相关产品推荐更多 >
万千商家帮你免费找货
0 人在求购买到急需产品
- 详细信息
- 文献和实验
- 技术资料
- 免疫原:
Recombinant protein encompassing a sequence within the center region of human Transgelin. The exact sequence is proprietary.
- 亚型:
IgG
- 形态:
Liquid
- 保存条件:
Store as concentrated solution. Centrifuge briefly prior to opening vial. For short-term storage (1-2 weeks), store at 4ºC. For long-term storage, aliquot and store at -20ºC or below. Avoid multiple freeze-thaw cycles.
- 克隆性:
Monoclonal
- 标记物:
Unconjugated
- 适应物种:
Human, Mouse, Rat
- 保质期:
12 months from the shipping date of the product.
- 抗原来源:
Human
- 目录编号:
GTX636672
- 级别:
Primary Antibodies
- 库存:
Available
- 供应商:
GeneTex
- 宿主:
Rabbit
- 应用范围:
WB, IHC-P
- 浓度:
1 mg/ml (Please refer to the vial label for the specific concentration.)
- 靶点:
Transgelin
- 抗体英文名:
Transgelin antibody [HL1270]
- 抗体名:
Transgelin 抗体 [HL1270]
- 规格:
100 μl/25 μl
| 规格: | 100 μl | 产品价格: | ¥4000.0 |
|---|---|---|---|
| 规格: | 25 μl | 产品价格: | ¥1700.0 |
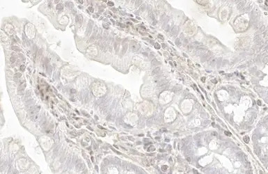
Transgelin antibody [HL1270] detects Transgelin protein by immunohistochemical analysis.
Sample: Paraffin-embedded rat intestine.
Transgelin stained by Transgelin antibody [HL1270] (GTX636672) diluted at 1:100.
Antigen Retrieval: Citrate buffer, pH 6.0, 15 min
Transgelin antibody [HL1270] detects Transgelin protein at cytoplasm by immunohistochemical analysis.
Sample: Paraffin-embedded mouse esophagus.
Transgelin stained by Transgelin antibody [HL1270] (GTX636672) diluted at 1:100.
Antigen Retrieval: Citrate buffer, pH 6.0, 15 min
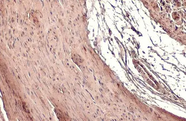
Transgelin antibody [HL1270] detects Transgelin protein at cytoplasm by immunohistochemical analysis.
Sample: Paraffin-embedded mouse smooth muscle.
Transgelin stained by Transgelin antibody [HL1270] (GTX636672) diluted at 1:100.
Antigen Retrieval: Citrate buffer, pH 6.0, 15 min
Various whole cell extracts (30 μg) were separated by 12% SDS-PAGE, and the membrane was blotted with Transgelin antibody [HL1270] (GTX636672) diluted at 1:5000. The HRP-conjugated anti-rabbit IgG antibody (GTX213110-01) was used to detect the primary antibody.
Transgelin antibody [HL1270] detects Transgelin protein at cytoplasm by immunohistochemical analysis.
Sample: Paraffin-embedded mouse smooth muscle.
Transgelin stained by Transgelin antibody [HL1270] (GTX636672) diluted at 1:100.
Antigen Retrieval: Citrate buffer, pH 6.0, 15 min
风险提示:丁香通仅作为第三方平台,为商家信息发布提供平台空间。用户咨询产品时请注意保护个人信息及财产安全,合理判断,谨慎选购商品,商家和用户对交易行为负责。对于医疗器械类产品,请先查证核实企业经营资质和医疗器械产品注册证情况。
文献和实验Lightning-Link 30 seconds hands on Very Easy to use 100% Antibody Recovery No separation steps Little antibody needed Easy to Scale Up Over 40 available labels http://www.youtube.com/v/w0XmU
Detection Of Cell Viability And/Or Apoptosis By Flow Cytometry (FACS)
-specifically bind a fluorescent secondary antibody, the antigen being detected may have been degraded, etc. Non-viable cells tend to have reduced FSC (can be high in case of swollen necrotic cells) but higher SSC values. Because of membrane permeability
charge (GEC) for three human acute myelogenous leukemia (AML) cell lines: HL60 (M3 subtype of AML), THP1 (M5 subtype of AML), and HEL (M6 subtype of AML) in French-American-British classification (FAB) and for one chronic myelogenous leukemia (CML) cell
技术资料暂无技术资料 索取技术资料








