要肿瘤标志物。但在 HCC 和卵黄囊肿瘤以外的一些疾病中,血清 AFP 水平也较高,其中以胃癌最为常见 [4-5]。除了肝癌和胃癌,AFP 升高还可以见于睾丸
技术资料暂无技术资料 索取技术资料









