万千商家帮你免费找货
0 人在求购买到急需产品
- 详细信息
- 文献和实验
- 技术资料
- 提供商:
XSL
- 服务名称:
慢性支气管炎动物模型 呼吸系统模型
目前,慢性支气管炎已成为影响人类健康和生活质量的主要疾病之一,研究其治疗及预后具有重要的意 义。慢性支气管炎的发病与吸烟、感染、气候因素(如寒冷)、理化因素(如,刺激性烟雾、粉尘、SO2等)、 过敏、呼吸道局部防御及免疫功能降低、自主神经功能失调等内外界因素密切相关。
造模机制
对动物施加各种能诱发慢性支气管炎的损伤性因素,进行长期的刺激,引起气管、支气管黏膜及其周围组 织的慢性炎症。诱发慢性支气管炎的方法主要有:化学药物法(二氧化.硫、氯、氨.水、脂多糖、酶、肾上. 腺素能药物、胆碱能药物、促分泌素等)、细菌感染法(肺炎克雷伯杆菌、肺炎链球菌等)、被动吸烟法(生烟 叶、稻草烟、混合烟等)和复合方法(如细菌加烟雾、细菌加寒冷等)。这些方法可以单独或复合
使用。
造模方法
1.化学药物法
(1)使小鼠吸入含SO2(浓度为2%)的空气,每日10秒,14~18天后小鼠即出现支气管炎病变,27天后出现 重度支气管炎病变,总观察时间为97天。
(2)使小鼠吸入含Cl2(浓度为0.001~0.O04mg/L)的空气,每日25~30分钟,35天后小鼠可出现慢性支气管 炎病变,总观察时间为50天。
(3)用含氨.气的空气以每15~20分钟重复刺激1次,每次2~3分钟,刺激一天共8次,32天后可出现慢性支 气管炎症状,总观察时间为100天。
(4)气管内注射脂多糖法:大鼠用1%戊巴bi妥钠腹腔注射麻醉,仰卧位固定于操作台,拉出舌体,暴露声 门,快速将套管插入气管,将脂多糖200μg/200μl注入气管。饲养4周,制备大鼠慢性支气管炎模型。
2.细菌感染法
(1)使用鸡胚液培育流感病毒,选取培育48小时的鸡胚液,单位为1:320;流感杆菌为18~24小时的培养物,菌液浓度为7x100000000ml,小鼠在乙mi麻醉状态下,将感染材料滴鼻(0.03ml/只),于3~6天出现气管上皮轻度坏死,35天后表现为典型的慢性支气管炎症状。
(2)用流感杆菌917/ml,甲型链球菌6亿/ml,卡他性资性菌9亿/ml,肺炎双球菌67/ml,以4:3:2:1混台菌液在麻醉下对大鼠进行滴鼻0.1ml,每周1次,6周有形成慢性支气管炎的趋势,但程度很轻。
(3)将豚鼠置干7~8℃环境中1小时,隔天1次,45天后改为每周2次,同时加细菌(8种)混合菌液滴品
0.2ml,150天可形成可急性乃至得性支气管炎病变
3.被动吸烟法
(1)烟雾致大鼠慢性支气管炎法:将大鼠置于27立方米烟室内,用混合烟150~200mg/立方米(200g锯末、 15~20g烟叶、6~7g辣椒及1g硫黄混合,20~30分钟内烧化,颗粒在0.5~1μm以上)吸入,每周6次,44 天即可形成慢性支气管炎病变。
(2)用香烟1支半,在21L容器内燃化共10分钟,换气5分钟后,再用1支香烟烧化,重熏10分钟。将豚鼠置 于这种烟雾环境中,每天1次,每周6次,同时置于7~8℃环境中1小时,隔天1次,45天后改为每周2次, 28~35天可出现慢性支气管炎病变,6周后病变保持并逐渐加重。
模型特点
吸入SO2所致的慢性支气管炎动物模型具有如下特点:
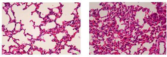
①小鼠出现刺激性咳嗽,体重不增,少数死亡。支气管病理学改变:早期为急性炎症改变,12天后出现淋 巴细胞、浆细胞浸润,继而支气管周围结缔组织增生,27天后显示重度慢性气管炎病变。
②大鼠气管腔内黏液阻塞,气管上皮坏死糜烂,杯状细胞增生,气管壁平滑肌增生,肺泡腔扩大,部分融 合形成肺大疱。运用这种方法也复制出稳定可靠的动物模型。也可观察到气道和肺组织毒蕈碱型受体(M受 体)的数量及功能无改变。
对于细菌感染所致的支气管炎,感染后2天小鼠出现毛松、咳嗽、神萎、食欲缺乏等;3~6天出现气管上 皮轻度坏死,杯状细胞数目初期下降,10天后逐渐增加,35天后表现为典型的慢性支气管炎症状,50天后 即恢复正常。
气管滴注脂多糖后21天,大鼠出现倦怠、毛发失去光泽,进食、饮水减少等表现,气管与支气管上皮脱 落,杯状细胞增生,黏液腺增生肥大,气管、支气管壁见慢性炎症细胞浸润,管壁增厚,管腔充满黏液及 大量以中性粒细胞为主的炎症细胞,气管平滑肌增生肥厚。
对于烟雾致大鼠慢性支气管炎而言,随烟雾刺激时间的增加,大鼠气管炎症病损逐渐加重,至第7周形成 慢性支气管炎典型变化。其气管炎症细胞的特点是:初期以巨噬细胞为主,随后以淋巴细胞为主,中性粒 细胞仅在接触烟雾的早期短时间内出现较高水平。
需确认的信息
1. 模型种属(大鼠还是小鼠或是其他种属)
2. 动物体重有无要求,年龄有无要求
3. 雌雄有无要求
4. 模型构建具体方案
5. 取材要求(采血、取组织样本)
风险提示:丁香通仅作为第三方平台,为商家信息发布提供平台空间。用户咨询产品时请注意保护个人信息及财产安全,合理判断,谨慎选购商品,商家和用户对交易行为负责。对于医疗器械类产品,请先查证核实企业经营资质和医疗器械产品注册证情况。
文献和实验知识,提高公众对乳腺癌的关注。 图 1. 2020 年全球范围乳腺癌年龄标准化发病率预估 动物模型是疾病研究及治疗方法探索中必不可少的工具,一个理想的乳腺癌动物模型应与人乳腺癌的肿瘤分子特性及生物行为学等方面存在共性,以便于发病机制的研究及治疗新药的开发。但从癌症的分型来看,单一的动物模型对乳腺癌表型模拟程度有限,因此在实际研究中还需结合具体需求选择合适的动物模型,才能更好地达到研究目的。接下来小编将带大家一起了解一下不同的乳腺癌模型特点及如何选择合适的模型。 乳腺癌动物模型主流的乳腺癌小鼠模型
(一)慢性支气管肺炎模型常选用大鼠、豚鼠或猴吸入刺激性气体(如二氧化硫、氯、氨水、烟雾等)复制人类慢性气管炎。现发现猪粘膜下腺体与人类相似,且经常发生气管炎及肺炎,故认为是复制人类慢性气管炎较合适的动物。用去甲肾上腺素可以引起与人类相似的气管腺体肥大。(二)肺气肿模型给兔等动物气管内或静脉内注射一定量木瓜蛋白酶、菠萝蛋白酶(Bromelin)、败血酶(Alcalas)、胰蛋白酶(Trypsin)、致热溶解酶(Thermolysin),以及由脓性痰和白细胞分离出来的蛋白溶解酶等,可复制成实验
一、慢性支气管肺炎模型 常选用大鼠、豚鼠或猴吸入刺激性气体(如二氧化硫、氯、氨水、烟雾等)复制人类慢性气管炎。现发现猪粘膜下腺体与人类相似,且经常发生气管炎及肺炎,故认为是复制人类慢性气管炎较合适的动物。用去甲肾上腺素可以引起与人类相似的气管腺体肥大。 二、肺气肿模型 给兔等动物气管内或静脉内注射一定量木瓜蛋白酶、菠罗蛋白酶(Bromelin)、败血酶(Alcalas)、胰蛋白酶(Trypsin)、致热溶解酶(Thermolysin),以及由脓性痰和白细胞分离出来的蛋白
技术资料暂无技术资料 索取技术资料










