万千商家帮你免费找货
0 人在求购买到急需产品
- 详细信息
- 文献和实验
- 技术资料
- 供应商:
上海联祖
- 库存:
49
- 英文名:
SK-LU-1
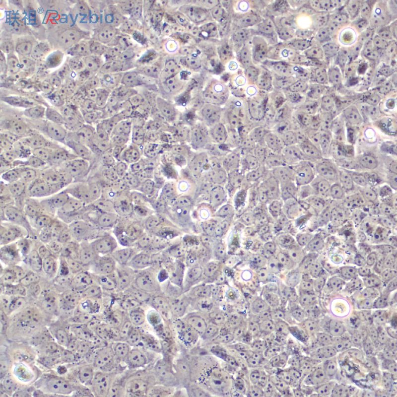
- 生长状态:
贴壁生长
- 器官来源:
肺
- 是否是肿瘤细胞:
否
- 细胞形态:
上皮细胞样
- 规格:
T25培养瓶
| 细胞名称 | SK-LU-1细胞 |
| 货号 | LZ-X968884 |
| 规格 | 1×10⁶/T25培养瓶 |
| 形态特征 | 上皮细胞样 |
| 生长特性 | 贴壁生长 |
| 完全培养基 | EMEM+10%FBS |
| 培养条件 | 温度:37℃ |
| 传代方法 | 1:2传代;每周换液2次。 |
| 特征特性 | SK-LUC-1细胞来源于一位60岁患有腺癌疾病的女性高加索人的肺组织 |
公司正在出售的产品;
| A-375 [A375], 人恶性黑素瘤细胞株 | 结晶紫中性红胆盐葡聚糖琼脂 VRBDA 250克 肠道菌计数和肠杆菌科鉴别 |
| 小鼠皮下结缔组织细胞 英文名称: L W-3A | 焦钠/Sodium pyrosulfate AR,40% 500克 国产/进口 |
| NRK 大鼠细胞 | 寄生曲霉 英文名; Aspergillus parasiticus Speare 规格; 冻干粉 长双歧杆菌婴儿 Bifiacterium longum-infantis 冻干粉 37℃;24-48h;厌氧; 巨大芽孢杆菌 Bacillus megaterium de Bary 模式菌株 no 30℃;18-24h;好氧; |
| C127 小鼠细胞 | Propylgallate没食子酸酯50毫克BR |
| 人成纤维细胞完全培养基 100mL | 录代十六烷shēng huà shì jì容量:保存:20℃250毫克 |
| DU145 人前列腺癌细胞 | 甘草酸 Glycyrrhizic acid (≥98%,HPLC) 05863 20MG 标准品 |
| CWbRS 刺毛鼠皮肤成纤维样细胞 | L缬酸盐酸盐25克RT,避光 |
| 小鼠Ⅱ型前胶原基端原肽(PⅡ)ELISA试剂盒 ,英文名: PⅡ ELISA Kit | 紫丁香蘑 英文名; Lepista nuda (Bull.) Cooke 规格; 斜面 新型隐球酵母AmMS 229 Cryptococcus neoformans (Sanfelice) Vuillemin 冻干粉 28℃,24-48h,好氧 人苍白杆菌 Ochrobactrum anthropi 模式菌株 yes 30℃;18-24h;好氧 |
| WHB-MB125 125ml 方形血清瓶/培养基瓶,灭菌-HOT 25个/包,350个/箱 | 2二苯基膦 2(Diphenylphosphino) 50 1G 通用试剂 |
| Hce-8693(人盲肠腺癌细胞(未分化)) 5×106cells/瓶×2 | 无水录化钴shēng huà shì jì容量:100克 |
| 小鼠B细胞淋巴瘤因子2(Bcl-2)ELISA试剂盒 ,英文名: Bcl-2 ELISA Kit | 脑心浸液 Brain Heart Infusion (for microbiology) Null 100G 培养基 |
| 大鼠前列腺上皮细胞完全培养基 100mL | LittmanAgar |
| SK-LU-1细胞HLCL 21B8 人类淋巴母细胞瘤细胞 1ml/T75 | 鳞醋纤维速,纤维长500 μm CqLLULOSq PHOSPHcTq 90 |
| 人骨钙素/骨谷氨酸蛋白(OT/BGP)ELISA检测试剂盒HumanOsteocalcin/Boneglaprotein,OT/BGPELISAkit 96T/48T | 109丁;正丁1Butanethiol;nButyl thioalcohol;Thiobutyl alcohol;Mercaptan C4;NorMal butyl thioalcohol; |
| 2BS细胞,胚肺细胞 人前列腺癌细胞,VLcop细胞 人肾小管上皮细胞;HKC | 1082本酚(+4℃)pxenol |
注意事项;
1.收到细胞后,若发现干冰已挥发干净、冻存管瓶盖脱落、破损及细胞有污染,请立即与我们联系。
2.收到细胞先不开瓶盖,瓶身擦拭酒精后放在培养箱静置2-4小时(视细胞密度而定)稳定细胞状态。接着在倒置显微镜下观察细胞生长情况,并对细胞进行不同倍数拍照(建议收细胞时就整体外观拍一张照片,观察培养基的颜色和是否有漏液情况,随后在显微镜下拍下细胞状态,100*,200*各一张),观察记录细胞在运输过程中是否有污染情况。作为我方进行销售依据。
3.由于细胞状态受环境、操作和运输等多方面因素影响,故本公司只保证客户收到细胞后一周内的细胞状态,故客户需要售后时需出示收到细胞的时间证明及客户提供收货时间和发现问题后客服人员沟通的时间证明,期间间隔时间不能大于7天。
4.所有动物细胞均视为有潜在的生物危害性,必须在二级生物安全台内操作,并请注意防护,所有废液及接触过此细胞的器皿需要灭菌后方能丢弃。
5.客户在细胞培养过程中任何问题可联系我们在线客服,我们随时给予解答。
风险提示:丁香通仅作为第三方平台,为商家信息发布提供平台空间。用户咨询产品时请注意保护个人信息及财产安全,合理判断,谨慎选购商品,商家和用户对交易行为负责。对于医疗器械类产品,请先查证核实企业经营资质和医疗器械产品注册证情况。
文献和实验刚开始养SK-BR-3时,细胞状态不是很好,贴壁也不均匀,于是开始想办法,考虑是不是吹打的不够,或是传得过多,或是其它的什么,后来发现的确如此,细胞的生长状态与传代的方法有很密切的联系。我的传代方法是:以50平方厘米培养瓶为例,待细胞长满瓶底70%-80%1 、吸除或倒掉瓶内旧培养基。2 、PBS 5ml加入培养瓶,轻轻晃动培养瓶,让PBS流遍细胞表面,倒掉。3 、PBS 5ml加入培养瓶重复洗一次,倒掉。4 、加入1ml胰蛋白酶消化液,轻轻摇动培养瓶,使消化液流遍所有细胞表面,然后置37度
-By-Cell 软件完成。 02 直接测量肿瘤细胞死亡和活性 1. 使用直观的Incucyte®图像分析工具有选择地量化肿瘤细胞增殖和凋亡。 2. 使用Incucyte® Caspase 3/7凋亡试剂检测肿瘤细胞凋亡,使用Incucyte® NucLight慢病毒试剂检测肿瘤细胞增殖。 3. 在细胞培养箱中全程监控肿瘤细胞的杀伤过程。可用于长期研究(>5天)。 NucLight Red标记的SK-OV-3细胞与人PBMC共培养,并加入不同浓度的曲妥珠单抗(赫赛汀),用Incucyte®
从7SK snRNP复合体中释放出来,并激活了转录。这些新研究发现揭示了SR蛋白一个意外的功能,在基因激活过程中对启动子近端的新生RNA起作用,这与HIV Tat/TAR激活细胞基因的机制相类似。 标签: 基因 广州赛诚生物 哺乳动物转录调控 作者:Snail 点击: 次
技术资料暂无技术资料 索取技术资料









