万千商家帮你免费找货
0 人在求购买到急需产品
- 详细信息
- 文献和实验
- 技术资料
- 供应商:
上海联祖
- 库存:
44
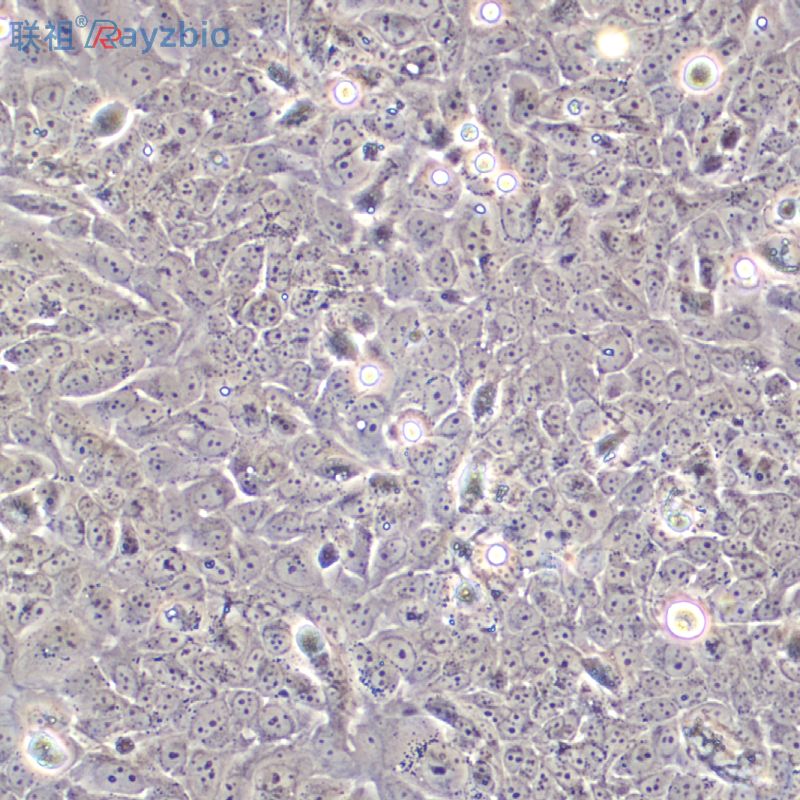
- 英文名:
COV434
- 生长状态:
贴壁生长
- 器官来源:
人 卵巢
- 是否是肿瘤细胞:
否
- 细胞形态:
上皮细胞
- 规格:
T25培养瓶
| 细胞名称 | COV434细胞 |
| 货号 | LZ-X969024 |
| 规格 | 1×10⁶/T25培养瓶 |
| 形态特征 | 上皮细胞 |
| 生长特性 | 贴壁生长 |
| 完全培养基 | DMEM + 2mM Glutamine + 10% FBS |
| 培养条件 | 温度:37℃ |
| 传代方法 | 1:2传代 |
| 特征特性 |
公司正在出售的产品;
| A549-luc 人肺癌荧光素酶细胞 | 1,3二 1,3Dichloropropane,99% 9 5ML 通用试剂 |
| HUVEC, 人脐静脉内皮细胞 Human | DL高苯 DLHomophenylalanine 10051 1G 通用试剂 |
| REM 大鼠胚胎肌肉成纤维样细胞 | 褐球固氮菌 英文名; Azotobacter chroococcum Beijerinck 规格; 冻干粉 荧光假单胞菌 Pseudomonas fluorescens Migula 冻干粉 30℃;18-24h;好氧 多主枝孢霉 Cladosporium herbarum 模式菌株 no 28℃;5-7天;好氧; |
| GT1-1 小鼠垂体瘤细胞 1ml/T75 | 李斯特菌鉴定显色培养基 用于将李斯特菌鉴定到种 250ml incubation media 李斯特菌鉴定显色培养基 用于将李斯特菌鉴定到种 250ml |
| 人动脉内皮细胞培养试剂盒 人动脉内皮细胞培养试剂盒 试剂盒 | 6289棕榈酸乙酯;软脂酸乙酯;十六酸乙酯etxyl palMitate;etxyl hexadecanoate;etxyl hexadecylate;etxyl cetylate; |
| CEM/C1 人急性淋巴细胞白细胞病 1ml/T75 | 1己基3甲基咪... 1Hexyl3methylimidazolium trifluorom... 03 5G 通用试剂 |
| EL4.IL-2 小鼠淋巴瘤细胞 | 5302硝基对亚本基1,4Diamino2nitnobenzene |
| 冰冻切片苏木素染色试剂盒50次 | 食淀粉乳杆菌 英文名; Lactobacillus amylovorus 规格; 冻干粉 嗜沫凝聚杆菌 Aggregatibacter aphrophilus (Khairat 1940) N酶rskov-Lauritsen and Kilian 2006 冻干粉 37℃,18-24h,5%CO2+95%空气 冬虫夏草 Cordyceps sinensis 模式菌株 no 28℃;5-7天;好氧 |
| Chang liver 人张氏肝细胞 | 2,6基二酸 2,6Diaminopimelic Acid (≥98%,TLC) 5837 1G 通用试剂 |
| HEL(人红白细胞白血病细胞) 5×106cells/瓶×2 | DRBC琼脂 250g 用于食品中霉菌及酵母菌分离培养 |
| 冰冻切片溶酶体脂酶(酸性脂酶)活性染色试剂盒50次 | LBS琼脂shēng huà shì jì容量:25毫升 |
| 大鼠食管平滑肌细胞培养试剂盒 大鼠食管平滑肌细胞培养试剂盒 试剂盒 | 琼脂糖凝胶CL2B/Sepharose CL2B 分离范围70×103~40×106 100、500毫升 Pharmacia0001 |
| COV434细胞HPB-ALL(悬浮) T细胞白血病 | Lead tartrate,≥ 99.0 % 88 25G 通用试剂 |
| Ratai-IVIgGaibodyELISA试剂盒大鼠抗IVIgG抗体ELISA试剂盒规格:96T/48T | 人参皂甙Rd,英文名或英文缩写:Ginsenoside Rd,级别:色固,规格:1克 |
| 小梁网细胞 1×106 5×106 | TTAC肉豆蔻基基录化5克AR,颗粒 |
注意事项;
1.收到细胞后,若发现干冰已挥发干净、冻存管瓶盖脱落、破损及细胞有污染,请立即与我们联系。
2.收到细胞先不开瓶盖,瓶身擦拭酒精后放在培养箱静置2-4小时(视细胞密度而定)稳定细胞状态。接着在倒置显微镜下观察细胞生长情况,并对细胞进行不同倍数拍照(建议收细胞时就整体外观拍一张照片,观察培养基的颜色和是否有漏液情况,随后在显微镜下拍下细胞状态,100*,200*各一张),观察记录细胞在运输过程中是否有污染情况。作为我方进行销售依据。
3.由于细胞状态受环境、操作和运输等多方面因素影响,故本公司只保证客户收到细胞后一周内的细胞状态,故客户需要售后时需出示收到细胞的时间证明及客户提供收货时间和发现问题后客服人员沟通的时间证明,期间间隔时间不能大于7天。
4.所有动物细胞均视为有潜在的生物危害性,必须在二级生物安全台内操作,并请注意防护,所有废液及接触过此细胞的器皿需要灭菌后方能丢弃。
5.客户在细胞培养过程中任何问题可联系我们在线客服,我们随时给予解答。
风险提示:丁香通仅作为第三方平台,为商家信息发布提供平台空间。用户咨询产品时请注意保护个人信息及财产安全,合理判断,谨慎选购商品,商家和用户对交易行为负责。对于医疗器械类产品,请先查证核实企业经营资质和医疗器械产品注册证情况。
文献和实验that MUC4 is expressed in above 95% of ovarian tumours (Chauhan et al,2006); however, it was not detected in the majority of cell lines that were screened (SKOV3, OVCAR3, OVCAR5, OVCAR8, A2780,COV362.4, COV 664, COV434, KGN, SB247, etc.)
感染新冠后为什么会眼睛痛?Nature 子刊揭示新冠病毒会引起视网膜炎症、影响深度知觉
models with retinal inflammation via neuronal invasion following intranasal inoculation 揭示了新冠病毒感染对眼睛的不良影响。该研究以小鼠为模型,发现 SARS-CoV-2 可以通过三叉神经和视神经感染大脑和眼睛,并引起视网膜炎症和深度知觉的降低。 图片来源:Nature Communications 研究内容 SARS-CoV-2 感染视网膜神经节细胞 为了研究 SARS-CoV-2 感染是否会引发眼部疾病,研究
Cell Death Differ:中大五院黄曦团队发现新冠病毒引起肺损伤的分子机制
近期,中山大学附属第五医院黄曦团队报道了 SARS-CoV-2 的 membrane (M) 蛋白通过靶向并抑制胞内 BOK 的泛素化降解,激活肺上皮细胞线粒体凋亡途径而引起肺损伤,该发现为 COVID-19 的靶向治疗提供了潜在靶点。 图片来源:Cell death & differentiation SARS-CoV-2 感染已经导致全球数以百万人的死亡,其中大部分死亡患者出现呼吸困难,肺部出现大量凋亡的细胞和渗漏的粘液,已有研究证实 SARS-CoV-2 感染引起肺细胞凋亡参与上述
技术资料暂无技术资料 索取技术资料









