万千商家帮你免费找货
0 人在求购买到急需产品
- 详细信息
- 询价记录
- 技术资料
- 服务名称:
油红O染色
- 提供商:
XSL
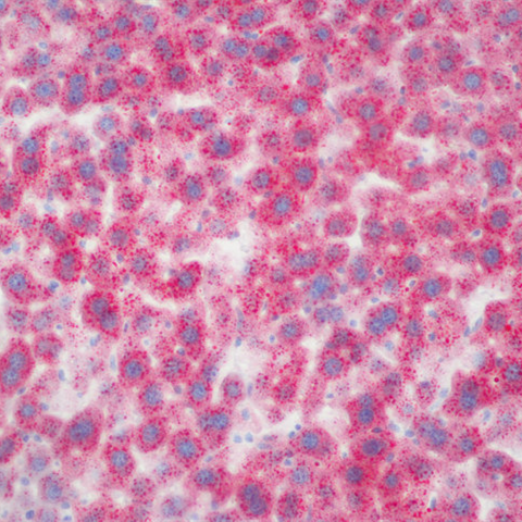
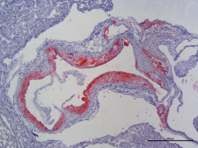
油红O染色简介: 油红O脂肪染色法是指在日常病理诊断和科研工作中为了显示组织内的脂肪常采用油红O进行染色的方法,油红O为脂溶性 染料,在脂肪内能高度溶解,可特异性的使组织内甘油三酯等中性脂肪着色。 油红O染色实验意义: 正常情况下,除脂肪细胞外其他细胞内一般不见或仅见少量脂滴。在病理状态下如这些细胞中出现脂滴或脂滴明显增多,特别是在心、肝、肾等实质器官发生脂肪变性时,胞浆内出现大小不一的空泡,这时常需鉴别空泡性质,用脂肪染色来区分是 脂肪变性还是水样变性或糖原贮留。在动脉粥样硬化时,内皮细胞下的脂质沉着,用脂肪染色能将脂质清晰地显示出来。由 脂肪组织病变所引起的脂肪栓塞可用脂肪染色显示栓子内的脂质,从而确诊脂肪栓塞。用于肿瘤组织的鉴别诊断,由脂肪组 织所发生的肿瘤在与其他组织来源的肿瘤相区分时,可以借助脂肪染色,脂肪组织所发生的肿瘤,脂肪染色为阳性。并可根 据所显示的细胞形态特点与类似肿瘤进行鉴别,肾透明细胞癌与肾上腺瘤,卵巢纤维瘤与卵泡膜细胞瘤,皮脂腺瘤与鳞状细 胞癌的鉴别诊断有意义。 实验步骤: 1、固定:将冰冻切片复温干燥10min;细胞爬片4%多聚甲.醛固定15min,PBS漂洗3次,5min/次。 2、染色:入油红O工作液孵育10-15min;细胞爬片破膜10-15min,PBS漂洗3次,5min/次,入油红工作液37℃染色1-2h。 3、分化:75%酒精分化2s,水洗1min。 4、复染细胞核:Harris苏木素复染1-2min左右,自来水洗,1%的盐酸酒精分化数秒,自来水冲洗,氨.水返蓝,流水冲洗。 5、封片:用纸巾吸去周边水分,甘油明胶封片。 实验结果: 脂滴呈橘红色至鲜红色;细胞核呈深蓝色。
实验技巧: 1、油红O是对脂类物质进行染色,石蜡切片在处理过程中脂类物质无法保存,所以石蜡切片不能进行油红O染色。 2、油红O染液使用一段时间后,染出的脂滴颜色会偏黄,此时就需要更换染液。 3、油红染色时,动作要轻,因为脂滴易移位,并且在封片时应避免盖玻片滑动。
样片参考:
收费标准/服务周期/提供结果:
欢迎咨询详谈,我们会根据您的方案及需求制定详细的服务协议。
更多实验技术服务请浏览网站其他内容,或来电咨询!
实验技巧: 1、油红O是对脂类物质进行染色,石蜡切片在处理过程中脂类物质无法保存,所以石蜡切片不能进行油红O染色。 2、油红O染液使用一段时间后,染出的脂滴颜色会偏黄,此时就需要更换染液。 3、油红染色时,动作要轻,因为脂滴易移位,并且在封片时应避免盖玻片滑动。
样片参考:
收费标准/服务周期/提供结果:
欢迎咨询详谈,我们会根据您的方案及需求制定详细的服务协议。
更多实验技术服务请浏览网站其他内容,或来电咨询!
风险提示:丁香通仅作为第三方平台,为商家信息发布提供平台空间。用户咨询产品时请注意保护个人信息及财产安全,合理判断,谨慎选购商品,商家和用户对交易行为负责。对于医疗器械类产品,请先查证核实企业经营资质和医疗器械产品注册证情况。
- 作者
- 内容
- 询问日期
技术资料暂无技术资料 索取技术资料
油红O染色
询价









