万千商家帮你免费找货
0 人在求购买到急需产品
- 详细信息
- 询价记录
- 文献和实验
- 技术资料
- 供应商:
上海联祖
- 库存:
20
- 英文名:
HCC2218
- 生长状态:
悬浮生长
- 是否是肿瘤细胞:
否
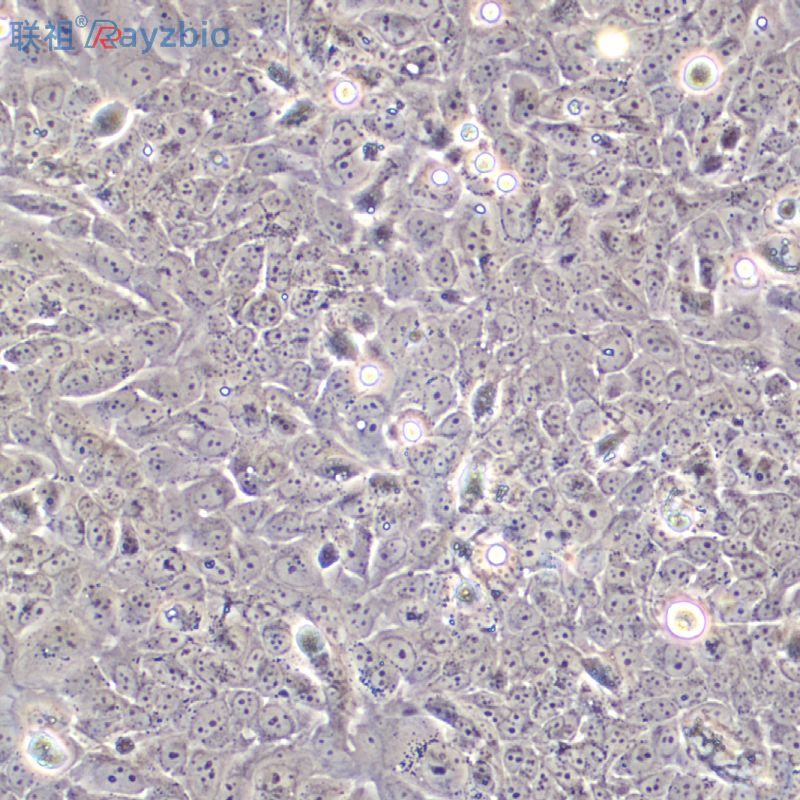
- 细胞形态:
上皮样
- 规格:
T25培养瓶
| 细胞名称 | HCC2218细胞 |
| 货号 | LZ-X968805 |
| 规格 | 1×10⁶/T25培养瓶 |
| 形态特征 | 上皮样 |
| 生长特性 | 悬浮生长 |
| 完全培养基 | RPMI1640+10%FBS |
| 培养条件 | 温度:37℃ |
| 传代方法 | 每周换液2~3次 |
| 特征特性 |
公司正在出售的产品:
| PrimaCell™大鼠角膜成纤维细胞试剂盒 | 人间充质干细胞-脐带2,2,2-三溴醇 97% 2,2,2-Tribromoqthcnol 72-80-9 |
| PrimaCell™大鼠肾系膜细胞试剂盒 | ZA1细胞,转S9基因仓鼠卵巢细胞 PC-12未分化(大鼠肾上腺嗜铬细胞瘤) 中国仓鼠肺细胞;R 1610 [R1610]AEBSF丝氨酸抑制剂AEBSF HCl质量规格:>98%,BR |
| HCCC-9810细胞,胆管细胞型肝癌细胞 人二倍体细胞系,HL细胞 小鼠肝癌细胞;Hepa 1-6 [Hepa1-6]三四胺六乙酸 TTHA,≥98.0% 869-52-3 1G 通用试剂 | 人胃癌细胞;MKN-45n-Dodecyl-b-D-thiomaltoside质量规格:BRn-Dodecyl-b-D-thiomaltoside |
| 人肝癌组织源细胞【Human Cancer: Liver Cancer Tissues Cells】 | WERI-Rb-1(人视网膜神经胶质瘤细胞) 5×106cells/瓶×2 LX-2, 人肝星形细胞株利拉萘酯质量规格:>99%,ARLiranaftate |
| GUCA1A Others Human 人 GCAP1 / GUCA1A 杆状病毒-昆虫细胞裂解液 (阳性对照) 3,3-二氧基联本安二言醋盐 3,3'-Dimqthoxybqnzidinq dixy7nochloridq 032-40-0 | TERF1 Others Human 人 TERF1 / F1 杆状病毒-昆虫细胞裂解液 (阳性对照) 大豆卵1脂(高)Lecithin质量规格:HPLC>98%,BR |
| 小鼠脑动脉血管内皮细胞提取物【Mouse Brain : Normal Cerebral Vascular Endothelial Cells Derivatives】 | 人少突胶质前体细胞(悬浮生长)总RNAHOPC-os NAD-谷氨酸质量规格:0.98D-Glutamic acid |
| SEMA4D Others Rat 大鼠 Semaphorin 4D / SEMA4D / CD100 人细胞裂解液 (阳性对照) CalciumPyruvate焦葡萄酸钙50克BR,97% | 神经少突起前质胶质细胞Many types of cells包装:5 × 105方(1ml)炔雌醇Ethiny Estradiol质量规格:>98%,可用于细胞培养 |
| 大鼠脑动脉血管平滑肌细胞【Rat Heart: Normal Aortic Smooth Muscle Cells】 | 人星形胶质细胞cDNAHA cDNA5-氮胞苷/阿扎胞苷(标准品)质量规格:HPLC>98%,标准品Azacitidine (5-Azacytidine) |
| IL17RA Others Rat 大鼠 IL17RA / IL17R 人细胞裂解液 (阳性对照) DL-HistidineHCLH2ODL-氢录组酸5克BR,99% | 大鼠垂体细胞(RPC)(1×106) A549/DDP, 人肺腺癌耐药细胞株 Human米格列醇(标准品)Miglitol质量规格:GC>98%,标准品 |
| PrimaCell™大鼠支气管成纤维细胞试剂盒 | Ishikawa人子宫内膜癌细胞 Human endomeial carcinoma cells Ishikawa RPMI-1640+10%FBS氟胞嘧啶/5-氟胞嘧啶质量规格:>99%,BR,可用于细胞培养Flucytosine |
| CHO, 中国仓鼠卵巢细胞系6-苄氧基华法林6-Benzyloxy Warfarin | DLD-1细胞,人结直肠腺癌上皮细胞 人视网膜母细胞瘤,Y79细胞 人导管癌细胞;ZR-75-30奈比洛尔盐酸盐;奈必洛尔Nebivolol hydrochloride质量规格:>99%,BR |
| H1299细胞,人肺腺癌细胞 SV40转化的非洲绿猴肾细胞,COS-7细胞 CM-M058小鼠膀胱上皮细胞完全培养基100mL2',3'-二脱氧鸟苷(ddG)2',3'-Dideoxyguanosine质量规格:>97%,进分 | 人延伸蛋白A酶联免疫试剂盒 |
| HCC2218细胞BEL-7405(人肝癌细胞) 5×106cells/瓶×2 人真皮成纤维母细胞-新生HDF-n十二烷(标准品)Dodecane质量规格:分析标准品,>99.7%(GC) | 人鸟苷酸交换因子酶联免疫试剂盒 |
| 人结肠平滑肌细胞HCSMC二流化钼 MOLYBDqNUM(IV) SULFIDq 1317-33-2 | 人活化素A酶联免疫试剂盒 |
| 人干细胞因子单克隆抗体细胞株;AMS2(SCF3)倍他米β-D-葡萄糖醛酸Betamethasone β-D-Glucuronide | 人α2抗纤溶酶酶联免疫试剂盒 |
注意事项:
1.收到细胞后,若发现干冰已挥发干净、冻存管瓶盖脱落、破损及细胞有污染,请立即与我们系。
2.收到细胞先不开瓶盖,瓶身擦拭酒精后放在培养箱静置2-4小时(视细胞密度而定)稳定细胞状态。接着在倒置显微镜下观察细胞生长情况,并对细胞进行不同倍数拍照(建议收细胞时就整体外观拍一张照片,观察培养基的颜色和是否有漏液情况,随后在显微镜下拍下细胞状态,100*,200*各一张),观察记录细胞在运输过程中是否有污染情况。作为我方进行销售依据。
3.由于细胞状态受环境、操作和运输等多方面因素影响,故本公司只保证客户收到细胞后一周内的细胞状态,故客户需要售后时需出示收到细胞的时间证明及客户提供收货时间和发现问题后客服人员沟通的时间证明,期间间隔时间不能大于7天。
4.所有动物细胞均视为有潜在的生物危害性,必须在二级生物安全台内操作,并请注意防护,所有废液及接触过此细胞的器皿需要灭菌后方能丢弃。
5.客户在细胞培养过程中任何问题可联系我们在线客服,我们随时给予解答。
风险提示:丁香通仅作为第三方平台,为商家信息发布提供平台空间。用户咨询产品时请注意保护个人信息及财产安全,合理判断,谨慎选购商品,商家和用户对交易行为负责。对于医疗器械类产品,请先查证核实企业经营资质和医疗器械产品注册证情况。
- 作者
- 内容
- 询问日期
文献和实验学问题。 案例一:多组学分析揭示肝癌起始细胞免疫逃逸机制和精准治疗策略 发表期刊:Cancer Cell 影响因子:44.5 发表时间:2024 年 12 月 研究疾病:肝细胞癌(Hepatocellular Carcinoma,HCC) 样本类型:患者来源的肝癌类器官(HCC organoids),肝癌细胞系(Hep3B,Huh7,PLC/PRF/5, MHCC97 H,Hep53.4)和小鼠模型(包括自发性肝癌模型和异种移植模型) 样本数量:11 个 HCC 类器官样本,4 个肝癌细胞系样本
文献速递:全面液体分析循环肿瘤DNA和蛋白质生物标志物为评估预后带来新的可能
研究背景 肝细胞癌(HCC)被认为是中国癌症相关死亡率的第三大原因。尽管手术是治疗HCC的较佳选择,但由于缺乏早期症状,大多数患者在癌症晚期才被诊断出来,因此肿瘤复发的风险很高。识别可能复发的患者并给予对应的辅助治疗,仍然是一个临床难题。循环肿瘤DNA(ctDNA),也可称为肿瘤衍生的细胞游离DNA,包含有关肿瘤基因组图谱的全面信息,包括单核苷酸变异(SNVs)、拷贝数变异(CNVs)和表观遗传变异。将ctDNA与HCC中的传统血清蛋白生物标志物结合将为无创监测实时肿瘤进展提供新的可能。
肝细胞癌(HCC)是肝癌的主要组织学亚型,占原发性肝癌的 90%,是全世界癌症相关死亡率的第三大常见原因。肝癌的诱因诸多,譬如遗传、表观遗传改变、慢性乙型肝炎、肥胖和糖尿病等都是肝癌的主要危险因素,而且肝癌预后差,复发率和转移率高。因此本篇应用单细胞测序技术研究案例分享以孙倍成教授带领其研究团队发表在国际免疫学顶级期刊 Immunity 上的肝癌(HCC)炎癌转化调控新机制说起! 1.文章介绍 论著题目:The zinc finger protein Miz1 suppresses liver
技术资料暂无技术资料 索取技术资料










