- 详细信息
- 技术资料
- 服务名称:
肾小管间质纤维化动物模型 泌尿系统模型
- 提供商:
XSL
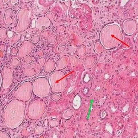
造模机制 结扎肾静脉导致肾缺血、肾小管损伤,出现缺血性萎缩和肾小管消亡,肾间质增生,出现肾小管间质纤维化 ((tubulointerstitial fibrosis,TIF)。 实验方法 选用Wistar大鼠,体重200~250g。8.5%水合氯.醛(0.1ml/kg)腹腔注射麻醉。局部剃毛后常规消毒铺孔巾,沿腹正中线切开 皮肤至腹腔,分离左肾静脉,用4-0号手术缝线结扎。分别于手术后第5、10、15、20和25天处死大鼠,重点观察结扎侧肾 脏。处死前,将大鼠置于代谢笼中,留24小时尿液,检测尿常规。取股动脉血检测Cr含量。双侧肾脏经10%中性甲.醛液固 定,常规脱水,石蜡包埋,4μm厚切片,分别进行H&E、PAS、PASM和Masson染色。
模型特点
1.病变典型稳定,手术侧肾脏的病变与人TIF的病变相似度极高。通过动态观察,病变早期组织学改变以肾小管上皮变性萎 缩、间质淤血、水肿为主,间质可见单核细胞浸润、Ⅲ型胶原增生。中晚期肾小管萎缩和消亡,小动脉管壁增厚,肾间质成 纤维细胞增多,胶原沉积,Ⅰ型胶原增生。整个病程中,肾小球可见缺血性改变。
2.周期短,操作方法简单,只需分离肾静脉并结扎即可,手术过程只需20分钟。单侧肾脏手术,对侧肾脏不受损伤,所以 对动物的生活影响轻微。实验周期短,术后第10天即可形成较理想的肾小管间质纤维化病变。
需确认的信息
1. 模型种属(大鼠还是小鼠或是其他种属)
2. 动物体重有无要求,年龄有无要求
3. 雌雄有无要求
4. 模型构建具体方案
5. 取材要求(采血、取组织样本)
模型特点
1.病变典型稳定,手术侧肾脏的病变与人TIF的病变相似度极高。通过动态观察,病变早期组织学改变以肾小管上皮变性萎 缩、间质淤血、水肿为主,间质可见单核细胞浸润、Ⅲ型胶原增生。中晚期肾小管萎缩和消亡,小动脉管壁增厚,肾间质成 纤维细胞增多,胶原沉积,Ⅰ型胶原增生。整个病程中,肾小球可见缺血性改变。
2.周期短,操作方法简单,只需分离肾静脉并结扎即可,手术过程只需20分钟。单侧肾脏手术,对侧肾脏不受损伤,所以 对动物的生活影响轻微。实验周期短,术后第10天即可形成较理想的肾小管间质纤维化病变。
需确认的信息
1. 模型种属(大鼠还是小鼠或是其他种属)
2. 动物体重有无要求,年龄有无要求
3. 雌雄有无要求
4. 模型构建具体方案
5. 取材要求(采血、取组织样本)
风险提示:丁香通仅作为第三方平台,为商家信息发布提供平台空间。用户咨询产品时请注意保护个人信息及财产安全,合理判断,谨慎选购商品,商家和用户对交易行为负责。对于医疗器械类产品,请先查证核实企业经营资质和医疗器械产品注册证情况。
技术资料暂无技术资料 索取技术资料
肾小管间质纤维化动物模型 泌尿系统模型
询价








