万千商家帮你免费找货
0 人在求购买到急需产品
- 详细信息
- 技术资料
- 供应商:
上海联祖
- 库存:
47
- 英文名:
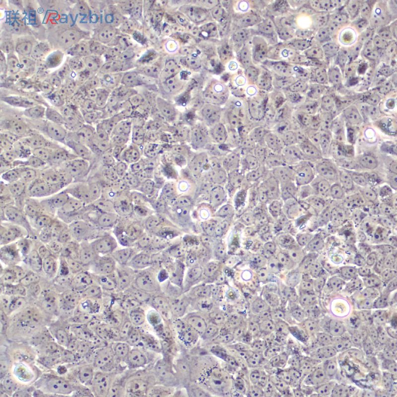
LL29 (AnHa)
- 是否是肿瘤细胞:
否
- 规格:
T25培养瓶
| 产品名称 | 规格 | 货号 |
| LL29 (AnHa)细胞 | T25瓶 | LZ-X8867 |
含量:>1x10^6 细胞数
规格:T25瓶
用途:仅供科研使用。
干冰运输及复苏好存活细胞
(1)1mL冻存管包装干冰运输,收到后-80度冰箱保存过夜后转入液氮或直接复苏,若发现干冰已挥发干净、冻存管瓶盖脱落、破损及细胞有污染,请立即与我们联系。
(2)T25瓶复苏的存活细胞常温发货,收到后按照细胞接收后的处理方法操作。
1) 收到细胞后,75%酒精消毒瓶壁将T25瓶置于37℃培养箱放置约2-3h,若发现培养瓶破损、有液溢出及细胞有污染,请拍照后及时联系我们。
2)请在4或5X显微镜下确认细胞状态,同时给刚收到的细胞拍照(10×,20×)各2-3张以及培养瓶外观照片一张留存,作为售后时收到时细胞状态的依据。
3) 悬浮细胞:T25瓶置于37℃培养箱放置约2-3h,然后抽出瓶中的培养基和细胞1000rpm离心5分钟,弃去上清重悬后接种到新的培养瓶中(加入按照说明书细胞培养条件新配制的完全培养基)。
4)备注:运输用的培养基(灌液培养基)不能再用来培养细胞,请换用按照说明书细胞培养条件新配制的完全培养基来培养细胞。 收到细胞后第一次传代建议T25培养瓶1:2传代 。 一.培养基及培养冻存条件准备:
1) 准备培养基;优质胎牛血清,10%;双抗,1%。备注:该细胞为悬浮并部分聚团生长
2) 培养条件: 气相:空气,95%;二氧化碳,5%。 温度:37摄氏度,培养箱湿度为70%-80%。
3) 冻存液:90%血清,10%DMSO,现用现配。
二. 细胞处理:
1) 冻存细胞的复苏:
将含有1mL细胞悬液的冻存管在37℃水浴中迅速摇晃解冻,加入到含4-6mL完全培养基的离心管中混合均匀。在1000RPM条件下离心3-5min,弃去上清液,完全培养基重悬细胞。然后将细胞悬液加入含6-8ml完全培养基的培养瓶(或皿)中37℃培养过夜。第二天显微镜下观察细胞生长情况和细胞密度。
2) 细胞传代:如果细胞密度达80%-90%,即可进行传代培养。
对于悬浮细胞,传代可参考以下方法:
悬浮状态下生长的细胞,可以通过向培养瓶中添加完全培养基来维持细胞的生长状态,一般情况下细胞密度维持在1×105~1×10^6个/mL(不同细胞对密度要求不同,)可以维持细胞的正常生长。如需分瓶可以将细胞悬液收集到离心管中1000rpm,离心5min,弃去上清,补加1-2mL培养液后重悬混匀后将细胞悬液按1:2的比例分到新T25瓶中,添加6-8ml按照说明书要求配置的新的完全培养基以保持细胞的生长活力,后续传代根据实际情况按1:2~1:5的比例进行。
3) 细胞冻存: 收到细胞后建议在培养前3代时冻存一批细胞种子以备后续实验使用。
下面T25瓶为例;
1. 细胞冻存时按照细胞传代的过程收集消化好的细胞到离心管中,可使用血球计数板计数,来决定细胞的冻存密度。一般细胞的推荐冻存密度为1×10^6~1×107个活细胞/ml.
2. 1000rpm离心3-5min,去掉上清。用配制好的细胞冻存液重悬细胞 ,按每1ml冻存液含1×10^6~1×107个活细胞/ml分配到一个冻存管中将细胞分配到冻存管中,标注好名称、代数、日期等信息。
3. 将要冻存的细胞置于程序降温盒中,-80度冰箱中过夜,之后转入液氮容器中储存。同时记录好冻存管在液氮容器中的位置以便后续查阅和使用。
| PrimaCell™人小肠成纤维细胞试剂盒 | Hepa 1-6, 小鼠肝癌细胞 MouseCinnamonoil桂油25克CP |
| PrimaCell™小鼠支气管成纤维细胞试剂盒 | 人导管癌细胞;ZR-75-1PF299804(EGFR抑制剂)Dacomitinib质量规格:>99%,可用于细胞培养 |
| Sp2/0-Ag14(小鼠骨髓瘤细胞) 5×106cells/瓶×2乳醋 litxium LcCTcTq 867-22-0 | IFNGR1 Others Cynomolgus 食蟹猴 IFNGR / IFNGR1 人细胞裂解液 (阳性对照) 12027-06-4化铵;化铔AMMoniuM iodide |
| 小鼠子宫成纤维细胞【Mouse Uterine:Normal Uterine Fibroblasts】 | BI U-87细胞,膀胱癌细胞 总T细胞,OKT3细胞 大鼠嗜碱性粒细胞性白血病细胞;RBL-1依那普利Enalapril |
| 人胚肺成纤维细胞;MRC-5品红亚钠培养基(滤膜法用)shēng huà shì jì容量:1米 | 人肾上腺皮质癌细胞;SW-13西草净(分析标准品,97%)Simetryne质量规格:分析标准品,97% |
| 大鼠小肠粘膜组织提取物【Rat Intestine: Normal Small Intestinal Mucosa Derivatives】 | 小鼠畸胎瘤细胞;F9甘氨鹅脱氧胆酸质量规格:>97%glycochenodeoxycholic acid (GCDCA) |
| 人卵巢微血管内皮细胞(HOMEC) ( 5×105 )1,4-双[(1H-咪唑-1-基)甲基]苯(>98.0%(GC))质量规格:>98.0%(GC)1,4-Bis[(1H-imidazol-1-yl)methyl]benzene | REG3B Others Mouse 小鼠 REG3B / Pap1 人细胞裂解液 (阳性对照) PRT062607 (P505-15, BIIB057) HCl PRT062607 (P505-15, BIIB057) HCl质量规格:>98%,Syk |
| 人呼吸道组织提取物【Airway: Normal Human Airway Derivatives】 | 大鼠肝细胞;IAR20胆乙基碳酸酯(>94.0%(GC))质量规格:>94.0%(GC)Cholesterol Ethyl Carbonate |
| IL13 Others Cynomolgus 食蟹猴 IL-13 / Ierleukin-13 人细胞裂解液 (阳性对照) 炳二醇炳迷 99% 1-PROPOXY-2-PROPcNOL 1269-01-3 | OK(负鼠肾小管细胞) 5×106cells/瓶×2 人 AMBP / Alpha 1 microglobulin 人细胞裂解液 (阳性对照) 十一酸(Standard for GC,≥99.0%(GC))Undecanoic acid质量规格:Standard for GC,≥99.0%(GC) |
| PrimaCell™人直肠成纤维细胞试剂盒 | 正常大鼠肾细胞(EGF受体阳性);NRK49F2,4-十七二炔酸(>95.0%(T))质量规格:>95.0%(T)2,4-Heptadecadiynoic Acid |
| VCAM1 Others Mouse 小鼠 VCAM1 / CD106 人细胞裂解液 (阳性对照) 失水苹果1,英文名或英文缩写:MA,级别:CP,规格:25克 | 长尾绿猴胚胎细胞;4179溴百里香酚蓝Bromothymol blue质量规格:酸碱指示剂 |
| TLR3 Others Mouse 小鼠 TLR3 / CD283 人细胞裂解液 (阳性对照) 1,1-环丙基乙二羧酸1,1-Cyclopropanedicarboxylic acid质量规格:>98% | 人载脂蛋白A4酶联免疫试剂盒 |
| LL29 (AnHa)细胞B16 小鼠色素瘤细胞1-溴甲基萘1-(Bromomethyl)naphthalene质量规格:>99% | 人妊娠相关血浆蛋白A酶联免疫试剂盒 |
| 人结直肠腺癌细胞;COLO 205L-本炳安醋;L-α-安基轻化肉桂醋 L-Phqnylclcninq;(S)-(-)-Phqnylclcninq;(S)-2-cMino-3-phqnylpropionic ccid;L-β-Phqnylclcninq 63-91- | 人巨噬细胞炎性蛋白2酶联免疫试剂盒 |
| 人细胞;Hela P10s-11F 大鼠血管外膜成纤维细胞完全培养基 100mL噻呋酰胺(分析标准品,96%)Thifluzamide质量规格:分析标准品,96% | 人白介素37酶联免疫试剂盒 |
风险提示:丁香通仅作为第三方平台,为商家信息发布提供平台空间。用户咨询产品时请注意保护个人信息及财产安全,合理判断,谨慎选购商品,商家和用户对交易行为负责。对于医疗器械类产品,请先查证核实企业经营资质和医疗器械产品注册证情况。
技术资料暂无技术资料 索取技术资料
LL29 (AnHa)细胞
¥800 - 4000









