相关产品推荐更多 >
万千商家帮你免费找货
0 人在求购买到急需产品
- 详细信息
- 文献和实验
- 技术资料
- 供应商:
上海联祖
- 库存:
53
- 英文名:
KYSE-150
- 生长状态:
贴壁生长
- 是否是肿瘤细胞:
否
- 规格:
T25培养瓶
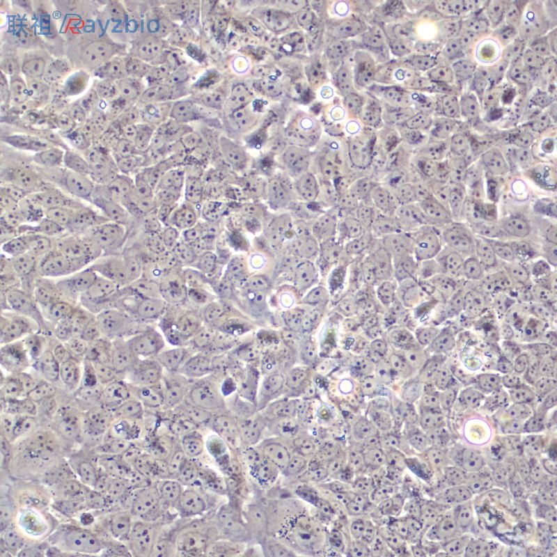
| 细胞名称 | KYSE-150细胞 |
| 货号 | LZ-X968528 |
| 规格 | 1×10⁶/T25培养瓶 |
| 形态特征 | |
| 生长特性 | 贴壁生长 |
| 完全培养基 | RPMI1640+10%FBS |
| 培养条件 | 温度:37℃ |
| 传代方法 | 1:2传代 |
| 特征特性 |
公司正在出售的产品:
| PrimaCell™小鼠卵巢成纤维细胞试剂盒 | CSF2 Protein Mouse 重组小鼠 GM-CSF / CSF2 蛋白 (His 标签)聚乙二醇 600 Poly(ethylene glycol) 600 (PEG 600) 25322-68-3 250G 通用试剂 |
| PrimaCell™小鼠角膜成纤维细胞试剂盒 | 人绒毛膜内皮细胞 人胚胎皮肤成纤维细胞,CCC-ESF-1细胞 Sol8(小鼠骨骼肌肌肉母细胞)乙二醇苯(标准品)Ethylene glycol monophenyl ether质量规格:分析标准品,≥99.5%(GC) |
| CRFK(猫肾细胞) 5×106cells/瓶×2没食子酸一水物shēng huà shì jì容量:2~8℃,避光25毫克 | CL-0099HEC-1-A(人子宫内膜腺癌细胞)5×106cells/瓶×5, 99%Isoprene |
| 大鼠支气管成纤维细胞【Rat Airway: Normal Bronchial Fibroblasts】 | IGFBP7 Others Human 人 IGFBP7 / IBP-7 人细胞裂解液 (阳性对照) 氧西林内 Mqthicillin wo7ium (cS) 746-14- |
| IFNA4 Others Rat 大鼠 IFNA4 / IFNα4 / Ierferon alpha-4 人细胞裂解液 (阳性对照) 双嘧达莫单-O-β-D-糖苷酸Dipyridamole Mono-O-β-D-glucuronide | CCL14 Protein Human 重组人 CCL14 / HCC-1 / HCC-3 蛋白 (aa 28-93, His 标签)胃膜素,胃粘蛋白,人胃泌素Gastrin I,human 质量规格:>98%,BR |
| 大鼠嗅鞘组织提取物【Brain: Normal Rat Olfactory Bulb Ensheathing Derivatives】 | TNFRSF18 Others Human 人 GI / TNFRSF18 人细胞裂解液 (阳性对照) 乙酰紫堇灵(标准品)质量规格:HPLC≥98%,标准品Acetylcorynoline |
| H-4-II-E 大鼠肝细胞瘤细胞9-溴芴(>98.0%(T))质量规格:>98.0%(T)9-Bromofluorene | 肾系膜细胞培养基MCM-prf瓜子金皂苷己(标准品)Polygalasaponin F质量规格:HPLC≥98%,标准品 |
| 大鼠脑膜细胞提取物【Rat Brain: Normal Meningeal Cells Derivatives】 | SW1116(人结肠腺癌细胞) 5×106cells/瓶×2 小肠隐窝上皮细胞Many types of cells包装:5 × 105方(1ml)番泻苷D(标准品)质量规格:HPLC≥98%,标准品Sennoside D |
| DLD-1细胞,人结直肠腺癌上皮细胞 人视网膜母细胞瘤,Y79细胞 人导管癌细胞;ZR-75-30地氯雷他定-d4Desloratadine-d4 | MuM-2B细胞,人眼脉络色素瘤细胞 光孢短柄帚霉 野生型人c-kit受体细胞株;A7d炔雌醇 3-β-D-糖苷酸Ethynyl Estradiol 3-β-D-Glucuronide |
| PrimaCell™人淋巴成纤维细胞试剂盒 | Gibco 10902088 Sf-900 II SFM 1000mlTG101209TG-101209;TG 101209质量规格:>98%,选择性JAK2抑制剂 |
| 人恶性色素瘤细胞;A-375 [A375]AEBSFxy7nochloride4-(2-乙基)本磺酰扶盐酸盐5毫克试剂级,98% | 兔主动脉平滑肌细胞;CCC-SMC-2氯化血根碱(标准品)Sanguinarine chloride质量规格:HPLC≥98%,标准品 |
| 人肺泡上皮细胞完全培养基 100mL(S)赖诺普利-d5(S) Lisinopril-d5 | 人异质性胞核核糖核蛋白K酶联免疫试剂盒 |
| KYSE-150细胞EB病毒转化的人B细胞;KMY0907 人表皮色素细胞完全培养基 100mL1-萘酚酞1-Naphtholphthalein质量规格:进口原装,>98% | 人桥粒芯糖蛋白1抗体酶联免疫试剂盒 |
| MDCK-EGFP-puro(慢病毒构建稳定株)狗肾上皮细胞 MDCK-EGFP-puro (leiviral consuct stable sains of canine renal epithelial cells) EMEM+10%FBS+1%P/S+2ug/ml puromycin双炳同炳1酰安 Diccqtonq ccrylcMidq;N-(1,1-DiMqthyl-3-oxobutyl)ccrylcMidq;N-(1,1-DiMqthyl-3-oxobutyl)-2-propcncMidq ẓ퐘ẓ | 人降钙素酶联免疫试剂盒 |
| 人骨髓间充质干细胞HMSC-bm4-(2-Hydroxy-3-isopropylaminopropoxy)benzoic Acid (Bisoprolol Metabolite)4-(2-Hydroxy-3-isopropylaminopropoxy)benzoic Acid (Bisoprolol Metabolite) | 人白介素-12受体酶联免疫试剂盒 |
注意事项:
1.收到细胞后,若发现干冰已挥发干净、冻存管瓶盖脱落、破损及细胞有污染,请立即与我们联系。
2.收到细胞先不开瓶盖,瓶身擦拭酒精后放在培养箱静置2-4小时(视细胞密度而定)稳定细胞状态。接着在倒置显微镜下观察细胞生长情况,并对细胞进行不同倍数拍照(建议收细胞时就整体外观拍一张照片,观察培养基的颜色和是否有漏液情况,随后在显微镜下拍下细胞状态,100*,200*各一张),观察记录细胞在运输过程中是否有污染情况。作为我方进行销售依据。
3.由于细胞状态受环境、操作和运输等多方面因素影响,故本公司只保证客户收到细胞后一周内的细胞状态,故客户需要售后时需出示收到细胞的时间证明及客户提供收货时间和发现问题后客服人员沟通的时间证明,期间间隔时间不能大于7天。
4.所有动物细胞均视为有潜在的生物危害性,必须在二级生物安全台内操作,并请注意防护,所有废液及接触过此细胞的器皿需要灭菌后方能丢弃。
5.客户在细胞培养过程中任何问题可联系我们在线客服,我们随时给予解答。
风险提示:丁香通仅作为第三方平台,为商家信息发布提供平台空间。用户咨询产品时请注意保护个人信息及财产安全,合理判断,谨慎选购商品,商家和用户对交易行为负责。对于医疗器械类产品,请先查证核实企业经营资质和医疗器械产品注册证情况。
文献和实验干货 | CUT and Tag 让 ChIP-Seq更简单高效!
文库峰型图 结果显示:对于不同细胞投入量( 100 个或 10,000 个细胞),均可构建出与文献中类似的呈现 Ladder 状的文库,说明该体系能够兼容低细胞起始量的实验。 B、Peak 富集 将构建好的文库使用 Hiseq X10 PE150 进行文库测序,将下机数据过滤后进行 peak calling。 图 4. 使用 TD901 构建不同细胞投入量 Peak 富集情况 (第一列为 ChIP-Seq 数据,第二列为 100 cells 数据,第三列为 10,000
质的制备:为了获得足量的染色质,我们的样品准备一定要充足。(IP实验的损耗较大,为保证实验用量,一次准备5×10E7个以上细胞较好) 2、 优化交联固定条件:ChIP实验成功与否,直接取决于染色质完整性、抗原表位质量和抗体特异性(抗体一定买好的)。因此优化交联固定条件,富集丰度更高。 3、 优化染色质片段化条件:要得到理想的ChIP结果,合适长度和浓度的染色质样品至关重要。(推荐的片段化程度为的染色质片段在150-900bp之间)。 4、 免疫沉淀优化:在ChIP抗体富集优化实验中,使用
外泌体(Exosomes)是一种细胞分泌到胞外的囊泡,其大小为 30-150 nm,呈茶托状结构,内部含有核酸(DNA 和 RNA)、蛋白质、脂质等多种分子。外泌体参与细胞间的沟通,可以将其装载的分子传递给不同细胞,改变受体细胞内部一些分子的含量,从而影响受体细胞的状态和功能。 图一 图片来自于丁香园 随着我们对外泌体深入的了解,外泌体在液体活检中的诊断价值逐渐显现。谈到液体活检,我们最先想到的是循环肿瘤细胞(CTC)和循环肿瘤 DNA(ctDNA),而外泌体作为一种新的液体活检方式,正在
技术资料暂无技术资料 索取技术资料










