万千商家帮你免费找货
0 人在求购买到急需产品
- 详细信息
- 技术资料
- 服务名称:
骨关节炎动物模型 骨科模型
- 提供商:
XSL
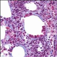
骨关节炎(osteoarthritis, OA)是中老年人常见的一种慢性进行性疾病。是由于关节软骨退行性改变(退变)和 关节表面边缘形成新骨的退行性病变,其病因、分子生物学、早期诊断和治疗均存在问题,需要进一步研究。
骨关节炎动物模型无疑是研究人类骨关节炎病理机制和防治方法的良好工具。骨关节炎动物模型有的是自发的,也可通过关节制动、手术改变关节应力、破坏关节血液循环、关节内药物注射、关节内植入软骨碎片等方法建立。
实验方法
豚鼠自发 已往研究报道证实,12月龄后的豚鼠在股骨内侧髁中央可出现与人类骨关节炎相似的病理变 化,且病理变化随年龄增长而逐渐加重;而外侧髁无明显变化。豚鼠骨关节炎病程发展过程缓慢,与临床上人类骨关节炎极为相似,且其软骨基质病变程度与负荷呈正相关。
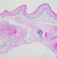
破坏关节稳定性 破坏关节稳定性是目前国外常采用的一种OA造模方法。关节稳定性是保持关节正常结构 和功能的一个重要因素。若关节不稳,必使关节各结构的动态平衡失调,从而使关节发生退行性改变。
常用的造成关节不稳的手术方法主要包括:
需确认的信息
骨关节炎动物模型无疑是研究人类骨关节炎病理机制和防治方法的良好工具。骨关节炎动物模型有的是自发的,也可通过关节制动、手术改变关节应力、破坏关节血液循环、关节内药物注射、关节内植入软骨碎片等方法建立。
实验方法
豚鼠自发 已往研究报道证实,12月龄后的豚鼠在股骨内侧髁中央可出现与人类骨关节炎相似的病理变 化,且病理变化随年龄增长而逐渐加重;而外侧髁无明显变化。豚鼠骨关节炎病程发展过程缓慢,与临床上人类骨关节炎极为相似,且其软骨基质病变程度与负荷呈正相关。
破坏关节稳定性 破坏关节稳定性是目前国外常采用的一种OA造模方法。关节稳定性是保持关节正常结构 和功能的一个重要因素。若关节不稳,必使关节各结构的动态平衡失调,从而使关节发生退行性改变。
常用的造成关节不稳的手术方法主要包括:
- 切断内侧副韧带、切断前、后交叉韧带,切除内侧半月板及切除髁、膑骨等。McDevitt等切除犬、兔 前交叉或前后交叉韧带、切断家兔前交叉韧带和内侧半月板造成关节失稳,手术后见关节滑膜增厚,软骨 表面糜烂,细胞成簇排列,骨赘形成,关节软骨中黏蛋白减少,酸性磷酸酶增加,蛋白、糖胺聚糖(GAG) 合成率增加,胶原纤维成分无变化,软骨细胞合成的黏蛋白中含有更多的硫酸软骨素。
- 切断双后肢内侧副韧带及膝前内侧筋膜扩张部,并在断端处修剪去除约2mm,造成小鼠双后肢外翻畸 形,术后2d放于拖箱内,每天赶其行走30m,2周后,光镜见软骨厚度变薄,电镜软骨细胞有明显的外形 改变,表明软骨细胞处失代偿期;
- 造模4周,软骨厚度显著变薄,电镜见软骨细胞变形严重呈不规则状,胞质内充满脂滴、糖原颗粒及微 丝,细胞器外形模糊,细胞核深度凹陷变形,细胞旁出现嗜锇性脂肪碎屑,基质内胶原纤维显露明显且较 正常为粗,结构松散紊乱;手术8周,病变与人4周相似,但程度加重。路氏等将切除韧带与半月板结合, 成功地诱发膝关节骨关节炎,且认为该模型制作期限合理,病灶典型。术后3周就出现了骨关节炎的早期 改变,包括软骨细胞排列紊乱,表层轻度糜烂,可见散在的软骨细胞簇及局部溃疡。
需确认的信息
- 模型种属(大鼠还是小鼠或是其他种属)
- 动物体重有无要求,年龄有无要求
- 雌雄有无要求
- 模型构建具体方案
- 取材要求(采血、取组织样本)
风险提示:丁香通仅作为第三方平台,为商家信息发布提供平台空间。用户咨询产品时请注意保护个人信息及财产安全,合理判断,谨慎选购商品,商家和用户对交易行为负责。对于医疗器械类产品,请先查证核实企业经营资质和医疗器械产品注册证情况。
技术资料暂无技术资料 索取技术资料
骨关节炎动物模型 骨科模型
询价









