相关产品推荐更多 >
万千商家帮你免费找货
0 人在求购买到急需产品
- 详细信息
- 文献和实验
- 技术资料
- 免疫原:
ag0306
- 亚型:
IgG1
- 形态:
Liquid
- 保存条件:
Store as concentrated solution. Centrifuge briefly prior to opening vial. Store at 4ºC.
- 克隆性:
Monoclonal
- 标记物:
Unconjugated
- 适应物种:
Human
- 保质期:
12 months from the shipping date of the product.
- 抗原来源:
Human
- 目录编号:
GTX03299
- 级别:
Primary Antibodies
- 库存:
Available
- 供应商:
GeneTex
- 宿主:
Mouse
- 应用范围:
IHC-P
- 浓度:
Batch dependent (Please refer to the vial label for the specific concentration.)
- 靶点:
PAX8
- 抗体英文名:
PAX8 antibody [4H7B3]
- 抗体名:
PAX8 抗体 [4H7B3]
- 规格:
6 ml
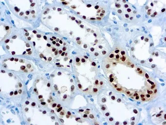
IHC-P analysis of human renal cell carcinoma tissue section using GTX03299 PAX8 antibody [4H7B3].
风险提示:丁香通仅作为第三方平台,为商家信息发布提供平台空间。用户咨询产品时请注意保护个人信息及财产安全,合理判断,谨慎选购商品,商家和用户对交易行为负责。对于医疗器械类产品,请先查证核实企业经营资质和医疗器械产品注册证情况。
文献和实验人整合素a5b3(Integrin a5b3)ELISA试剂盒 说明书
第一抗体工作液( Biotinylated Antibody ) 12ml 终止液 (Stop Solution ) 12ml 准备试剂与收集血样 1. 收集标本:血清、血浆(EDTA )、细胞培养上清液、组织匀浆等尽早检测, 2-8 ℃ 保存48 小时;更长时间须
第一作者之一的宋尔卫(Erwei Song)是我们熟知的,他是中山大学附二院的医生,现在哈佛大学医学院血液研究中心Judy Lieberman教授组进行博士后研究。他曾发表用尾静脉快速大剂量法向小鼠体内输注siRNA成功实现耐受抗Fas单抗诱导的暴发性肝坏死。 http://www.nature.com/nbt/journal/v23/n6/abs/nbt1101.html;jsessionid=EFF86FD58B3B57397768DE431AACF68D Nature
Section.03 小结 好啦,今天关于肿瘤标志物就先介绍到这里了~MCE 提供大量肿瘤标志物抗体,快来 MCE 官网挑选你心仪的抗体吧!点击直达官网。 小伙伴还需要注意:每一个肿瘤标志物,都不是孤立的“判决书”,一定要结合多种检测指标联合判断,才能更准确。 产品推荐 PD-L1 Antibody (YA4674) (HY-P84982) www.medchemexpress.cn/antibody/cd274-pd
技术资料暂无技术资料 索取技术资料





![WIF1 antibody [1G5]](https://img1.dxycdn.com/2023/0711/451/6106825198874858761-14.jpg!wh200)




