万千商家帮你免费找货
0 人在求购买到急需产品
- 详细信息
- 文献和实验
- 技术资料
- 提供商:
XSL
- 服务名称:
Trap染色
抗酒石酸酸性磷酸酶染色,又称Trap染色,是用于检测骨、骨细胞中破骨细胞的染色,使破骨细胞呈红色,细胞核浅蓝色, 用以显示破骨细胞的分布及数量变化。
Trap染色是用于检测骨组织、骨细胞中特征物质的染色,使破骨细胞呈红色,背景呈绿色或蓝色。抗酒石酸酸性磷酸酶 (Trap)为破骨细胞的标志酶,特异地分布于破骨细胞中,为破骨细胞所特有,通常作为鉴别破骨细胞的重要标志物。在含 酒石酸的酸性条件下,trap能将萘酚AS-BI磷酸盐水解,产生的萘酚AS-BI立即与fast red或六偶氮副品红结合,在酶活性部 位形成不溶性的红色染料,通过观察红色染料的形成可间接了解酸性磷酸酶的活性,进一步鉴别及分析破骨细胞的状态。
骨组织切片及trap染色实验步骤
6、 染液配制:A液:0.1mol/L醋酸缓冲液PH5.0:醋酸Na1.3608g+蒸馏水100ml溶解,用Bing醋酸调PH值到5.0。B液:六 偶氮副品红 4%亚肖酸Na:2g亚肖酸Na+去离子水50ml 副品红溶液:副品红2.5g+去离子水50ml+浓盐酸7.5ml,加热至90°溶解后过滤,4°棕色瓶保存。临用前4%亚肖酸Na与副品 红溶液等比例混合。 C液:萘酚AS-BI磷酸酯20mg+N,N-2甲基甲酰胺1ml溶解。 孵育液配制:A液18ml+B液1ml+C液1ml混匀,用1M NaOH或1M盐酸调pH至5.0,再加酒石酸钾Na0.282g,充分溶解过滤 后备用即为TRAP孵育液。
7、 染色:切片置于TRAP孵育液内37°孵育50min,镜下观察破骨细胞呈酒红色为止。蒸馏水漂洗。
8.苏木素染细胞:切片入Harris苏木染3-8min,自然水洗,1%的盐酸酒精分化数秒,自然水冲洗,0.6%氨.水返蓝,流水冲洗。
9.脱水封片:将切片依次放入95%酒精l 5min-95%无水乙醇II5min-二甲苯I5min-二甲苯II5min中脱水透明,将切片从二甲苯拿出来稍晾干,中性树胶封片。
10.显微镜镜检,图像采集分析。染色结果:破骨细胞胞浆呈酒红色,核蓝色。
注意事项
Trap染色是用于检测骨组织、骨细胞中特征物质的染色,使破骨细胞呈红色,背景呈绿色或蓝色。抗酒石酸酸性磷酸酶 (Trap)为破骨细胞的标志酶,特异地分布于破骨细胞中,为破骨细胞所特有,通常作为鉴别破骨细胞的重要标志物。在含 酒石酸的酸性条件下,trap能将萘酚AS-BI磷酸盐水解,产生的萘酚AS-BI立即与fast red或六偶氮副品红结合,在酶活性部 位形成不溶性的红色染料,通过观察红色染料的形成可间接了解酸性磷酸酶的活性,进一步鉴别及分析破骨细胞的状态。
骨组织切片及trap染色实验步骤
- 骨组织脱钙:新鲜骨组织固定于4%多聚jia醛24h以上。将组织从固定液取出置于EDTA脱钙液内脱钙(不能用含酸的脱 钙液脱钙),每3天换一次脱钙液,至骨组织针扎可以顺利通过为止。
- 取材:在通风橱内用手术刀将目的部位组织修平整,将修切好的组织和对应的标签放于脱水盒内。
- 脱水:将脱水盒放进吊篮里于脱水机内依次梯度酒精进行脱水。75%酒精4h-85%酒精2h-90%酒精2h-95%酒精1h-无水 乙醇I 30min-无水乙醇II 30min-醇苯5-10min-二甲苯I 5-10min-二甲苯II 5-10min-蜡I 1h-蜡II 1h-蜡III 1h。 4、 包埋:将浸好蜡的组织于包埋机内进行包埋。先将融化的蜡放入包埋框,待蜡凝固之前将组织从脱水盒内取出按照包埋 面的要求放入包埋框并贴上对应的标签。于-20°冻台冷却,蜡凝固后将蜡块从包埋框中取出并修整蜡块。
- 切片:将修整好的蜡块置于石蜡切片机上切片,片厚4μm。 切片漂浮于摊片机40℃ 温水上将组织展平,用载玻片将组 织捞起,并放进60℃ 烘箱内烤片。待水烤干蜡烤化后取出常温保存备用。
6、 染液配制:A液:0.1mol/L醋酸缓冲液PH5.0:醋酸Na1.3608g+蒸馏水100ml溶解,用Bing醋酸调PH值到5.0。B液:六 偶氮副品红 4%亚肖酸Na:2g亚肖酸Na+去离子水50ml 副品红溶液:副品红2.5g+去离子水50ml+浓盐酸7.5ml,加热至90°溶解后过滤,4°棕色瓶保存。临用前4%亚肖酸Na与副品 红溶液等比例混合。 C液:萘酚AS-BI磷酸酯20mg+N,N-2甲基甲酰胺1ml溶解。 孵育液配制:A液18ml+B液1ml+C液1ml混匀,用1M NaOH或1M盐酸调pH至5.0,再加酒石酸钾Na0.282g,充分溶解过滤 后备用即为TRAP孵育液。
7、 染色:切片置于TRAP孵育液内37°孵育50min,镜下观察破骨细胞呈酒红色为止。蒸馏水漂洗。
8.苏木素染细胞:切片入Harris苏木染3-8min,自然水洗,1%的盐酸酒精分化数秒,自然水冲洗,0.6%氨.水返蓝,流水冲洗。
9.脱水封片:将切片依次放入95%酒精l 5min-95%无水乙醇II5min-二甲苯I5min-二甲苯II5min中脱水透明,将切片从二甲苯拿出来稍晾干,中性树胶封片。
10.显微镜镜检,图像采集分析。染色结果:破骨细胞胞浆呈酒红色,核蓝色。
注意事项
- 试剂配制的过程中,各个试剂的PH值一定要准确,PH不准会导致酶不能被有效激活,导致染色结果不佳。
- 亚硝酸Na溶液不稳定,容易被氧化,在使用时避免带入杂质,并且为了确保染色结果,最好一到两个星期更换一次。
- 染trap的骨组织最好用EDTA脱钙,用酸脱钙的组织切片trap为阴性。
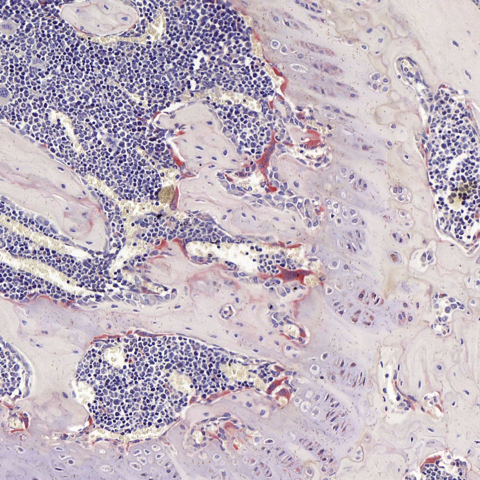
结果展示
结果判读:
破骨细胞呈酒红色或浅红色,细胞核呈浅蓝色
送样运输要求:
结果判读:
破骨细胞呈酒红色或浅红色,细胞核呈浅蓝色
送样运输要求:
- 样本放置于20倍样本体积的固定液中固定24h以上,常温运输送样。切勿固定时间过长,切勿冷冻结冰。
- 石蜡切片常温运输。
风险提示:丁香通仅作为第三方平台,为商家信息发布提供平台空间。用户咨询产品时请注意保护个人信息及财产安全,合理判断,谨慎选购商品,商家和用户对交易行为负责。对于医疗器械类产品,请先查证核实企业经营资质和医疗器械产品注册证情况。
文献和实验相关实验
The polymerase chain reaction (PCR) based telomeric repeat amplification protocol (TRAP) assay, to detect telomerase activity was originated by Kim et al. in late 1994 (1 ) and revolutionized the field of telomere/telomerase research
Gene-Trap Vectors and Mutagenesis
is performed with vectors that simultaneously inactivate and report the expression of the trapped gene and provide a molecular tag for its rapid identification. Gene-trap approaches have been used successfully in the past by both academic and commercial
HE&尼式染色.pdf
技术资料暂无技术资料 索取技术资料
Trap染色
询价










