相关产品推荐更多 >
万千商家帮你免费找货
0 人在求购买到急需产品
- 详细信息
- 文献和实验
- 技术资料
- 免疫原:
Prokaryotic recombinant protein corresponding to a region of the extracellular domain of the human CD56 molecule.
- 亚型:
IgG2b
- 形态:
Liquid
- 保存条件:
Store as concentrated solution. Centrifuge briefly prior to opening vial. Store at 4ºC. DO NOT FREEZE.
- 克隆性:
Monoclonal
- 标记物:
Unconjugated
- 适应物种:
Human
- 保质期:
12 months from the shipping date of the product.
- 抗原来源:
Human
- 目录编号:
GTX01917
- 级别:
Primary Antibodies
- 库存:
Available
- 供应商:
GeneTex
- 宿主:
Mouse
- 应用范围:
IHC-P
- 浓度:
>18 μg/ml (Please refer to the vial label for the specific concentration.)
- 靶点:
NCAM
- 抗体英文名:
NCAM antibody [CD564]
- 抗体名:
NCAM 抗体 [CD564]
- 规格:
500 μl
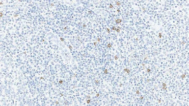
IHC-P analysis of human tonsil tissue using GTX01917 NCAM antibody [CD564]. Note the NK cells and CD4/CD8 double positive T cells show a weak to moderate and distinct membrane staining reaction while the majority of lymphocytes are unstained.
风险提示:丁香通仅作为第三方平台,为商家信息发布提供平台空间。用户咨询产品时请注意保护个人信息及财产安全,合理判断,谨慎选购商品,商家和用户对交易行为负责。对于医疗器械类产品,请先查证核实企业经营资质和医疗器械产品注册证情况。
文献和实验Purification of Immature CD4+CD8+ Thymocytes by Panning with Anti-CD8 Antibody
Most T lymphocytes of the immune system differentiate within the thymus along the CD4/CD8 developmental pathway by a highly ordered process termed thymic selection ( 1 , 2 ). The maturation status of thymocytes is commonly assessed
7211011 小鼠淋巴细胞分离液 达优 100339 Ultra-LEAF™ Purified anti-mouse CD3ε Antibody BioLegend 102115 Ultra-LEAF™ Purified anti-mouse CD28 Antibody BioLegend CD3/CD28 Streptamer® 多聚体法: 货号 名称
CD3/ CD4 /CD8 T cell subset counts
Description Procedure for CD3/ CD4 /CD8 T cell subset counts using CD3-FITC / CD4-PE / CD8-PECy5 antibody Procedure 1. One 5 ml round bottom tube (Falcon) is taken per blood sample to be analyzed. The tube is labeled, which includes
技术资料暂无技术资料 索取技术资料






![PGAM1 antibody [GT256]](https://img1.dxycdn.com/2023/0711/451/6106825198874858761-14.jpg!wh200)


