相关产品推荐更多 >
万千商家帮你免费找货
0 人在求购买到急需产品
- 详细信息
- 文献和实验
- 技术资料
- 免疫原:
Peptide sequence around phosphorylation site of tyrosine 315/316/312 (P-E-Y(p)-L-A) derived from Human AKT1/AKT2/AKT3.
- 亚型:
IgG
- 形态:
Liquid
- 保存条件:
Store as concentrated solution. Centrifuge briefly prior to opening vial. For short-term storage (1-2 weeks), store at 4ºC. For long-term storage, aliquot and store at -20ºC or below. Avoid multiple freeze-thaw cycles.
- 克隆性:
Polyclonal
- 标记物:
Unconjugated
- 适应物种:
Human, Mouse
- 保质期:
12 months from the shipping date of the product.
- 抗原来源:
Human
- 目录编号:
GTX50869
- 级别:
Primary Antibodies
- 库存:
Available
- 供应商:
GeneTex
- 宿主:
Rabbit
- 应用范围:
WB, ICC/IF, IHC-P
- 浓度:
1 mg/ml (Please refer to the vial label for the specific concentration.)
- 靶点:
The antibody detects endogenous level of AKT1/AKT2/AKT3 only when phosphorylated at tyrosine 315/316/312.
- 抗体英文名:
AKT (phospho Tyr315) antibody
- 抗体名:
AKT (phospho Tyr315) 抗体
- 规格:
100 μl
WB analysis of extracts from 3T3 cells treated with EGF or calf intestinal phosphatase (CIP) using GTX50869 AKT (phospho Tyr315) antibody.
ICC/IF analysis of methanol-fixed HeLa cells using GTX50869 AKT (phospho Tyr315) antibody.
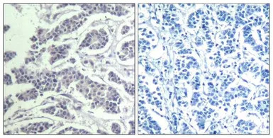
IHC-P analysis of human breast carcinoma tissue using GTX50869 AKT (phospho Tyr315) antibody.
Left : Primary antibody
Right : Primary antibody pre-incubated with the antigen specific peptide
WB analysis of extracts from HepG2 cells untreated or treated with EGF using GTX50869 AKT (phospho Tyr315) antibody.
风险提示:丁香通仅作为第三方平台,为商家信息发布提供平台空间。用户咨询产品时请注意保护个人信息及财产安全,合理判断,谨慎选购商品,商家和用户对交易行为负责。对于医疗器械类产品,请先查证核实企业经营资质和医疗器械产品注册证情况。
文献和实验米宝 这俩天做实验,极其郁闷。我做的总AKt和pAkt,大鼠脑组织,第一次跑总AKT的时候,我觉得可能是因为蛋白是提取的浓度比较好吧,出来了一条浓浓的条带,三组总AKt都出了,接下来做pAkt,就出了一个带,效果挺明显的。后来再做pAkt的时候,跑了4张膜,显影的时候,太干净了,上面什么都没有,甚至连个杂带,斑点 都没!实验是在实验员的领导下完成的,技术上基本没什么纰漏,查阅本版面有关这问题方面的介绍,有的解释说pakt降解了!一抗是用的Phospho-Akt
Using Phospho‐Motif Antibodies to Determine Kinase Substrates
comprising both the phosphorylated residue and the surrounding residues that determine kinase specificity, with degenerate residues taking up the remaining positions. Currently, several categories of phospho?motif antibody are commercially available
Optimized Protocol to Make Phospho-Specific Antibodies that Work
, not simply its level of expression. In this review, we will discuss both the design of the phosphopeptide immunogen and immunization. The affinity purification of the phospho-specific antibody as well as the methods most suitable for characterizing
技术资料暂无技术资料 索取技术资料






![CD18 antibody [2E6]](https://img1.dxycdn.com/2023/0711/451/6106825198874858761-14.jpg!wh200)

