相关产品推荐更多 >
万千商家帮你免费找货
0 人在求购买到急需产品
- 详细信息
- 文献和实验
- 技术资料
- 免疫原:
Recombinant dog NGAL
- 亚型:
IgG2b
- 形态:
Liquid
- 保存条件:
Store as concentrated solution. Centrifuge briefly prior to opening vial. Store at 4ºC.
- 克隆性:
Monoclonal
- 标记物:
Unconjugated
- 适应物种:
Dog
- 保质期:
12 months from the shipping date of the product.
- 抗原来源:
Dog
- 目录编号:
GTX60966
- 级别:
Primary Antibodies
- 库存:
Available
- 供应商:
GeneTex
- 宿主:
Mouse
- 应用范围:
WB, ELISA, IHC
- 浓度:
Batch dependent (Please refer to the vial label for the specific concentration.)
- 靶点:
This antibody binds dog NGAL (neutrophil gelatinase-associated lipocalin)
- 抗体英文名:
Lipocalin-2 antibody [14]
- 抗体名:
Lipocalin-2 抗体 [14]
- 规格:
100 μl
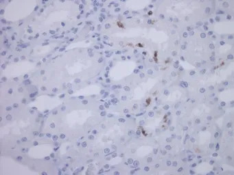
IHC staining in dog kidney tissue. Scattered tubules cells were stained strongly from kidney with acute nephritis. Dilution: 1:50.
风险提示:丁香通仅作为第三方平台,为商家信息发布提供平台空间。用户咨询产品时请注意保护个人信息及财产安全,合理判断,谨慎选购商品,商家和用户对交易行为负责。对于医疗器械类产品,请先查证核实企业经营资质和医疗器械产品注册证情况。
文献和实验of the tryptic peptides derived from the purified enzyme revealed two amino acid sequences homologous to the 14-3-3 proteins. A polyclonal antibody was raised against purified ST-IV. A 33 kDa protein was co-immunoprecipitated from rat brain extracts with the anti
人Lipocalin-2 (NGAL)ELISA试剂盒 说明书
上海西唐生物科技有限公司 021-55229872, 65333639 www.westang.com 人 Lipocalin-2 ( NGAL )ELISA 试剂盒 ( 用于血清、血浆、细胞培养上清液和尿液、唾液生物体液内 ) 原理 本实验采用双抗体夹心 ABC-ELISA 法。用抗人 NGAL 单抗包被于酶标板上,标准品和样品中的 NGAL与单抗结合,加入生物素化的抗人
大鼠Lipocalin-2 (NGAL)ELISA试剂盒 说明书
上海西唐生物科技有限公司 021-55229872, 65333639 www.westang.com 大鼠 Lipocalin-2 (NGAL)ELISA 试剂盒 ( 用于血清、血浆、细胞培养上清液和尿液生物体液内 ) 原理 本实验采用双抗体夹心 ABC-ELISA 法。用抗大鼠 NGAL 单抗包被于酶标板上,标准品和样品中的 NGAL 与单抗结合,加入生物素化的抗大鼠 NGAL ,形成免疫复合
技术资料暂无技术资料 索取技术资料







![alpha Sarcomeric Actin antibody [5C5]](https://img1.dxycdn.com/2023/0711/451/6106825198874858761-14.jpg!wh200)
![NR5A2 antibody [N2C3]](https://img1.dxycdn.com/2023/0516/895/8887749495766728561-14.jpg!wh200)


